电话:
+86 (0512) 65829739
传真:
+86 (010) 6788 5057
电子邮件:
orders@antibodies-online.cn

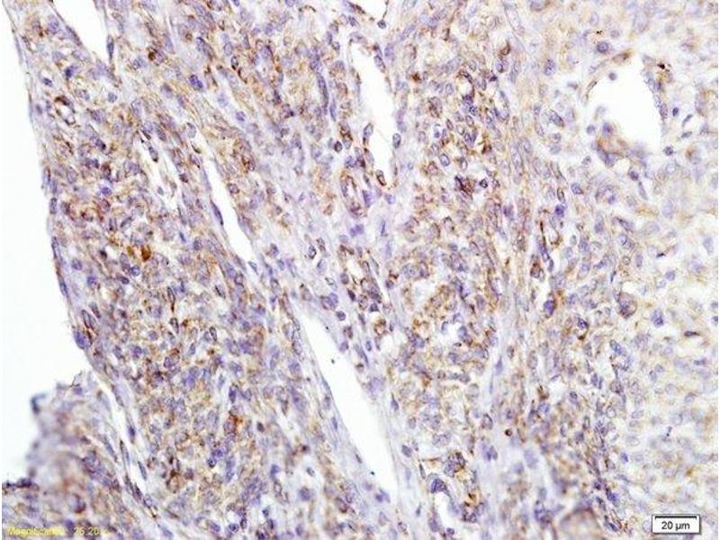
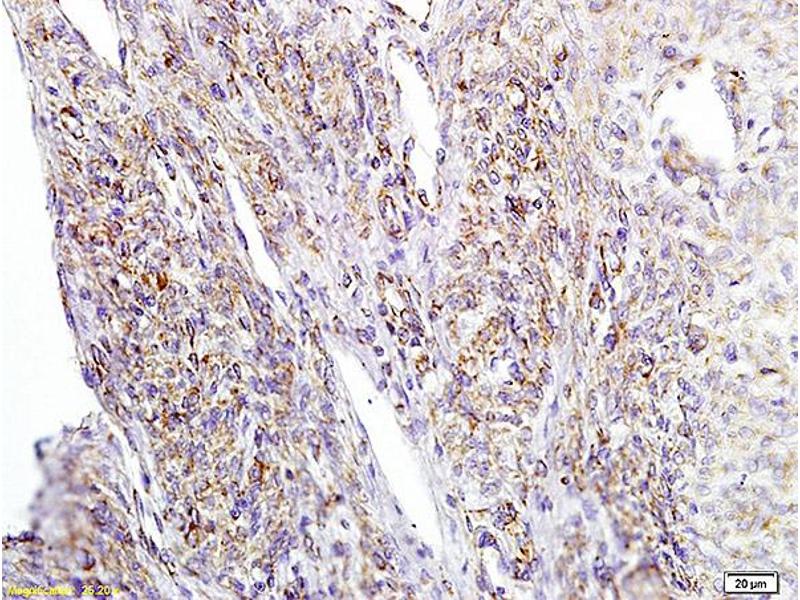
Girdin 抗体 (AA 1401-1500)

This 兔 多克隆 antibody specifically detects Girdin in ELISA, WB, IHC (p), IF (cc), IF (p), IHC (fro) 和 ICC. It exhibits reactivity toward 人.It has been mentioned in 1 publication
产品编号 ABIN755587
发货至: 中国
Contact our Customer Service for availability and price in your country. Contact Info

Our Local Distributor

中国
北京 101111
No. 88 KeChuang 6th Street
Beijing Economic Technological Development Area
Room 801-803
4A Biotech Co.,Ltd.
Tel +86 (0512) 65829739 传真 +86 (010) 6788 5057

Quick Overview for Girdin 抗体 (AA 1401-1500) (ABIN755587)

抗原

See all Girdin (CCDC88A) 抗体
Girdin (CCDC88A) (Coiled-Coil Domain Containing 88A (CCDC88A))

适用

  • 58
  • 18
  • 6
  • 1
  • 1
  • 1
  • 1
  • 1
  • 1

宿主

  • 59

克隆类型

  • 56
  • 3
多克隆

标记

  • 23
  • 3
  • 2
  • 2
  • 2
  • 2
  • 2
  • 2
  • 2
  • 2
  • 2
  • 2
  • 2
  • 2
  • 2
  • 1
  • 1
  • 1
  • 1
  • 1
  • 1
  • 1
This Girdin antibody is un-conjugated

应用范围

  • 36
  • 18
  • 15
  • 13
  • 13
  • 12
  • 5
  • 4
  • 3
  • 3
  • 1
  • 1
ELISA, Western Blotting (WB), Immunohistochemistry (Paraffin-embedded Sections) (IHC (p)), Immunofluorescence (Cultured Cells) (IF (cc)), Immunofluorescence (Paraffin-embedded Sections) (IF (p)), Immunohistochemistry (Frozen Sections) (IHC (fro)), Immunocytochemistry (ICC)
  • 抗原表位

    • 28
    • 14
    • 3
    • 3
    • 2
    • 1
    • 1
    • 1
    • 1
    • 1
    • 1
    • 1
    AA 1401-1500

    交叉反应

    预测反应

    Mouse,Rat,Dog,Horse,Rabbit

    纯化方法

    Purified by Protein A.

    免疫原

    KLH conjugated synthetic peptide derived from human APE/Girdin

    亚型

    IgG
  • 应用备注

    WB 1:300-5000
    ELISA 1:500-1000
    IHC-P 1:200-400
    IHC-F 1:100-500
    IF(IHC-P) 1:50-200
    IF(IHC-F) 1:50-200
    IF(ICC) 1:50-200
    ICC 1:100-500

    限制

    仅限研究用
  • 状态

    Liquid

    浓度

    1 μg/μL

    缓冲液

    0.01M TBS( pH 7.4) with 1 % BSA, 0.02 % Proclin300 and 50 % Glycerol.

    储存液

    ProClin

    注意事项

    This product contains ProClin: a POISONOUS AND HAZARDOUS SUBSTANCE, which should be handled by trained staff only.

    储存条件

    4 °C,-20 °C

    储存方法

    Shipped at 4°C. Store at -20°C for one year. Avoid repeated freeze/thaw cycles.

    有效期

    12 months
  • Ni, Fang, Tong, Tong, Yi, Qiu, Wang, Tong: "Girdin regulates the migration and invasion of glioma cells via the PI3K?Akt signaling pathway." in: Molecular medicine reports, (2015) (PubMed).

  • 抗原

    Girdin (CCDC88A) (Coiled-Coil Domain Containing 88A (CCDC88A))

    别名

    Girdin

    背景

    Synonyms: APE, APX, APE1, APEN, APEX, HAP1, REF1, DNA-(apurinic or apyrimidinic site) lyase, APEX nuclease, Apurinic-apyrimidinic endonuclease 1, AP endonuclease 1, APE-1, REF-1, Redox factor-1, APEX1

    Background: Multifunctional protein that plays a central role in the cellular response to oxidative stress. The two major activities of APEX1 in DNA repair and redox regulation of transcriptional factors. Functions as a apurinic/apyrimidinic (AP) endodeoxyribonuclease in the DNA base excision repair (BER) pathway of DNA lesions induced by oxidative and alkylating agents. Initiates repair of AP sites in DNA by catalyzing hydrolytic incision of the phosphodiester backbone immediately adjacent to the damage, generating a single-strand break with 5'-deoxyribose phosphate and 3'-hydroxyl ends. Does also incise at AP sites in the DNA strand of DNA/RNA hybrids, single-stranded DNA regions of R-loop structures, and single-stranded RNA molecules. Has a 3'-5' exoribonuclease activity on mismatched deoxyribonucleotides at the 3' termini of nicked or gapped DNA molecules during short-patch BER. Possesses a DNA 3' phosphodiesterase activity capable of removing lesions (such as phosphoglycolate) blocking the 3' side of DNA strand breaks. May also play a role in the epigenetic regulation of gene expression by participating in DNA demethylation. Acts as a loading factor for POLB onto non-incised AP sites in DNA and stimulates the 5'-terminal deoxyribose 5'-phosphate (dRp) excision activity of POLB. Plays a role in the protection from granzymes-mediated cellular repair leading to cell death. Also involved in the DNA cleavage step of class switch recombination (CSR). On the other hand, APEX1 also exerts reversible nuclear redox activity to regulate DNA binding affinity and transcriptional activity of transcriptional factors by controlling the redox status of their DNA-binding domain, such as the FOS/JUN AP-1 complex after exposure to IR. Involved in calcium-dependent down-regulation of parathyroid hormone (PTH) expression by binding to negative calcium response elements (nCaREs).

    基因ID

    328

    UniProt

    P27695
You are here: