Girdin 抗体 (pSer1417)
Our Local Distributor
北京 101111
Quick Overview for Girdin 抗体 (pSer1417) (ABIN1532146)
抗原
See all Girdin (CCDC88A) 抗体适用
宿主
克隆类型
标记
应用范围
-
-
抗原表位
- AA 1383-1432, pSer1417
-
特异性
-
Girdin (Phospho-Ser1417) Antibody detects endogenous levels of Girdin only when phosphorylated at Ser1417.
PhosphorylationH:S1417 M:S1417
-
纯化方法
- The antibody was purified from rabbit antiserum by affinity-chromatography using phospho peptide. The antibody against non-phospho peptide was removed by chromatography using corresponding non-phospho peptide.
-
纯度
- > 95 %
-
免疫原
- The antiserum was produced against synthesized peptide derived from human Girdin around the phosphorylation site of Ser1417.
-
亚型
- IgG
-
-
-
-
应用备注
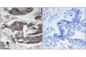
- IHC: 1:50~1:100 ELISA: 1:1000
-
说明
-
Unigene-Number: Hs.292925 (NCBI Gene Symbol: CCDC88A)
-
限制
- 仅限研究用
-
-
-
状态
- Liquid
-
浓度
- 1 mg/mL
-
缓冲液
- phosphate buffered saline (without Mg2+ and Ca2+), pH 7.4, 150 mM NaCl, 0.02 % sodium azide and 50 % glycerol.
-
储存液
- Sodium azide
-
注意事项
- This product contains sodium azide: a POISONOUS AND HAZARDOUS SUBSTANCE which should be handled by trained staff only.
-
储存条件
- -20 °C
-
储存方法
- Stable at -20°C for at least 1 year.
-
有效期
- 12 months
-
-
- Girdin (CCDC88A) (Coiled-Coil Domain Containing 88A (CCDC88A))
-
别名
- Girdin
-
背景
-
Synonyms: APE, GIV, GRDN, HkRP1, Hook-related protein 1, KIAA1212
NCBI Gene Symbol: CCDC88A
-
分子量
- 216 kDa
-
基因ID
- 55704
-
OMIM
- 609736
-
UniProt
- Q3V6T2
抗原
-