电话:
+86 (0512) 65829739
传真:
+86 (010) 6788 5057
电子邮件:
orders@antibodies-online.cn

小鼠 anti-人 IgA Secretory Component Antibody

FACS, IF, IHC (f) Monoclonal ECM1-792 IgG1 kappa unconjugated
产品编号 ABIN6155162
发货至: 中国
Contact our Customer Service for availability and price in your country. Contact Info

Our Local Distributor

中国
北京 101111
No. 88 KeChuang 6th Street
Beijing Economic Technological Development Area
Room 801-803
4A Biotech Co.,Ltd.
Tel +86 (0512) 65829739 传真 +86 (010) 6788 5057

Quick Overview for 小鼠 anti-人 IgA Secretory Component Antibody (ABIN6155162)

抗原

IgA Secretory Component

克隆类型

  • 8
  • 5
单克隆

应用范围

  • 7
  • 7
  • 7
  • 3
  • 3
  • 3
  • 2
  • 1
  • 1
  • 1
  • 1
  • 1
Flow Cytometry (FACS), Immunofluorescence (IF), Immunohistochemistry (Formalin-fixed Sections) (IHC (f))

克隆位点

ECM1-792

亚型

IgG1 kappa
  • 适用

    • 11
    • 7
    • 1
    • 1
    人, 大鼠

    宿主

    • 8
    • 5
    小鼠

    原理

    Mouse Monoclonal anti-IgA Secretory Component (ECM1/792), Purified, BSA-free

    产品特性

    This MAb reacts with a reduction-resistant epitope present in both free and SIgA bound Secretory Component. It does not react with the cell lines lacking secretory component. The antibody is useful for studying the distribution and level of both free and bound secretory component. Secretory component is differentially expressed in epithelium, and the antibody is a popular marker for identifying subpopulations of epithelial cells and epithelial differentiation. The Secretory component antibody is a useful research tool for studying mucosal immunity, inflammation, remodeling, differentiation and tumorigenesis, all processes associated with differential secretory component expression. Primary antibodies are available purified, or with a selection of fluorescent CF® dyes and other labels. CF® dyes offer exceptional brightness and photostability. Note: Conjugates of blue fluorescent dyes like CF®405S and CF®405M are not recommended for detecting low abundance targets, because blue dyes have lower fluorescence and can give higher non-specific background than other dye colors.

    纯化方法

    Purified

    免疫原

    Recombinant human ECM1 protein
  • 应用备注

    Immunohistology formalin-fixed 0.5-1 μg/mL
    • Staining of formalin-fixed tissues requires boiling tissue sections in 10 mM citrate buffer,  pH 6.0, for 10-20 min followed by cooling at RT for 20 minutes
    • Flow Cytometry 0.5-1 μg/million cells/0.1 mL
    • Immunofluorescence 1-2 μg/mL
    • Optimal dilution for a specific application should be determined by user

    说明

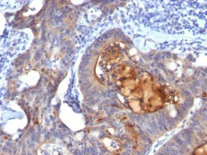
    Stomach, Lung, or breast tumor

    限制

    仅限研究用
  • 状态

    Liquid

    浓度

    1 mg/mL

    缓冲液

    PBS (no BSA, no azide)

    储存液

    Azide free
  • 抗原

    IgA Secretory Component

    背景

    ECM1, Extracellular Matrix Protein 1, Secretory Component p85, URBWD

    分子量

    ~80 kDa

    基因ID

    1893, 81071

    UniProt

    Q16610
You are here: