电话:
+86 (0512) 65829739
传真:
+86 (010) 6788 5057
电子邮件:
orders@antibodies-online.cn

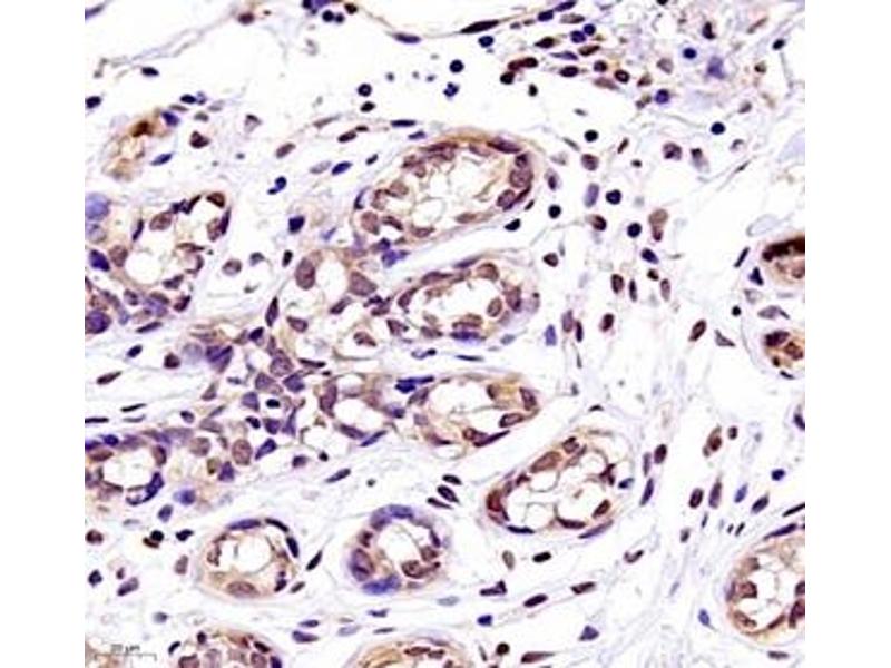
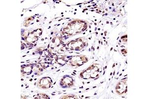
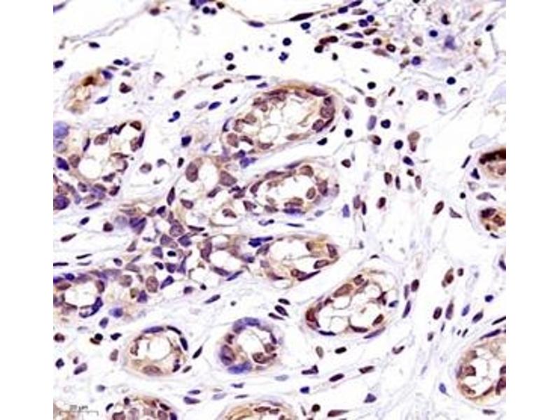
TYW1B 抗体

(tRNA-YW Synthesizing Protein 1 Homolog B (S. Cerevisiae) (TYW1B))
Wybutosine (yW) is a hypermodified guanosine found in phenylalanine tRNA adjacent to the anticodon that stabilizes codon-anticodon interactions in the ribosome. In yeast, the homolog of this gene is essential for the synthesis of wybutosine (yW). The human genome contains two closely related genes that putatively function in wybutosine synthesis. The open reading frame of this locus is disrupted in some individuals. Thus, this locus appears to be an evolving pseudogene, but may still be functional in some members of the population. Multiple transcript variants encoding different isoforms have been found for this gene. [provided by RefSeq, Mar 2009].

4 results

TYW1B 适用: 人, 小鼠, 大鼠 WB, IHC, IF 宿主: 兔 Polyclonal unconjugated
产品编号 ABIN7076025
100 μL
发货至: 中国
获取报价
 
TYW1B 适用: 人 WB, IHC, ELISA 宿主: 兔 Polyclonal unconjugated
产品编号 ABIN7137550
100 μL
发货至: 中国
获取报价
 
TYW1B 适用: 人, 小鼠, 大鼠 WB, IHC, ELISA 宿主: 兔 Polyclonal unconjugated
产品编号 ABIN7120318
100 μg
发货至: 中国
获取报价
 
TYW1B 适用: 人 WB 宿主: 兔 Polyclonal unconjugated
产品编号 ABIN7846032
200 μL
发货至: 中国
获取报价
 
  • 类型 Primary
    • Primary
  • 应用范围
    • Western Blotting (WB)
    • Immunohistochemistry (IHC)
    • ELISA
    • Immunofluorescence (IF)
  • 适用
    • Human
    • Mouse
    • Rat
  • 图像
  • 抗体来源
    • Rabbit
  • 克隆形成能力
    • Polyclonal
  • 抗原表位
    • Center
  • 标记
    • 非结合性
  • 抗体亚型
    • IgG
  • Format
    • Liquid
  • Supplier
    • antibodies-online
    • Cohesion Biosciences

Aliases for TYW1B 抗体

tRNA-yW synthesizing protein 1 homolog B (TYW1B) 抗体
LINC00069 抗体
NCRNA00069 抗体
RSAFD2 抗体
You are here: