电话:
+86 (0512) 65829739
传真:
+86 (010) 6788 5057
电子邮件:
orders@antibodies-online.cn

SRP72 抗体

(Signal Recognition Particle 72kDa (SRP72))
This gene encodes the 72 kDa subunit of the signal recognition particle (SRP), a ribonucleoprotein complex that mediates the targeting of secretory proteins to the endoplasmic reticulum (ER). The SRP complex consists of a 7S RNA and 6 protein subunits: SRP9, SRP14, SRP19, SRP54, SRP68, and SRP72, that are bound to the 7S RNA as monomers or heterodimers. SRP has at least 3 distinct functions that can be associated with the protein subunits: signal recognition, translational arrest, and ER membrane targeting by interaction with the docking protein. Mutations in this gene are associated with familial bone marrow failure. Alternatively spliced transcript variants encoding different isoforms have been found for this gene. [provided by RefSeq, Jun 2012].

35 results

SRP72 适用: 人 WB, IHC 宿主: 兔 Polyclonal unconjugated
产品编号 ABIN6134166
100 μL (More quantities available)
发货至: 中国
获取报价
 
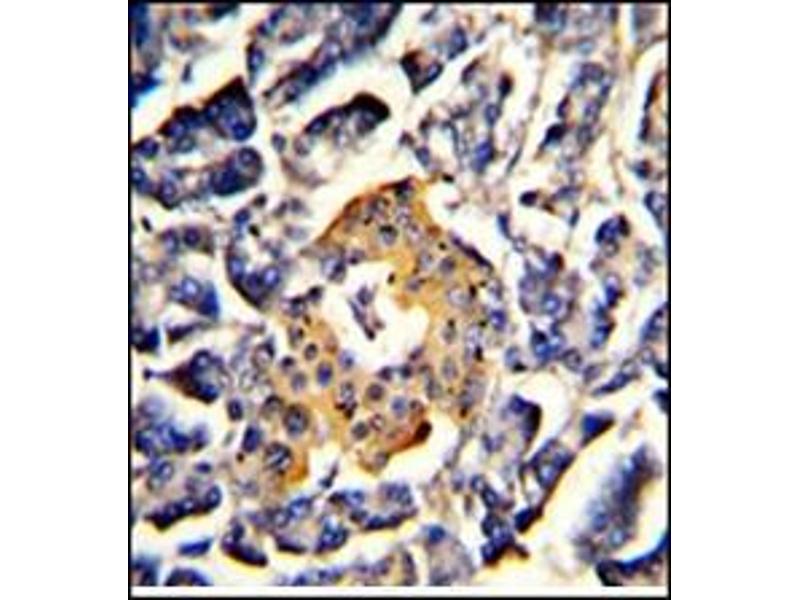
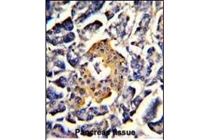
SRP72 适用: 人 WB, FACS, IF, IHC (p) 宿主: 兔 Polyclonal RB21267 unconjugated
产品编号 ABIN390903
400 μL (More quantities available)
发货至: 中国
获取报价
 
KD Validated SRP72 适用: 人 WB, FACS 宿主: 兔 Monoclonal 25GB4490 unconjugated Recombinant Antibody
产品编号 ABIN7800332
100 μL
发货至: 中国
获取报价
 
SRP72 适用: 人 WB, IHC, FACS, IF/ICC 宿主: 兔 Polyclonal unconjugated
产品编号 ABIN3002878
400 μL (More quantities available)
发货至: 中国
获取报价
 
SRP72 适用: 人 WB, FACS, IF, IHC (p), EIA 宿主: 兔 Polyclonal unconjugated
产品编号 ABIN453397
0.4 mL
发货至: 中国
获取报价
 
SRP72 适用: 人, 小鼠, 大鼠, Cow, 犬, 兔, 斑马鱼, 马, Pig, 小鸡, 非洲爪蟾, Bat, 豚鼠, 猴 WB 宿主: 兔 Polyclonal unconjugated
产品编号 ABIN6744362
100 μL
发货至: 中国
获取报价
 
SRP72 适用: 人, 小鼠, 大鼠, Cow, 犬, 斑马鱼, 小鸡, 非洲爪蟾 WB 宿主: 兔 Polyclonal unconjugated
产品编号 ABIN926943
100 μL
发货至: 中国
获取报价
 
SRP72 适用: Saccharomyces cerevisiae 宿主: 兔 Polyclonal FITC
产品编号 ABIN7179250
100 μg (More quantities available)
发货至: 中国
获取报价
 
SRP72 适用: Saccharomyces cerevisiae ELISA 宿主: 兔 Polyclonal HRP
产品编号 ABIN7179251
100 μg (More quantities available)
发货至: 中国
获取报价
 
SRP72 适用: Saccharomyces cerevisiae ELISA 宿主: 兔 Polyclonal unconjugated
产品编号 ABIN7179248
100 μg (More quantities available)
发货至: 中国
获取报价
 
SRP72 适用: Saccharomyces cerevisiae ELISA 宿主: 兔 Polyclonal Biotin
产品编号 ABIN7179249
100 μg (More quantities available)
发货至: 中国
获取报价
 
SRP72 适用: 人, 小鼠 WB 宿主: 兔 Polyclonal unconjugated
产品编号 ABIN7453212
100 μg (More quantities available)
发货至: 中国
获取报价
 
SRP72 适用: 人 WB, IHC, ELISA 宿主: 兔 Polyclonal unconjugated
产品编号 ABIN2572606
200 μL
发货至: 中国
获取报价
 
SRP72 适用: 人 WB, IHC, ELISA 宿主: 兔 Polyclonal APC
产品编号 ABIN1938186
200 μL
发货至: 中国
获取报价
 
SRP72 适用: 人 WB, IHC, ELISA 宿主: 兔 Polyclonal HRP
产品编号 ABIN1938190
200 μL
发货至: 中国
获取报价
 
SRP72 适用: 人 WB, IHC, ELISA 宿主: 兔 Polyclonal PE
产品编号 ABIN1938189
200 μL
发货至: 中国
获取报价
 
SRP72 适用: 人 WB, IHC, ELISA 宿主: 兔 Polyclonal Biotin
产品编号 ABIN1938187
200 μL
发货至: 中国
获取报价
 
SRP72 适用: 人 WB, IHC, ELISA 宿主: 兔 Polyclonal FITC
产品编号 ABIN1938188
200 μL
发货至: 中国
获取报价
 
SRP72 适用: 人, 小鼠, 大鼠, Cow, 犬, 兔, 斑马鱼, 马, Pig WB 宿主: 兔 Polyclonal unconjugated
产品编号 ABIN2792227
100 μL (More quantities available)
发货至: 中国
获取报价
 
SRP72 适用: 人, 小鼠, 大鼠 WB, IHC, ELISA, FACS, ICC, IF, IP 宿主: 兔 Polyclonal unconjugated
产品编号 ABIN7601648
 
  • 类型 Primary
    • Primary
  • 应用范围
    • Western Blotting (WB)
    • Immunohistochemistry (IHC)
    • ELISA
    • Immunocytochemistry (ICC)
    • Flow Cytometry (FACS)
    • Immunofluorescence (IF)
    • Immunohistochemistry (Paraffin-embedded Sections) (IHC (p))
    • Enzyme Immunoassay (EIA)
    • Immunoprecipitation (IP)
    • Immunofluorescence (fixed cells) (IF/ICC)
  • 适用
    • Human
    • Mouse
    • Fungus
    • Rat
    • Saccharomyces cerevisiae
    • Cow
    • Dog
    • Rabbit
    • Zebrafish (Danio rerio)
    • Chicken
    • Horse
    • Pig
    • Xenopus laevis
    • Bat
    • Guinea Pig
    • Monkey
  • 图像
  • 仅无防腐剂
  • Carrier free only
  • 抗体来源
    • Rabbit
  • 克隆形成能力
    • Polyclonal
    • Monoclonal
  • 克隆
    • 25GB4490
    • PT0811R
    • RB21267
  • 抗原表位
    • AA 1-180
    • AA 119-148
    • Middle Region
    • AA 126-156
    • AA 40-460
    • AA 539-588
    • AA 621-671
  • 标记
    • 非结合性
    • Biotin
    • FITC
    • HRP
    • APC
    • Alexa Fluor 350
    • Alexa Fluor 405
    • Alexa Fluor 488
    • Alexa Fluor 555
    • Alexa Fluor 594
    • Alexa Fluor 647
    • Alexa Fluor 680
    • Alexa Fluor 750
    • PE
  • 抗体亚型
    • IgG
    • Ig Fraction
    • kappa
  • 蛋白类型
    • Recombinant Antibody
  • Format
    • Liquid
    • Lyophilized
  • Grade
    • KD Validated
  • Supplier
    • antibodies-online
    • Signalway
    • Abbexa
    • Abcepta
    • Acris
    • Aviva Systems Biology
    • Biomatik
    • Boster Bio
    • Cohesion Biosciences

Latest Publications for our SRP72 抗体

Kirwan, Walne, Plagnol, Velangi, Ho, Hossain, Vulliamy, Dokal: "Exome sequencing identifies autosomal-dominant SRP72 mutations associated with familial aplasia and myelodysplasia." in: American journal of human genetics, Vol. 90, Issue 5, pp. 888-92, (2012) (PubMed).

Fernyhough, Gallagher, Averill, Priestley, Hounsom, Patel, Tomlinson: "Aberrant neurofilament phosphorylation in sensory neurons of rats with diabetic neuropathy." in: Diabetes, Vol. 48, Issue 4, pp. 881-9, (1999) (PubMed).

Kuijpers, Tonnaer, Peters, Ramaekers: "Expression of intermediate filament proteins in the mature inner ear of the rat and guinea pig." in: Hearing research, Vol. 52, Issue 1, pp. 133-46, (1991) (PubMed).

Aliases for SRP72 抗体

Signal recognition particle protein 72 (Srp72) 抗体
signal recognition particle 72 (SRP72) 抗体
signal recognition particle 72kDa (srp72) 抗体
signal recognition particle subunit Srp72 (predicted) (srp72) 抗体
part of the signal recognition particle (SRP) ribonucleoprotein (RNP) complex (SRP72) 抗体
type II secretory pathway family (SRP72) 抗体
signal recognition particle 72 (srp72) 抗体
signal recognition particle 72 (Srp72) 抗体
signal recognition particle 72kDa S homeolog (srp72.S) 抗体
72kDa 抗体
5730576P14Rik 抗体
AI132477 抗体
BC019196 抗体
BMFF 抗体
C77589 抗体
CG5434 抗体
Dmel\\CG5434 抗体
wu:fi03d11 抗体
You are here: