电话:
+86 (0512) 65829739
传真:
+86 (010) 6788 5057
电子邮件:
orders@antibodies-online.cn

ERK1/2 抗体 (pTyr204)

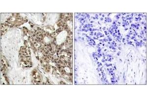
The 兔 多克隆 anti-ERK1/2 antibody is suitable to detect ERK1/2 in samples from 人, 小鼠 和 大鼠. It has been validated for WB, IHC 和 ELISA.
产品编号 ABIN1531832
发货至: 中国
Contact our Customer Service for availability and price in your country. Contact Info

Our Local Distributor

中国
北京 101111
No. 88 KeChuang 6th Street
Beijing Economic Technological Development Area
Room 801-803
4A Biotech Co.,Ltd.
Tel +86 (0512) 65829739 传真 +86 (010) 6788 5057

Quick Overview for ERK1/2 抗体 (pTyr204) (ABIN1531832)

抗原

See all ERK1/2 (MAPK1/3) 抗体
ERK1/2 (MAPK1/3) (Mitogen-Activated Protein Kinase 1/3 (MAPK1/3))

适用

  • 213
  • 182
  • 176
  • 21
  • 21
  • 18
  • 6
  • 2
  • 2
  • 2
  • 2
  • 2
  • 1
  • 1
  • 1
  • 1
  • 1
  • 1
  • 1
人, 小鼠, 大鼠

宿主

  • 175
  • 41
  • 3

克隆类型

  • 132
  • 87
多克隆

标记

  • 81
  • 13
  • 8
  • 8
  • 8
  • 8
  • 8
  • 8
  • 6
  • 5
  • 5
  • 5
  • 5
  • 5
  • 5
  • 5
  • 5
  • 5
  • 5
  • 5
  • 4
  • 4
  • 4
  • 2
  • 1
  • 1
This ERK1/2 antibody is un-conjugated

应用范围

  • 172
  • 66
  • 59
  • 51
  • 51
  • 41
  • 41
  • 39
  • 36
  • 32
  • 13
  • 3
  • 3
Western Blotting (WB), Immunohistochemistry (IHC), ELISA
  • 抗原表位

    • 66
    • 44
    • 30
    • 30
    • 21
    • 16
    • 13
    • 13
    • 10
    • 4
    • 4
    • 3
    • 3
    • 3
    • 2
    • 2
    • 2
    • 2
    • 1
    • 1
    • 1
    • 1
    • 1
    • 1
    • 1
    • 1
    • 1
    • 1
    • 1
    • 1
    • 1
    • 1
    • 1
    AA 170-219, pTyr204

    特异性

    p44/42 MAP Kinase (Phospho-Tyr204) Antibody detects endogenous levels of p44/42 MAP Kinase only when phosphorylated at Tyr204.

    PhosphorylationH:Y204/187 M:Y205/185 R:Y205/185

    纯化方法

    The antibody was purified from rabbit antiserum by affinity-chromatography using phospho peptide. The antibody against non-phospho peptide was removed by chromatography using corresponding non-phospho peptide.

    纯度

    > 95 %

    免疫原

    The antiserum was produced against synthesized peptide derived from human p44/42 MAP Kinase around the phosphorylation site of Tyr204.

    亚型

    IgG
  • 应用备注

    WB: 1:500~1:1000 IHC: 1:50~1:100 ELISA: 1:10000

    说明

    Unigene-Number: Hs.861, Hs.431850 (NCBI Gene Symbol: MAPK3)

    限制

    仅限研究用
  • 状态

    Liquid

    浓度

    1 mg/mL

    缓冲液

    phosphate buffered saline (without Mg2+ and Ca2+), pH 7.4, 150 mM NaCl, 0.02 % sodium azide and 50 % glycerol.

    储存液

    Sodium azide

    注意事项

    This product contains sodium azide: a POISONOUS AND HAZARDOUS SUBSTANCE which should be handled by trained staff only.

    储存条件

    -20 °C

    储存方法

    Stable at -20°C for at least 1 year.

    有效期

    12 months
  • 抗原

    ERK1/2 (MAPK1/3) (Mitogen-Activated Protein Kinase 1/3 (MAPK1/3))

    别名

    p44/42 MAP Kinase

    背景

    Synonyms: ERK-1, ERK1, ERT2, Extracellular signal- regulated kinase 1, Insulin-stimulated MAP2 kinase, kinase ERK1, MAP kinase 1, MAPK 1, MAPK3, Microtubule- associated protein-2 kinase, Mitogen-activated protein kinase 3, MK03, MNK1, p44-ERK1, P44-ERK1, p44-MAPK,

    NCBI Gene Symbol: MAPK3

    分子量

    43 kDa

    基因ID

    5595, 5594

    OMIM

    601795

    UniProt

    P27361, P28482
You are here: