电话:
+86 (0512) 65829739
传真:
+86 (010) 6788 5057
电子邮件:
orders@antibodies-online.cn

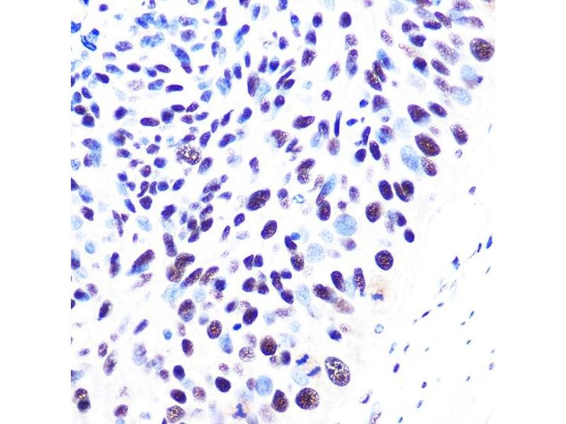
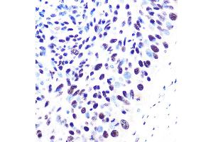
TP53BP1 抗体

The 兔 单克隆 anti-TP53BP1 antibody (ABIN1679832) specifically detects TP53BP1 in WB, IHC 和 IF. The antibody is reactive with 人 samples.
产品编号 ABIN1679832
发货至: 中国
Contact our Customer Service for availability and price in your country. Contact Info

Our Local Distributor

中国
北京 101111
No. 88 KeChuang 6th Street
Beijing Economic Technological Development Area
Room 801-803
4A Biotech Co.,Ltd.
Tel +86 (0512) 65829739 传真 +86 (010) 6788 5057

Quick Overview for TP53BP1 抗体 (ABIN1679832)

抗原

See all TP53BP1 抗体
TP53BP1 (Tumor Protein P53 Binding Protein 1 (TP53BP1))

适用

  • 99
  • 70
  • 66
  • 7
  • 5
  • 4
  • 4
  • 3
  • 2
  • 2
  • 1
  • 1
  • 1

宿主

  • 103
  • 9
  • 2
  • 1

克隆类型

  • 83
  • 32
单克隆

标记

  • 65
  • 4
  • 3
  • 3
  • 3
  • 3
  • 3
  • 3
  • 2
  • 2
  • 2
  • 2
  • 2
  • 2
  • 2
  • 2
  • 2
  • 2
  • 2
  • 2
  • 2
  • 1
  • 1
This TP53BP1 antibody is un-conjugated

应用范围

  • 57
  • 43
  • 32
  • 31
  • 28
  • 27
  • 24
  • 21
  • 17
  • 11
  • 7
  • 3
  • 3
  • 2
  • 2
  • 1
Western Blotting (WB), Immunohistochemistry (IHC), Immunofluorescence (IF)
  • 交叉反应

    人, 小鼠

    产品特性

    Monoclonal Antibodies

    纯化方法

    Affinity purification

    免疫原

    A synthesized peptide derived from human 53BP1

    亚型

    IgG
  • 应用备注

    WB,1:500 - 1:2000,IHC,1:50 - 1:200,IF,1:50 - 1:200

    限制

    仅限研究用
  • 缓冲液

    PBS with 0.02 % sodium azide,0.05 % BSA,50 % glycerol, pH 7.3.

    储存液

    Sodium azide

    注意事项

    This product contains Sodium azide: a POISONOUS AND HAZARDOUS SUBSTANCE which should be handled by trained staff only.

    储存条件

    -20 °C

    储存方法

    Store at -20°C. Avoid freeze / thaw cycles.
  • 抗原

    TP53BP1 (Tumor Protein P53 Binding Protein 1 (TP53BP1))

    别名

    TP53BP1

    背景

    Double-strand break (DSB repair protein involved in response to DNA damage, telomere dynamics and class-switch recombination (CSR during antibody genesis. Plays a key role in the repair of double-strand DNA breaks (DSBs in response to DNA damage by promoting non-homologous end joining (NHEJ-mediated repair of DSBs and specifically counteracting the function of the homologous recombination (HR repair protein BRCA1. In response to DSBs, phosphorylation by ATM promotes interaction with RIF1 and dissociation from NUDT16L1/TIRR, leading to recruitment to DSBs sites. Recruited to DSBs sites by recognizing and binding histone H2A monoubiquitinated at 'Lys-15' (H2AK15Ub and histone H4 dimethylated at 'Lys-20' (H4K20me2, two histone marks that are present at DSBs sites. Required for immunoglobulin class-switch recombination (CSR during antibody genesis, a process that involves the generation of DNA DSBs. Participates in the repair and the orientation of the broken DNA ends during CSR (By similarity. In contrast, it is not required for classic NHEJ and V(DJ recombination (By similarity. Promotes NHEJ of dysfunctional telomeres via interaction with PAXIP1.,53BP1, TDRD30, TP53, p202, p53BP1,Cancer,DNA Damage & Repair,Epigenetics & Nuclear Signaling,Protein phosphorylation,Tumor suppressors,Tumor suppressors_p53 pathway,TP53BP1

    分子量

    450 kDa

    基因ID

    7158

    UniProt

    Q12888

    途径

    DNA Damage Repair
You are here: