电话:
+86 (0512) 65829739
传真:
+86 (010) 6788 5057
电子邮件:
orders@antibodies-online.cn

Endonuclease G 抗体 (AA 55-70)

This 兔 多克隆 antibody specifically detects Endonuclease G in WB 和 IHC (p). It exhibits reactivity toward 人, 大鼠 和 小鼠.
产品编号 ABIN121687
发货至: 中国
Contact our Customer Service for availability and price in your country. Contact Info

Our Local Distributor

中国
北京 101111
No. 88 KeChuang 6th Street
Beijing Economic Technological Development Area
Room 801-803
4A Biotech Co.,Ltd.
Tel +86 (0512) 65829739 传真 +86 (010) 6788 5057

Quick Overview for Endonuclease G 抗体 (AA 55-70) (ABIN121687)

抗原

See all Endonuclease G (ENDOG) 抗体
Endonuclease G (ENDOG)

适用

  • 44
  • 32
  • 28
  • 2
  • 2
  • 2
  • 2
  • 1
  • 1
  • 1
  • 1
  • 1
  • 1
人, 大鼠, 小鼠

宿主

  • 55
  • 7

克隆类型

  • 47
  • 15
多克隆

标记

  • 31
  • 3
  • 3
  • 2
  • 2
  • 2
  • 2
  • 2
  • 2
  • 2
  • 1
  • 1
  • 1
  • 1
  • 1
  • 1
  • 1
  • 1
  • 1
  • 1
  • 1
This Endonuclease G antibody is un-conjugated

应用范围

  • 45
  • 14
  • 14
  • 13
  • 7
  • 6
  • 5
  • 5
  • 5
  • 3
  • 3
  • 3
  • 1
Western Blotting (WB), Immunohistochemistry (Paraffin-embedded Sections) (IHC (p))
  • 抗原表位

    • 15
    • 7
    • 4
    • 2
    • 2
    • 2
    • 2
    • 1
    • 1
    • 1
    • 1
    • 1
    • 1
    • 1
    AA 55-70

    纯化方法

    Affinity chromatography

    免疫原

    Synthetic peptide corresponding to amino acids 55 - 70 of endonuclease G. AA Sequence: GGPRGPGELAKYGLP
  • 应用备注

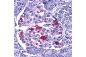
    Western Blot: 1 μg/mL - 2 μg/mL, this antibody detects a band of approximately 35 kDa in HepG2 and 3T3 cell lysates. Immunohistochemistry on paraffin sections: 15 μg/mL, Sodium citrate buffer pH 6.0 is recommended for this purpose. Recommended Positive Control: Human pancreas.
    Other applications not tested.
    Optimal dilutions are dependent on conditions and should be determined by the user.

    限制

    仅限研究用
  • 浓度

    1.0 mg/mL

    缓冲液

    PBS containing 0.09 % Sodium Azide

    储存液

    Sodium azide

    注意事项

    This product contains sodium azide: a POISONOUS AND HAZARDOUS SUBSTANCE which should be handled by trained staff only.

    储存条件

    4 °C/-20 °C

    储存方法

    Store the antibody undiluted at 2-8 °C for one month or (in aliquots) at -20 °C for longer. Avoid repeated freezing and thawing.
    Shelf Life: one year from despatch.

    有效期

    12 months
  • 抗原

    Endonuclease G (ENDOG)

    别名

    Endonuclease G

    背景

    Endonuclease G is a mitochondrion-specific nuclease that translocates to the nucleus and cleaves chromatin DNA during apoptosis. endoG is reported to act independently of caspases and may represent a caspase independent apoptotic pathway initiated from the mitochondria.Synonyms: ENDOG

    UniProt

    Q14249

    途径

    Apoptosis
You are here: