电话:
+86 (0512) 65829739
传真:
+86 (010) 6788 5057
电子邮件:
orders@antibodies-online.cn

EWSR1 抗体

(Ewing Sarcoma Breakpoint Region 1 (EWSR1))
This gene encodes a multifunctional protein that is involved in various cellular processes, including gene expression, cell signaling, and RNA processing and transport. The protein includes an N-terminal transcriptional activation domain and a C-terminal RNA-binding domain. Chromosomal translocations between this gene and various genes encoding transcription factors result in the production of chimeric proteins that are involved in tumorigenesis. These chimeric proteins usually consist of the N-terminal transcriptional activation domain of this protein fused to the C-terminal DNA-binding domain of the transcription factor protein. Mutations in this gene, specifically a t(11\;22)(q24\;q12) translocation, are known to cause Ewing sarcoma as well as neuroectodermal and various other tumors. Alternative splicing of this gene results in multiple transcript variants. Related pseudogenes have been identified on chromosomes 1 and 14. [provided by RefSeq, Jul 2009].

95 results

Verified EWSR1 适用: 人 WB, ELISA, IHC 宿主: 山羊 Polyclonal unconjugated
产品编号 ABIN335135
100 μg
发货至: 中国
获取报价
 
EWSR1 适用: 人, 小鼠, 大鼠 WB, IHC, IF, ICC, FACS, IHC (fro) 宿主: 兔 Polyclonal unconjugated
产品编号 ABIN3043825
 
EWSR1 适用: 人 WB, ELISA, IHC (p) 宿主: 小鼠 Monoclonal 5C10 unconjugated
产品编号 ABIN560815
100 μg
发货至: 中国
获取报价
 
EWSR1 适用: 人, 小鼠, 大鼠, Cow, 犬, 马, 豚鼠, 兔 WB, IHC 宿主: 兔 Polyclonal unconjugated
产品编号 ABIN2779045
100 μL (More quantities available)
发货至: 中国
获取报价
 
EWSR1 适用: 人, 小鼠 WB, ELISA, IHC 宿主: 兔 Polyclonal unconjugated
产品编号 ABIN7247048
200 μL (More quantities available)
发货至: 中国
获取报价
 
EWSR1 适用: 人, 小鼠, 大鼠 WB, ELISA 宿主: 兔 Polyclonal unconjugated
产品编号 ABIN3184565
100 μL (More quantities available)
发货至: 中国
获取报价
 
EWSR1 适用: 人 WB, ELISA, IF 宿主: 小鼠 Monoclonal 3A9 unconjugated
产品编号 ABIN515424
100 μg
发货至: 中国
获取报价
 
KD Validated EWSR1 适用: 人 WB, FACS 宿主: 兔 Monoclonal 25GB2765 unconjugated Recombinant Antibody
产品编号 ABIN7798536
100 μL
发货至: 中国
获取报价
 
KD Validated EWSR1 适用: 人 WB, FACS 宿主: 兔 Monoclonal 25GB3500 unconjugated Recombinant Antibody
产品编号 ABIN7798537
100 μL
发货至: 中国
获取报价
 
EWSR1 适用: 人, 小鼠, 大鼠, Cow, 犬, 马, 豚鼠, 兔, 斑马鱼 WB, IHC 宿主: 兔 Polyclonal unconjugated
产品编号 ABIN2779046
100 μL (More quantities available)
发货至: 中国
获取报价
 
EWSR1 适用: 人, 小鼠 WB, IF 宿主: 兔 Polyclonal RB51591 unconjugated
产品编号 ABIN6242304
400 μL (More quantities available)
发货至: 中国
获取报价
 
EWSR1 适用: 人 WB, IF 宿主: 小鼠 Polyclonal unconjugated
产品编号 ABIN947840
50 μg
发货至: 中国
获取报价
 
EWSR1 适用: 人 ELISA, IHC 宿主: 兔 Polyclonal unconjugated
产品编号 ABIN7168365
100 μL (More quantities available)
发货至: 中国
获取报价
 
EWSR1 适用: 人 WB, ELISA, IHC, IHC (p) 宿主: 小鼠 Monoclonal 5C10 unconjugated
产品编号 ABIN790524
50 μg
发货至: 中国
获取报价
 
EWSR1 适用: 人, 小鼠, 大鼠 WB, ELISA, IF, ICC 宿主: 兔 Polyclonal unconjugated
产品编号 ABIN6257167
100 μL (More quantities available)
发货至: 中国
获取报价
 
EWSR1 适用: 人 WB, ELISA 宿主: 小鼠 Polyclonal unconjugated
产品编号 ABIN560814
50 μL
发货至: 中国
获取报价
 
EWSR1 适用: 人 WB, FACS 宿主: 兔 Monoclonal 24GB5385 unconjugated Recombinant Antibody
产品编号 ABIN7798535
100 μL
发货至: 中国
获取报价
 
EWSR1 适用: 人 WB, IF, FACS 宿主: 兔 Polyclonal RB23546 unconjugated
产品编号 ABIN652770
400 μL (More quantities available)
发货至: 中国
获取报价
 
EWSR1 适用: 小鼠 WB 宿主: 兔 Polyclonal RB51592 unconjugated
产品编号 ABIN6242305
400 μL (More quantities available)
发货至: 中国
获取报价
 
EWSR1 适用: 人, 小鼠, 大鼠 WB 宿主: 兔 Polyclonal unconjugated
产品编号 ABIN633586
100 μL
发货至: 中国
获取报价
 
  • 类型 Primary
    • Primary
  • 应用范围
    • Western Blotting (WB)
    • ELISA
    • Immunofluorescence (IF)
    • Immunohistochemistry (IHC)
    • Immunocytochemistry (ICC)
    • Flow Cytometry (FACS)
    • Immunohistochemistry (Paraffin-embedded Sections) (IHC (p))
    • Immunoprecipitation (IP)
    • Enzyme Immunoassay (EIA)
    • Immunochromatography (IC)
    • Immunofluorescence (Cultured Cells) (IF (cc))
    • Immunohistochemistry (Formalin-fixed Paraffin-embedded Sections) (IHC (fp))
    • Immunohistochemistry (Frozen Sections) (IHC (fro))
    • Proximity Ligation Assay (PLA)
  • 适用
    • Human
    • Mouse
    • Rat
    • Cow
    • Horse
    • Pig
    • Dog
    • Guinea Pig
    • Rabbit
    • Monkey
    • Zebrafish (Danio rerio)
    • Bat
    • Chicken
    • Xenopus laevis
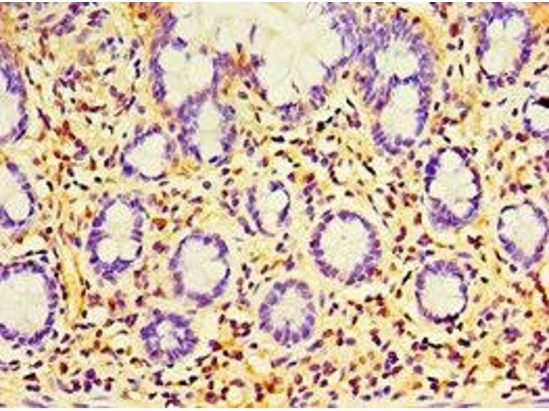
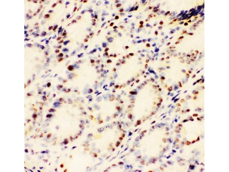
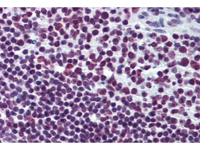
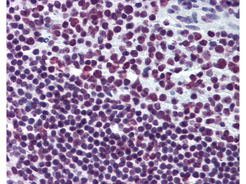
  • 图像
  • 仅无防腐剂
  • Carrier free only
  • 抗体来源
    • Rabbit
    • Mouse
    • Goat
    • Chicken
  • 克隆形成能力
    • Polyclonal
    • Monoclonal
  • 克隆
    • S09-3A7
    • 5H7
    • 5C10
    • 13B816
    • 21E99
    • 24GB5385
    • 25GB2765
    • 25GB3500
    • 3A9
    • 4B4
    • 4G8
    • R09-3A7
    • RB23546
    • RB51591
    • RB51592
  • 抗原表位
    • AA 628-656
    • C-Term
    • AA 623-652
    • Internal Region
    • Middle Region
    • AA 100-150
    • AA 358-453
    • N-Term
    • AA 1-50
    • AA 369-399
    • AA 639-674
    • AA 1-300
    • AA 1-656
    • AA 173-222
    • AA 213-217
    • AA 216-265
    • AA 328-362
    • AA 353-446
    • AA 358-454
    • AA 380-448
    • AA 380-460
    • AA 403-452
    • AA 406-455
    • AA 465-510
    • AA 600-656
    • Center
  • 标记
    • 非结合性
    • Biotin
    • Alexa Fluor 488
    • Alexa Fluor 555
    • Alexa Fluor 594
    • Alexa Fluor 647
    • Alexa Fluor 680
    • Alexa Fluor 750
    • APC
    • Alexa Fluor 350
    • Alexa Fluor 405
    • FITC
    • HRP
    • PE
  • 抗体亚型
    • IgG
    • Ig Fraction
    • IgG2b
    • IgG2b kappa
    • IgG1
    • IgG2a
    • IgG2a kappa
  • 蛋白类型
    • Recombinant Antibody
  • Format
    • Liquid
    • Lyophilized
  • Grade
    • KD Validated
    • Verified
  • Supplier
    • antibodies-online
    • Signalway
    • Aviva Systems Biology
    • Boster Bio
    • ProSci
    • USBio
    • Abcepta
    • Acris
    • Assay Biotechnology Company, Inc.
    • Cohesion Biosciences
    • EnCor Biotechnology
    • ProteoGenix

Latest Publications for our EWSR1 抗体

Sohn, Park, Kang, Wu: "Accumulation of pre-let-7g and downregulation of mature let-7g with the depletion of EWS." in: Biochemical and biophysical research communications, Vol. 426, Issue 1, pp. 89-93, (2012) (PubMed).

Toretsky, Erkizan, Levenson, Abaan, Parvin, Cripe, Rice, Lee, Uren: "Oncoprotein EWS-FLI1 activity is enhanced by RNA helicase A." in: Cancer research, Vol. 66, Issue 11, pp. 5574-81, (2006) (PubMed).

Davis, Kim, Ozsolak, Widlund, Rozenblatt-Rosen, Granter, Du, Fletcher, Denny, Lessnick, Linehan, Kung, Fisher: "Oncogenic MITF dysregulation in clear cell sarcoma: defining the MiT family of human cancers." in: Cancer cell, Vol. 9, Issue 6, pp. 473-84, (2006) (PubMed).

Aliases for EWSR1 抗体

EWS RNA binding protein 1 (EWSR1) 抗体
Ewing sarcoma breakpoint region 1 (Ewsr1) 抗体
EWS RNA-binding protein 1 (Ewsr1) 抗体
EWS RNA-binding protein 1a (ewsr1a) 抗体
EWS RNA binding protein 1 (ewsr1) 抗体
EWS RNA binding protein 1 (Ewsr1) 抗体
EWS RNA binding protein 1 L homeolog (ewsr1.L) 抗体
EWS RNA-binding protein 1b (ewsr1b) 抗体
AU018891 抗体
bK984G1.4 抗体
DKFZp459K1116 抗体
EWS 抗体
Ews 抗体
Ewsh 抗体
EWSR1 抗体
ewsr1 抗体
ewsr1.S 抗体
fb40b11 抗体
fc04c01 抗体
fusl 抗体
wu:fb40b11 抗体
wu:fb75g09 抗体
wu:fc04c01 抗体
zgc:55864 抗体
You are here: