电话:
+86 (0512) 65829739
传真:
+86 (010) 6788 5057
电子邮件:
orders@antibodies-online.cn

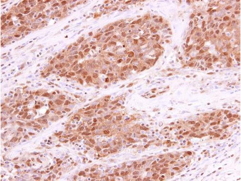
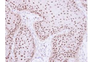
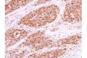
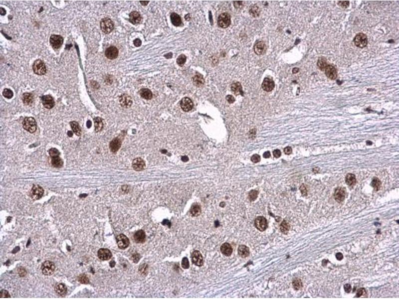
RPA1 抗体 (C-Term)

The 兔 多克隆 anti-RPA1 antibody (ABIN2856633) specifically detects RPA1 in WB, IF, IP, ICC 和 IHC (p). The antibody is reactive with 人 samples.
产品编号 ABIN2856633
发货至: 中国
Contact our Customer Service for availability and price in your country. Contact Info

Our Local Distributor

中国
北京 101111
No. 88 KeChuang 6th Street
Beijing Economic Technological Development Area
Room 801-803
4A Biotech Co.,Ltd.
Tel +86 (0512) 65829739 传真 +86 (010) 6788 5057

Quick Overview for RPA1 抗体 (C-Term) (ABIN2856633)

抗原

See all RPA1 抗体
RPA1 (Replication Protein A1, 70kDa (RPA1))

适用

  • 90
  • 26
  • 19
  • 8
  • 3
  • 3
  • 3
  • 2
  • 2
  • 2
  • 2
  • 2
  • 2
  • 2
  • 1
  • 1

宿主

  • 75
  • 16
  • 1
  • 1

克隆类型

  • 62
  • 31
多克隆

标记

  • 53
  • 5
  • 4
  • 3
  • 2
  • 2
  • 2
  • 2
  • 2
  • 2
  • 2
  • 1
  • 1
  • 1
  • 1
  • 1
  • 1
  • 1
  • 1
  • 1
  • 1
  • 1
  • 1
  • 1
  • 1
This RPA1 antibody is un-conjugated

应用范围

  • 81
  • 28
  • 25
  • 25
  • 24
  • 21
  • 18
  • 14
  • 13
  • 8
  • 3
  • 2
  • 2
  • 1
  • 1
  • 1
  • 1
Western Blotting (WB), Immunofluorescence (IF), Immunoprecipitation (IP), Immunocytochemistry (ICC), Immunohistochemistry (Paraffin-embedded Sections) (IHC (p))
  • 抗原表位

    • 16
    • 9
    • 6
    • 5
    • 3
    • 3
    • 2
    • 2
    • 1
    • 1
    • 1
    • 1
    • 1
    • 1
    • 1
    • 1
    • 1
    • 1
    C-Term

    交叉反应

    人, 小鼠

    产品特性

    Rabbit Polyclonal antibody to RPA70 (replication protein A1, 70 kDa)
    RPA70 antibody [C1C3]

    纯化方法

    Purified by antigen-affinity chromatography.

    免疫原

    Recombinant protein encompassing a sequence within the C-terminus region of human RPA70. The exact sequence is proprietary.

    亚型

    IgG
  • 应用备注

    WB: 1:500-1:3000. ICC/IF: 1:100-1:1000. IHC-P: 1:100-1:1000. IP: 1:100-1:500. Optimal dilutions/concentrations should be determined by the researcher. Not tested in other applications.

    说明

    Positive Control: Mouse liver , 293T , A431 , HeLa , HepG2

    限制

    仅限研究用
  • 状态

    Liquid

    浓度

    0.4 mg/mL

    缓冲液

    1XPBS ( pH 7), 1 % BSA, 20 % Glycerol, 0.025 % ProClin 300

    储存液

    ProClin

    注意事项

    This product contains ProClin: a POISONOUS AND HAZARDOUS SUBSTANCE which should be handled by trained staff only.

    储存条件

    4 °C,-20 °C

    储存方法

    Store as concentrated solution. Centrifuge briefly prior to opening vial. For short-term storage (1-2 weeks), store at 4°C. For long-term storage, aliquot and store at -20°C or below. Avoid multiple freeze-thaw cycles.
  • 抗原

    RPA1 (Replication Protein A1, 70kDa (RPA1))

    别名

    replication protein A1

    背景

    Plays an essential role in several cellular processes in DNA metabolism including replication, recombination and DNA repair. Binds and subsequently stabilizes single-stranded DNA intermediates and thus prevents complementary DNA from reannealing. Functions as component of the alternative replication protein A complex (aRPA). aRPA binds single-stranded DNA and probably plays a role in DNA repair, it does not support chromosomal DNA replication and cell cycle progression through S-phase. In vitro, aRPA cannot promote efficient priming by DNA polymerase alpha but supports DNA polymerase delta synthesis in the presence of PCNA and replication factor C (RFC), the dual incision/excision reaction of nucleotide excision repair and RAD51-dependent strand exchange.

    Cellular Localization: Nucleus

    分子量

    68 kDa

    基因ID

    6117

    UniProt

    P27694

    途径

    Telomere Maintenance, DNA Damage Repair, Mitotic G1-G1/S Phases, DNA Replication, Chromatin Binding, Synthesis of DNA
You are here: