PEX1 抗体 (AA 1234-1283)
Our Local Distributor
北京 101111
Quick Overview for PEX1 抗体 (AA 1234-1283) (ABIN1535160)
抗原
See all PEX1 抗体适用
宿主
克隆类型
标记
应用范围
-
-
抗原表位
- AA 1234-1283
-
特异性
-
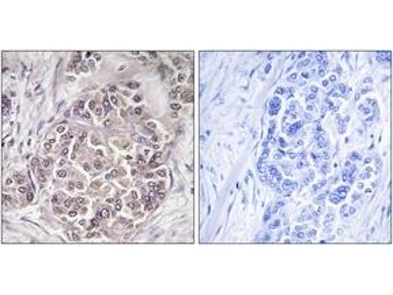
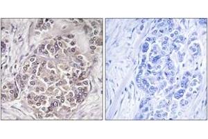
PEX1 Antibody detects endogenous levels of total PEX1 protein.
-
纯化方法
- The antibody was purified from rabbit antiserum by affinity-chromatography using immunogen.
-
纯度
- > 95 %
-
免疫原
- The antiserum was produced against synthesized peptide derived from human PEX1.
-
亚型
- IgG
-
-
-
-
应用备注
- IHC: 1:50~1:100 ELISA: 1:10000
-
说明
-
Unigene-Number: Hs.164682 (NCBI Gene Symbol: PEX1)
-
限制
- 仅限研究用
-
-
-
状态
- Liquid
-
浓度
- 1 mg/mL
-
缓冲液
- phosphate buffered saline (without Mg2+ and Ca2+), pH 7.4, 150 mM NaCl, 0.02 % sodium azide and 50 % glycerol.
-
储存液
- Sodium azide
-
注意事项
- This product contains sodium azide: a POISONOUS AND HAZARDOUS SUBSTANCE which should be handled by trained staff only.
-
储存条件
- -20 °C
-
储存方法
- Stable at -20°C for at least 1 year.
-
有效期
- 12 months
-
-
- PEX1 (Peroxisomal Biogenesis Factor 1 (PEX1))
-
别名
- PEX1
-
背景
-
Synonyms: Peroxisome biogenesis factor 1,Peroxin-1, Peroxisome biogenesis disorder protein 1
NCBI Gene Symbol: PEX1
-
分子量
- 142 kDa
-
基因ID
- 5189
-
OMIM
- 602136
-
UniProt
- O43933
抗原
-