电话:
+86 (0512) 65829739
传真:
+86 (010) 6788 5057
电子邮件:
orders@antibodies-online.cn

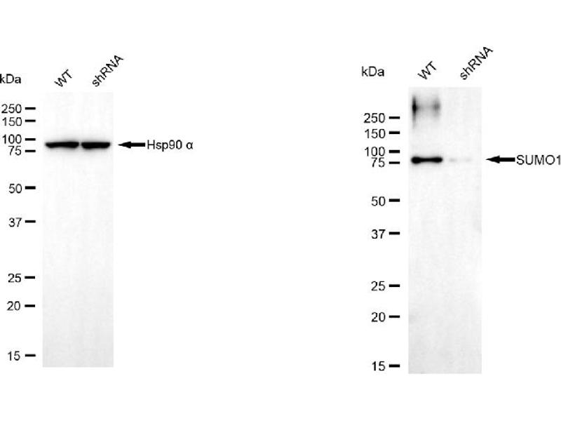
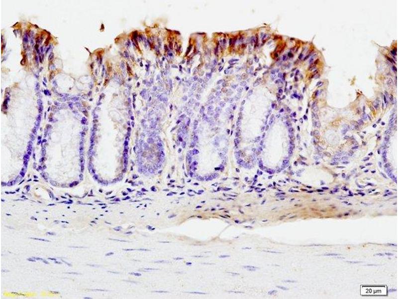
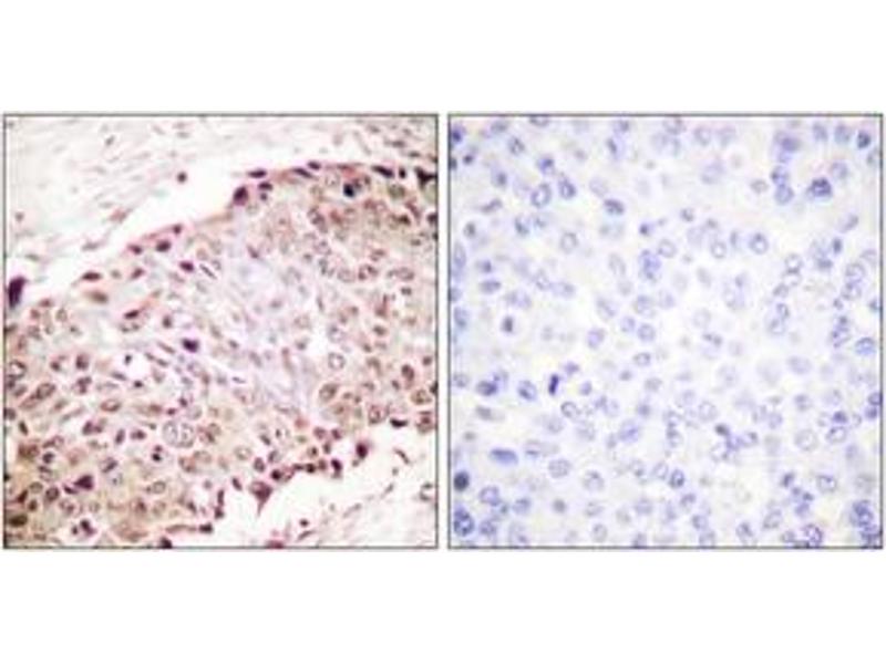
Small Ubiquitin Related Modifier Protein 1 抗体

(Small Ubiquitin Related Modifier Protein 1 (SUMO1))
This gene encodes a protein that is a member of the SUMO (small ubiquitin-like modifier) protein family. It functions in a manner similar to ubiquitin in that it is bound to target proteins as part of a post-translational modification system. However, unlike ubiquitin which targets proteins for degradation, this protein is involved in a variety of cellular processes, such as nuclear transport, transcriptional regulation, apoptosis, and protein stability. It is not active until the last four amino acids of the carboxy-terminus have been cleaved off. Several pseudogenes have been reported for this gene. Alternate transcriptional splice variants encoding different isoforms have been characterized. [provided by RefSeq, Jul 2008].

162 results

SUMO1 适用: 大鼠, 小鼠 WB, ELISA, IHC (p), IF (cc), IF (p), IHC (fro) 宿主: 兔 Polyclonal unconjugated
产品编号 ABIN1386813
 
SUMO1 适用: 大鼠, 小鼠 WB, ELISA, IHC (p), ICC, IF (cc), IF (p), IHC (fro) 宿主: 兔 Polyclonal unconjugated
产品编号 ABIN687397
 
SUMO1 适用: 人 WB 宿主: 小鼠 Polyclonal unconjugated
Pubmed 1 reference
产品编号 ABIN521224
50 μL
发货至: 中国
获取报价
 
SUMO1 适用: 人 WB, IHC, IP, ICC 宿主: 兔 Polyclonal unconjugated
产品编号 ABIN1871260
100 μL (More quantities available)
发货至: 中国
获取报价
 
SUMO1 适用: 人, 小鼠 WB, IF, IHC (p), EIA 宿主: 兔 Polyclonal unconjugated
产品编号 ABIN356734
0.4 mL
发货至: 中国
获取报价
 
SUMO1 适用: 人, 大鼠, 小鼠 WB, IHC, IF, ELISA 宿主: 兔 Polyclonal unconjugated
产品编号 ABIN1533443
100 μL (More quantities available)
发货至: 中国
获取报价
 
Rockland 200-401-441 SUMO1 适用: 人 WB, ELISA 宿主: 兔 Polyclonal unconjugated
Pubmed 1 reference
产品编号 ABIN107152
500 μg
发货至: 中国
获取报价
Rockland Original
Rockland 200-301-428 SUMO1 适用: Various Species WB, IHC, ELISA 宿主: 小鼠 Monoclonal 4F2-F5-G2 unconjugated
Pubmed 2 references
产品编号 ABIN233746
Rockland Original
SUMO1 适用: 人 WB, ELISA 宿主: 小鼠 Monoclonal 66AT1273-94 unconjugated
产品编号 ABIN3032642
0.4 mL (More quantities available)
发货至: 中国
获取报价
 
SUMO1 适用: 人, 大鼠, 小鼠, Cow, 犬, Pig, 猴 WB, IHC, IF 宿主: 兔 Polyclonal unconjugated
产品编号 ABIN7297228
100 μL (More quantities available)
发货至: 中国
获取报价
 
SUMO1 适用: 人, 大鼠, 小鼠 WB, IHC, IF, ELISA 宿主: 兔 Polyclonal unconjugated
产品编号 ABIN3187108
100 μL (More quantities available)
发货至: 中国
获取报价
 
SUMO1 适用: 小鼠 WB, IHC, IP, ICC 宿主: 兔 Polyclonal unconjugated
产品编号 ABIN7442582
100 μL (More quantities available)
发货至: 中国
获取报价
 
SUMO1 适用: 人, 大鼠, 小鼠, Cow, 犬, Pig, 猴, 兔, 豚鼠, 马, Bat WB 宿主: 兔 Polyclonal unconjugated
产品编号 ABIN6747653
100 μL
发货至: 中国
获取报价
 
SUMO1 适用: 人, 大鼠, 小鼠 IHC, IF, FACS, ICC 宿主: 兔 Polyclonal unconjugated
产品编号 ABIN7603002
 
SUMO1 适用: 人 WB, IHC (p), EIA 宿主: 兔 Polyclonal unconjugated
产品编号 ABIN356808
0.4 mL
发货至: 中国
获取报价
 
Rockland 200-401-428 SUMO1 适用: Saccharomyces cerevisiae WB, ELISA, IP, ChIP 宿主: 兔 Polyclonal unconjugated
Pubmed 7 references
产品编号 ABIN107153
500 μg (More quantities available)
发货至: 中国
获取报价
Rockland Original
SUMO1 适用: Saccharomyces cerevisiae WB, EIA 宿主: 小鼠 Monoclonal 4F2-F5-G2 unconjugated
产品编号 ABIN400792
0.1 mg
发货至: 中国
获取报价
 
SUMO1 适用: 人, 大鼠, 小鼠 WB, IF, FACS, IHC (p) 宿主: 小鼠 Monoclonal S1MT-2 unconjugated
产品编号 ABIN3026266
100 μg
发货至: 中国
获取报价
 
SUMO1 适用: 人, 大鼠, 小鼠 WB, IHC (p), EIA 宿主: 兔 Polyclonal unconjugated
产品编号 ABIN500837
0.1 mg
发货至: 中国
获取报价
 
SUMO1 适用: 人, 大鼠, 小鼠 WB, ICC 宿主: 兔 Polyclonal unconjugated
产品编号 ABIN1742528
50 μg
发货至: 中国
获取报价
 
  • 类型 Primary
    • Primary
  • 应用范围
    • Western Blotting (WB)
    • Immunofluorescence (IF)
    • Immunohistochemistry (IHC)
    • ELISA
    • Flow Cytometry (FACS)
    • Immunocytochemistry (ICC)
    • Immunofluorescence (Cultured Cells) (IF (cc))
    • Immunofluorescence (Paraffin-embedded Sections) (IF (p))
    • Immunohistochemistry (Paraffin-embedded Sections) (IHC (p))
    • Immunoprecipitation (IP)
    • Immunohistochemistry (Formalin-fixed Sections) (IHC (f))
    • Enzyme Immunoassay (EIA)
    • Immunohistochemistry (Frozen Sections) (IHC (fro))
    • Chromatin Immunoprecipitation (ChIP)
    • Immunohistochemistry (Formalin-fixed Paraffin-embedded Sections) (IHC (fp))
    • Staining Methods (StM)
  • 适用
    • Human
    • Rat
    • Mouse
    • Saccharomyces cerevisiae
    • Cow
    • Pig
    • Dog
    • Fungus
    • Monkey
    • Rabbit
    • Guinea Pig
    • Horse
    • Bat
    • Arabidopsis thaliana
    • Chicken
    • Drosophila melanogaster
    • Goat
    • Sheep
    • Various Species
  • 论文引用
  • 图像
  • 仅无防腐剂
  • Carrier free only
  • 抗体来源
    • Rabbit
    • Mouse
    • Rat
    • Chicken
    • Goat
  • 克隆形成能力
    • Polyclonal
    • Monoclonal
  • 克隆
    • SM1-495
    • S04-9G9
    • 4D12
    • 4F2-F5-G2
    • 66AT1273-94
    • S1MT-2
    • 1SUM-1C6
    • 24GB7175
    • 3D7
    • 5B12
    • 5G3
    • 6A4
    • 7H5
    • BFI-19
    • PT0513R
    • RB0629
    • RB0632
    • RB23143
    • SUMO1-1188
  • 抗原表位
    • AA 21-101
    • AA 98-158
    • N-Term
    • AA 2-98
    • AA 55-86
    • AA 1-101
    • AA 1-30
    • C-Term
    • full length
    • AA 1-50
    • AA 1-80
    • AA 15-30
    • AA 2-101
    • AA 2-20
    • AA 52-79
    • AA 57-70
    • AA 63-93
    • Middle Region
  • 标记
    • 非结合性
    • Biotin
    • FITC
    • HRP
    • Alexa Fluor 488
    • Alexa Fluor 555
    • Alexa Fluor 594
    • Alexa Fluor 647
    • Alexa Fluor 680
    • Alexa Fluor 750
    • APC
    • AbBy Fluor® 350
    • AbBy Fluor® 488
    • AbBy Fluor® 555
    • AbBy Fluor® 594
    • AbBy Fluor® 647
    • AbBy Fluor® 680
    • AbBy Fluor® 750
    • Alexa Fluor 350
    • Alexa Fluor 405
    • Cy3
    • Cy5
    • Cy5.5
    • Cy7
    • PE
    • CF®405S
    • CF®488A
    • CF®568
    • CF®594
    • CF®640R
    • CF®647
    • CF®740
  • 抗体亚型
    • IgG
    • IgG1 kappa
    • IgG1
    • Ig Fraction
    • IgG2a kappa
    • kappa
    • IgG2a
    • IgG2b kappa
  • 蛋白类型
    • Recombinant Antibody
  • Format
    • Liquid
    • Lyophilized
  • Grade
    • KD Validated
    • KO Validated, KD Validated
  • Supplier
    • antibodies-online
    • Signalway
    • Biotium
    • NSJ Bioreagents
    • Acris
    • Abbexa
    • Abcepta
    • BioAcademia
    • Cohesion Biosciences
    • RayBiotech
    • Rockland
    • Boster Bio
    • ProteoGenix
    • Synaptic Systems
    • Agrisera
    • Assay Biotechnology Company, Inc.
    • Aviva Systems Biology
    • Biomatik
    • Cloud-Clone
    • Enogene Biotech
    • ProSci
    • USBio

Latest Publications for our Small Ubiquitin Related Modifier Protein 1 抗体

Saito, Souza, Costa, Meirelles, Gonçalves, Santos, Bressan, McComb, Costello, Whelan, Kobarg: "Human Regulatory Protein Ki-1/57 Is a Target of SUMOylation and Affects PML Nuclear Body Formation." in: Journal of proteome research, Vol. 16, Issue 9, pp. 3147-3157, (2018) (PubMed).

Greenlee, Alonso, Rahman, Meednu, Davis, Tabb, Cook, Miller: "The TOG protein Stu2/XMAP215 interacts covalently and noncovalently with SUMO." in: Cytoskeleton (Hoboken, N.J.), Vol. 75, Issue 7, pp. 290-306, (2018) (PubMed).

Kramarz, Mucha, Litwin, Barg-Wojas, Wysocki, Dziadkowiec: "DNA Damage Tolerance Pathway Choice Through Uls1 Modulation of Srs2 SUMOylation in Saccharomyces cerevisiae." in: Genetics, Vol. 206, Issue 1, pp. 513-525, (2017) (PubMed).

Qian, Bradford, Cooke, Lyons: "Grb7 and Hax1 may colocalize partially to mitochondria in EGF-treated SKBR3 cells and their interaction can affect Caspase3 cleavage of Hax1." in: Journal of molecular recognition : JMR, Vol. 29, Issue 7, pp. 318-33, (2017) (PubMed).

Meyer, Shah, Zhang, Rohrs, Rao: "Evidence for intermolecular interactions between the intracellular domains of the arabidopsis receptor-like kinase ACR4, its homologs and the Wox5 transcription factor." in: PLoS ONE, Vol. 10, Issue 3, pp. e0118861, (2016) (PubMed).

Sung, Lim, Yi, Chang, Yang, Lee, Huh: "Genome-wide bimolecular fluorescence complementation analysis of SUMO interactome in yeast." in: Genome research, Vol. 23, Issue 4, pp. 736-46, (2013) (PubMed).

Qin, Deng, Ekmekcioglu, Grimm: "Identification of unique sensitizing targets for anti-inflammatory CDDO-Me in metastatic melanoma by a large-scale synthetic lethal RNAi screening." in: Pigment cell & melanoma research, Vol. 26, Issue 1, pp. 97-112, (2012) (PubMed).

Namanja, Li, Su, Wong, Lu, Colson, Wu, Li, Chen: "Insights into high affinity small ubiquitin-like modifier (SUMO) recognition by SUMO-interacting motifs (SIMs) revealed by a combination of NMR and peptide array analysis." in: The Journal of biological chemistry, Vol. 287, Issue 5, pp. 3231-40, (2012) (PubMed).

Truong, Lee, Chen: "Small ubiquitin-like modifier (SUMO) modification of E1 Cys domain inhibits E1 Cys domain enzymatic activity." in: The Journal of biological chemistry, Vol. 287, Issue 19, pp. 15154-63, (2012) (PubMed).

Ramani, Tomasi, Yang, Ko, Lu: "Mechanism and significance of changes in glutamate-cysteine ligase expression during hepatic fibrogenesis." in: The Journal of biological chemistry, Vol. 287, Issue 43, pp. 36341-55, (2012) (PubMed).

Aliases for Small Ubiquitin Related Modifier Protein 1 抗体

small ubiquitin-like modifier 1 (Sumo1) 抗体
small ubiquitin-like modifier 1 (SUMO1) 抗体
small ubiquitin-like modifier 1 (sumo1) 抗体
small ubiquitin-like modifier 1 S homeolog (sumo1.S) 抗体
small ubiquitin-related protein 1 (sumo-1) 抗体
SMT3 suppressor of mif two 3 homolog 1 (S. cerevisiae) (SUMO1) 抗体
SMT3 suppressor of mif two 3 homolog 1 (yeast) (sumo1) 抗体
small ubiquitin-like modifier 1 L homeolog (sumo1.L) 抗体
ARABIDOPSIS THALIANA SMALL UBIQUITIN-LIKE MODIFIER 1 抗体
ATSUMO1 抗体
DAP1 抗体
dap1 抗体
F10M23.180 抗体
F10M23_180 抗体
GMP1 抗体
gmp1 抗体
hm:zeh0670 抗体
OFC10 抗体
ofc10 抗体
PIC1 抗体
pic1 抗体
pigSUMO1 抗体
SENP2 抗体
senp2 抗体
SENTRIN 抗体
SMALL UBIQUITIN-LIKE MODIFIER 1 抗体
small ubiquitin-like modifier 1 抗体
SMT3 抗体
smt3 抗体
SMT3C 抗体
smt3c 抗体
Smt3C 抗体
SMT3H3 抗体
SMTP3 抗体
SUM1 抗体
sumo-1 抗体
SUMO-1 抗体
SUMO1 抗体
sumo1 抗体
SUMO 1 抗体
UBL1 抗体
ubl1 抗体
Ubl1 抗体
wu:fb74c02 抗体
wu:fd12c02 抗体
xsumo-1 抗体
xsumo1 抗体
zgc:65934 抗体
zgc:85634 抗体
You are here: