电话:
+86 (0512) 65829739
传真:
+86 (010) 6788 5057
电子邮件:
orders@antibodies-online.cn

Girdin 抗体 (pSer1417)

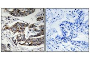
The 兔 多克隆 anti-Girdin antibody (ABIN7138609) specifically detects Girdin in ELISA 和 IHC. The antibody is reactive with 人 samples.
产品编号 ABIN7138609
发货至: 中国
Contact our Customer Service for availability and price in your country. Contact Info

Our Local Distributor

中国
北京 101111
No. 88 KeChuang 6th Street
Beijing Economic Technological Development Area
Room 801-803
4A Biotech Co.,Ltd.
Tel +86 (0512) 65829739 传真 +86 (010) 6788 5057

Quick Overview for Girdin 抗体 (pSer1417) (ABIN7138609)

抗原

See all Girdin (CCDC88A) 抗体
Girdin (CCDC88A) (Coiled-Coil Domain Containing 88A (CCDC88A))

适用

  • 58
  • 18
  • 6
  • 1
  • 1
  • 1
  • 1
  • 1
  • 1

宿主

  • 59

克隆类型

  • 56
  • 3
多克隆

标记

  • 23
  • 3
  • 2
  • 2
  • 2
  • 2
  • 2
  • 2
  • 2
  • 2
  • 2
  • 2
  • 2
  • 2
  • 2
  • 1
  • 1
  • 1
  • 1
  • 1
  • 1
  • 1
This Girdin antibody is un-conjugated

应用范围

  • 37
  • 18
  • 15
  • 14
  • 14
  • 11
  • 6
  • 4
  • 4
  • 3
  • 2
  • 1
ELISA, Immunohistochemistry (IHC)
  • 抗原表位

    • 27
    • 15
    • 3
    • 3
    • 2
    • 1
    • 1
    • 1
    • 1
    • 1
    • 1
    • 1
    pSer1417

    原理

    Phospho-CCDC88A (Ser1417) Antibody

    交叉反应

    小鼠

    纯化方法

    Antibodies were produced by immunizing rabbits with synthetic phosphopeptide and KLH conjugates. Antibodies were purified by affinity-chromatography using epitope-specific phosphopeptide. Non-phospho specific antibodies were removed by chromatogramphy usi

    免疫原

    Peptide sequence around phosphorylation site of Serine 417(L-E-M(p)-A-Q) derived from Human Girdin .

    亚型

    IgG
  • 应用备注

    Optimal working dilution should be determined by the investigator.

    限制

    仅限研究用
  • 状态

    Liquid

    缓冲液

    phosphate buffered saline (without Mg2+ and Ca2+), pH 7.4, 150 mM NaCl, 0.02 % sodium azide and 50 % glycerol.

    储存液

    Sodium azide

    注意事项

    This product contains Sodium azide: a POISONOUS AND HAZARDOUS SUBSTANCE which should be handled by trained staff only.

    储存条件

    -20 °C,-80 °C

    储存方法

    Upon receipt, store at -20°C or -80°C. Avoid repeated freeze.
  • 抗原

    Girdin (CCDC88A) (Coiled-Coil Domain Containing 88A (CCDC88A))

    别名

    CCDC88A

    背景

    Background:

    girdin IS a ubiquitously expressed actin binding protein that plays an important role in the formation of stress fibers and lamellipodia. Subsequent to phosphorylation by Akt, Girdin accumulates at the leading edge of migrating cells and appears to be crucial for the integrity of the actin cytoskeleton and for cell migration.

    Enomoto A., Dev. Cell 9:389-402(2005).
    Simpson F., Traffic 6:442-458(2005).
    Hillier L.W., Nature 434:724-731(2005).

    Aliases: AKT iphosphorylation enhancer antibody, Akt phosphorylation enhancer antibody, APE antibody, Ccdc88a antibody, Coiled coil domain containing 88A antibody, Coiled coil domain containing protein 88A antibody, Coiled-coil domain-containing protein 88A antibody, FLJ10392 antibody, G alpha interacting vesicle associated protein antibody, G alpha-interacting vesicle-associated protein antibody, Galpha interacting vesicle associated protein antibody, Girders of actin filament antibody, Girdin antibody, GIV antibody, GRDN antibody, GRDN_HUMAN antibody, HkRP1 antibody, Hook related protein 1 antibody, Hook-related protein 1 antibody, KIAA1212 antibody

    UniProt

    Q3V6T2
You are here: