电话:
+86 (0512) 65829739
传真:
+86 (010) 6788 5057
电子邮件:
orders@antibodies-online.cn

MUC1 抗体 (pTyr1243)

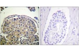
The 兔 多克隆 anti-MUC1 antibody (ABIN1531542) specifically detects MUC1 in IHC 和 ELISA. The antibody is reactive with 人 和 小鼠 samples.
产品编号 ABIN1531542
发货至: 中国
Contact our Customer Service for availability and price in your country. Contact Info

Our Local Distributor

中国
北京 101111
No. 88 KeChuang 6th Street
Beijing Economic Technological Development Area
Room 801-803
4A Biotech Co.,Ltd.
Tel +86 (0512) 65829739 传真 +86 (010) 6788 5057

Quick Overview for MUC1 抗体 (pTyr1243) (ABIN1531542)

抗原

See all MUC1 抗体
MUC1 (Mucin 1 (MUC1))

适用

  • 366
  • 75
  • 34
  • 12
  • 6
  • 6
  • 4
  • 4
  • 2
  • 2
  • 2
  • 2
  • 1
  • 1
人, 小鼠

宿主

  • 208
  • 154
  • 20
  • 1
  • 1
  • 1

克隆类型

  • 221
  • 153
  • 10
多克隆

标记

  • 200
  • 28
  • 16
  • 11
  • 10
  • 9
  • 8
  • 8
  • 8
  • 8
  • 8
  • 8
  • 6
  • 3
  • 3
  • 3
  • 3
  • 3
  • 3
  • 2
  • 2
  • 2
  • 2
  • 2
  • 2
  • 2
  • 2
  • 2
  • 2
  • 2
  • 2
  • 2
  • 2
  • 1
  • 1
  • 1
  • 1
  • 1
  • 1
  • 1
  • 1
  • 1
  • 1
This MUC1 antibody is un-conjugated

应用范围

  • 192
  • 169
  • 132
  • 117
  • 91
  • 50
  • 43
  • 42
  • 40
  • 24
  • 20
  • 16
  • 14
  • 13
  • 13
  • 6
  • 6
  • 5
  • 5
  • 4
  • 3
  • 3
  • 3
  • 2
  • 2
  • 2
  • 2
  • 2
  • 2
  • 1
  • 1
  • 1
  • 1
Immunohistochemistry (IHC), ELISA
  • 抗原表位

    • 21
    • 16
    • 16
    • 13
    • 7
    • 5
    • 5
    • 5
    • 5
    • 4
    • 4
    • 3
    • 3
    • 3
    • 2
    • 2
    • 2
    • 2
    • 2
    • 2
    • 2
    • 1
    • 1
    • 1
    • 1
    • 1
    • 1
    • 1
    • 1
    • 1
    • 1
    • 1
    • 1
    • 1
    • 1
    • 1
    • 1
    • 1
    • 1
    • 1
    • 1
    • 1
    • 1
    • 1
    • 1
    • 1
    • 1
    AA 1204-1253, pTyr1243

    特异性

    CD227/Mucin 1 (Phospho-Tyr1243) Antibody detects endogenous levels of CD227/Mucin 1 only when phosphorylated at Tyr1243.

    PhosphorylationH:Y1243 M:Y618

    纯化方法

    The antibody was purified from rabbit antiserum by affinity-chromatography using phospho peptide. The antibody against non-phospho peptide was removed by chromatography using corresponding non-phospho peptide.

    纯度

    > 95 %

    免疫原

    The antiserum was produced against synthesized peptide derived from human CD227/Mucin 1 around the phosphorylation site of Tyr1243.

    亚型

    IgG
  • 应用备注

    IHC: 1:50~1:100 ELISA: 1:20000

    说明

    Unigene-Number: Hs.89603 (NCBI Gene Symbol: MUC1)

    限制

    仅限研究用
  • 状态

    Liquid

    浓度

    1 mg/mL

    缓冲液

    phosphate buffered saline (without Mg2+ and Ca2+), pH 7.4, 150 mM NaCl, 0.02 % sodium azide and 50 % glycerol.

    储存液

    Sodium azide

    注意事项

    This product contains sodium azide: a POISONOUS AND HAZARDOUS SUBSTANCE which should be handled by trained staff only.

    储存条件

    -20 °C

    储存方法

    Stable at -20°C for at least 1 year.

    有效期

    12 months
  • 抗原

    MUC1 (Mucin 1 (MUC1))

    别名

    CD227/Mucin 1

    背景

    Synonyms: Breast carcinoma-associated antigen DF3, Carcinoma-associated mucin, CD227, EMA, Episialin, H23AG, MUC-1, mucin 1, Mucin 1 precursor, mucin 1, transmembrane, Peanut-reactive urinary mucin, PEM, PEMT, Polymorphic epithelial mucin, PUM, Tumor-associated epi

    NCBI Gene Symbol: MUC1

    分子量

    122 kDa

    基因ID

    4582

    OMIM

    113720

    UniProt

    P15941

    途径

    Negative Regulation of intrinsic apoptotic Signaling
You are here: