电话:
+86 (0512) 65829739
传真:
+86 (010) 6788 5057
电子邮件:
orders@antibodies-online.cn

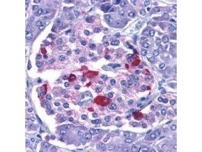
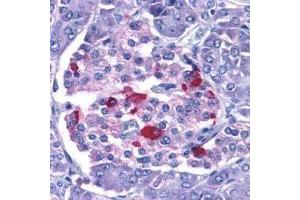
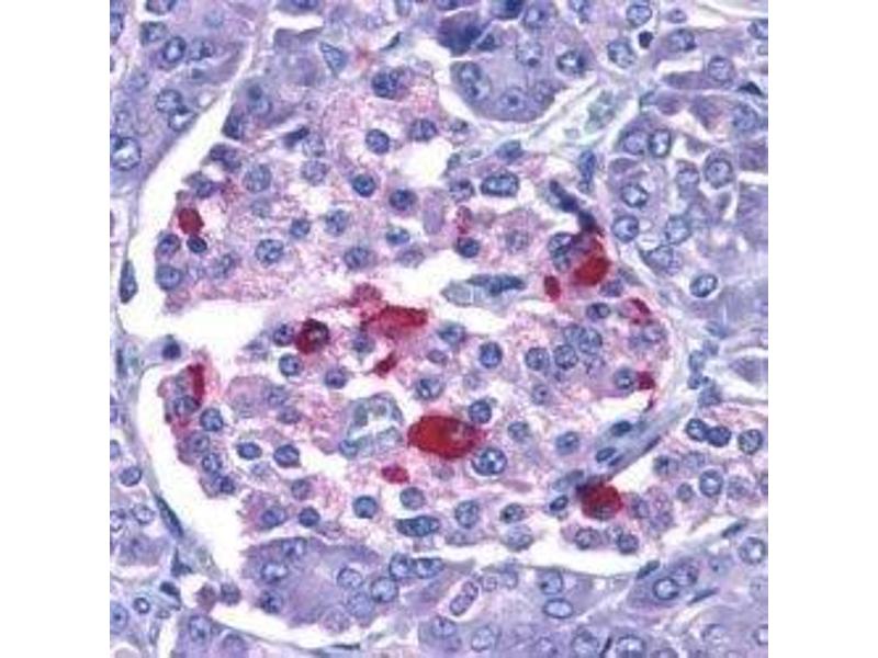
Endonuclease G 抗体 (AA 55-70)

Cited in 1 publication. The 兔 多克隆 anti-Endonuclease G antibody (ABIN2473433) specifically detects Endonuclease G in WB 和 IHC (p). The antibody is reactive with 人, 大鼠 和 小鼠 samples.
产品编号 ABIN2473433
发货至: 中国
Contact our Customer Service for availability and price in your country. Contact Info

Our Local Distributor

中国
北京 101111
No. 88 KeChuang 6th Street
Beijing Economic Technological Development Area
Room 801-803
4A Biotech Co.,Ltd.
Tel +86 (0512) 65829739 传真 +86 (010) 6788 5057

Quick Overview for Endonuclease G 抗体 (AA 55-70) (ABIN2473433)

抗原

See all Endonuclease G (ENDOG) 抗体
Endonuclease G (ENDOG)

适用

  • 44
  • 32
  • 28
  • 2
  • 2
  • 2
  • 2
  • 1
  • 1
  • 1
  • 1
  • 1
  • 1
人, 大鼠, 小鼠

宿主

  • 55
  • 7

克隆类型

  • 47
  • 15
多克隆

标记

  • 31
  • 3
  • 3
  • 2
  • 2
  • 2
  • 2
  • 2
  • 2
  • 2
  • 1
  • 1
  • 1
  • 1
  • 1
  • 1
  • 1
  • 1
  • 1
  • 1
  • 1
This Endonuclease G antibody is un-conjugated

应用范围

  • 45
  • 14
  • 14
  • 13
  • 7
  • 6
  • 5
  • 5
  • 5
  • 3
  • 3
  • 3
  • 1
Western Blotting (WB), Immunohistochemistry (Paraffin-embedded Sections) (IHC (p))
  • 抗原表位

    • 15
    • 7
    • 4
    • 2
    • 2
    • 2
    • 2
    • 1
    • 1
    • 1
    • 1
    • 1
    • 1
    • 1
    AA 55-70

    交叉反应

    小鼠, 大鼠

    产品特性

    Purified IgG

    纯化方法

    Purified

    免疫原

    Synthetic peptide GGPRGPGELAKYGLP corresponding to amino acids 55-70 of endonuclease G.

    亚型

    IgG
  • 应用备注

    Optimal working dilution should be determined by the investigator.

    限制

    仅限研究用
  • 状态

    Liquid

    浓度

    1.0 mg/mL
  • Li, Luo, Wang: "Endonuclease G is an apoptotic DNase when released from mitochondria." in: Nature, Vol. 412, Issue 6842, pp. 95-9, (2001) (PubMed).

  • 抗原

    Endonuclease G (ENDOG)

    别名

    ENDONUCLEASE G

    基因ID

    2021

    UniProt

    Q14249

    途径

    Apoptosis
You are here: