电话:
+86 (0512) 65829739
传真:
+86 (010) 6788 5057
电子邮件:
orders@antibodies-online.cn

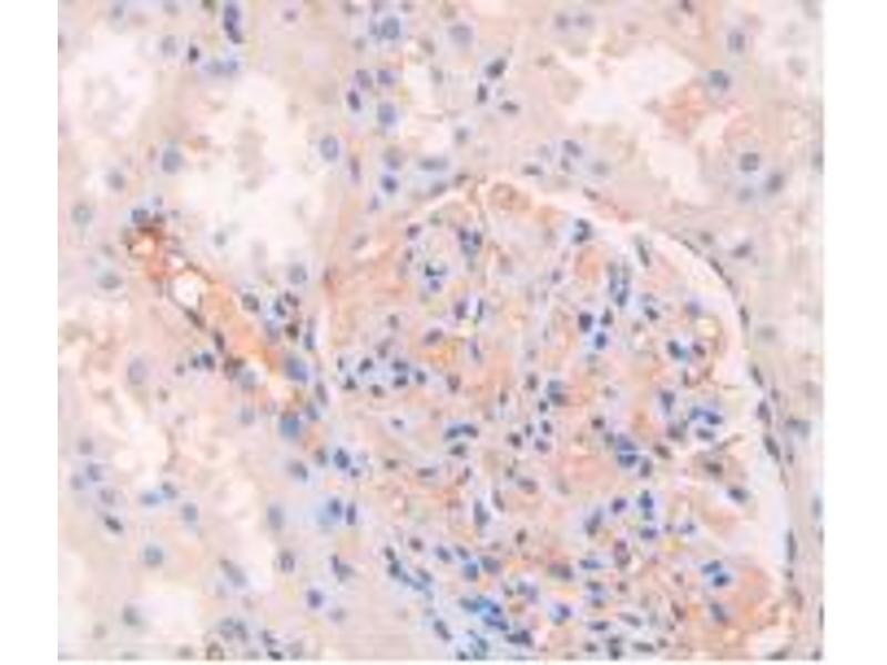
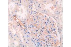
兔 anti-人 IgG4 (AA 222-327) Antibody

WB, IHC, IP, IF/ICC Polyclonal unconjugated
产品编号 ABIN2862700
发货至: 中国
Contact our Customer Service for availability and price in your country. Contact Info

Our Local Distributor

中国
北京 101111
No. 88 KeChuang 6th Street
Beijing Economic Technological Development Area
Room 801-803
4A Biotech Co.,Ltd.
Tel +86 (0512) 65829739 传真 +86 (010) 6788 5057

Quick Overview for 兔 anti-人 IgG4 (AA 222-327) Antibody (ABIN2862700)

抗原

IgG4

克隆类型

  • 67
  • 4
多克隆

应用范围

  • 57
  • 41
  • 39
  • 32
  • 31
  • 8
  • 3
  • 3
  • 3
  • 3
  • 1
  • 1
  • 1
  • 1
  • 1
Western Blotting (WB), Immunohistochemistry (IHC), Immunoprecipitation (IP), Immunofluorescence (fixed cells) (IF/ICC)
  • 抗原表位

    • 5
    • 2
    • 1
    • 1
    AA 222-327

    适用

    • 71
    • 2
    • 1
    • 1

    宿主

    • 48
    • 22
    • 1

    纯化方法

    Antigen-specific affinity chromatography followed by Protein A affinity chromatography

    免疫原

    IgG4 (Gln222-Lys327)
  • 应用备注

    Optimal working dilution should be determined by the investigator.

    限制

    仅限研究用
  • 状态

    Liquid

    浓度

    500 μg/mL

    缓冲液

    PBS,  pH 7.4, containing 0.02 % Sodium azide, 50 % glycerol.

    储存液

    Sodium azide

    注意事项

    This product contains Sodium azide: a POISONOUS AND HAZARDOUS SUBSTANCE which should be handled by trained staff only.

    储存条件

    4 °C,-20 °C

    储存方法

    Store at 4 °C for frequent use. Aliquot and store at -20 °C for one year. Avoid repeated freeze/thaw cycles.
  • 抗原

    IgG4

    别名

    Immunoglobulin G4

    物质类

    Antibody

    UniProt

    P01861
You are here: