电话:
+86 (0512) 65829739
传真:
+86 (010) 6788 5057
电子邮件:
orders@antibodies-online.cn

RPA1 抗体

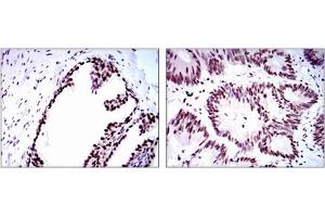
The 小鼠 单克隆 anti-RPA1 antibody (Clone 4C4) (ABIN1108896) specifically detects RPA1 in WB, IF, FACS, IHC (p) 和 EIA. The antibody is reactive with 人 和 猴 samples.
产品编号 ABIN1108896
发货至: 中国
Contact our Customer Service for availability and price in your country. Contact Info

Our Local Distributor

中国
北京 101111
No. 88 KeChuang 6th Street
Beijing Economic Technological Development Area
Room 801-803
4A Biotech Co.,Ltd.
Tel +86 (0512) 65829739 传真 +86 (010) 6788 5057

Quick Overview for RPA1 抗体 (ABIN1108896)

抗原

See all RPA1 抗体
RPA1 (Replication Protein A1, 70kDa (RPA1))

适用

  • 90
  • 25
  • 18
  • 7
  • 3
  • 3
  • 3
  • 2
  • 2
  • 2
  • 2
  • 2
  • 2
  • 2
  • 1
  • 1
人, 猴

宿主

  • 76
  • 15
  • 1
  • 1
小鼠

克隆类型

  • 63
  • 30
单克隆

标记

  • 53
  • 5
  • 4
  • 3
  • 2
  • 2
  • 2
  • 2
  • 2
  • 2
  • 2
  • 1
  • 1
  • 1
  • 1
  • 1
  • 1
  • 1
  • 1
  • 1
  • 1
  • 1
  • 1
  • 1
  • 1
This RPA1 antibody is un-conjugated

应用范围

  • 81
  • 28
  • 25
  • 25
  • 23
  • 22
  • 19
  • 14
  • 13
  • 8
  • 3
  • 2
  • 2
  • 1
  • 1
  • 1
Western Blotting (WB), Immunofluorescence (IF), Flow Cytometry (FACS), Immunohistochemistry (Paraffin-embedded Sections) (IHC (p)), Enzyme Immunoassay (EIA)

克隆位点

4C4
You are here: