电话:
+86 (0512) 65829739
传真:
+86 (010) 6788 5057
电子邮件:
orders@antibodies-online.cn

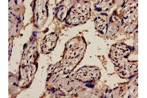
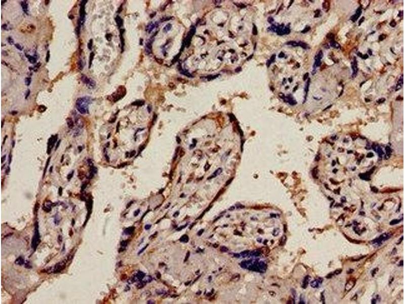
PEX1 抗体 (AA 927-1283)

The 兔 多克隆 anti-PEX1 antibody is suitable to detect PEX1 in samples from 人. It has been validated for ELISA, IHC 和 IF.
产品编号 ABIN7163001
发货至: 中国
Contact our Customer Service for availability and price in your country. Contact Info

Our Local Distributor

中国
北京 101111
No. 88 KeChuang 6th Street
Beijing Economic Technological Development Area
Room 801-803
4A Biotech Co.,Ltd.
Tel +86 (0512) 65829739 传真 +86 (010) 6788 5057

Quick Overview for PEX1 抗体 (AA 927-1283) (ABIN7163001)

抗原

See all PEX1 抗体
PEX1 (Peroxisomal Biogenesis Factor 1 (PEX1))

适用

  • 28
  • 10
  • 3

宿主

  • 29
  • 2
  • 1

克隆类型

  • 32
多克隆

标记

  • 22
  • 3
  • 2
  • 2
  • 2
  • 1
This PEX1 antibody is un-conjugated

应用范围

  • 23
  • 19
  • 9
  • 5
  • 3
  • 2
  • 1
  • 1
  • 1
ELISA, Immunohistochemistry (IHC), Immunofluorescence (IF)
  • 抗原表位

    • 8
    • 4
    • 2
    • 2
    • 2
    • 2
    • 2
    • 2
    • 1
    • 1
    • 1
    • 1
    • 1
    • 1
    • 1
    • 1
    • 1
    AA 927-1283

    原理

    PEX1 Antibody

    纯化方法

    Protein G purified

    纯度

    >95 %

    免疫原

    Recombinant Human Peroxisome biogenesis factor 1 protein (927-1283AA)

    亚型

    IgG
  • 应用备注

    Optimal working dilution should be determined by the investigator.

    限制

    仅限研究用
  • 状态

    Liquid

    缓冲液

    Preservative: 0.03 % Proclin 300
    Constituents: 50 % Glycerol, 0.01M PBS, pH 7.4

    储存液

    ProClin

    注意事项

    This product contains ProClin: a POISONOUS AND HAZARDOUS SUBSTANCE which should be handled by trained staff only.

    储存条件

    -20 °C,-80 °C

    储存方法

    Upon receipt, store at -20°C or -80°C. Avoid repeated freeze.
  • 抗原

    PEX1 (Peroxisomal Biogenesis Factor 1 (PEX1))

    别名

    PEX1

    背景

    Background: Required for stability of PEX5 and protein import into the peroxisome matrix. Anchored by PEX26 to peroxisome membranes, possibly to form heteromeric AAA ATPase complexes required for the import of proteins into peroxisomes.

    Aliases: Highly similar to ATPase [H.sapiens] antibody, Peroxin 1 antibody, Peroxin-1 antibody, peroxin1 antibody, Peroxisome biogenesis disorder protein 1 antibody, Peroxisome biogenesis factor 1 antibody, PEX1 antibody, PEX1_HUMAN antibody, ZWS1 antibody

    UniProt

    O43933
You are here: