电话:
+86 (0512) 65829739
传真:
+86 (010) 6788 5057
电子邮件:
orders@antibodies-online.cn

EPH Receptor B6 抗体

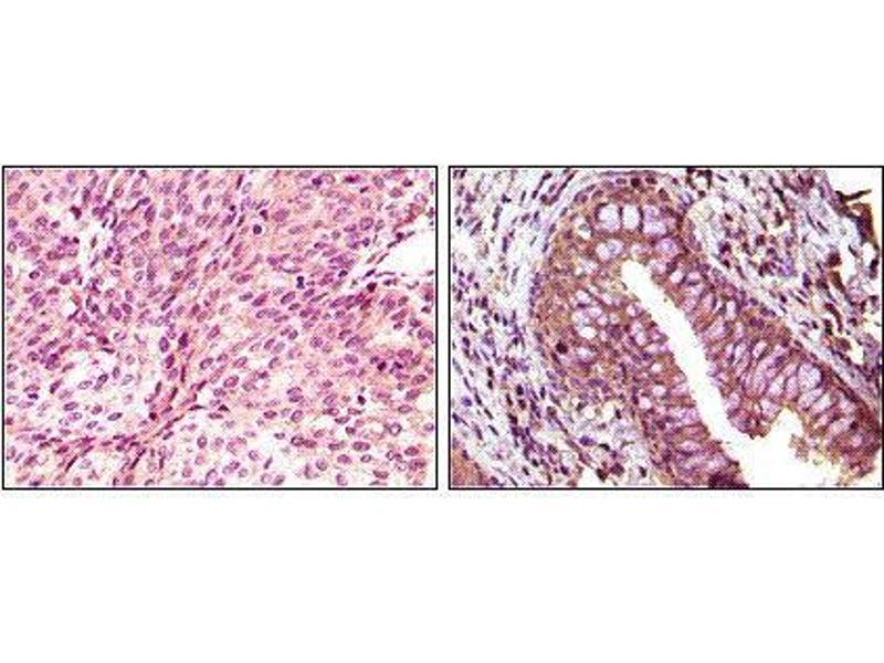
There are 2+ publications for this product available. The 小鼠 单克隆 anti-EPH Receptor B6 antibody is suitable to detect EPH Receptor B6 in samples from 人. It has been validated for WB, ELISA 和 IHC.
产品编号 ABIN969479
发货至: 中国
Contact our Customer Service for availability and price in your country. Contact Info

Our Local Distributor

中国
北京 101111
No. 88 KeChuang 6th Street
Beijing Economic Technological Development Area
Room 801-803
4A Biotech Co.,Ltd.
Tel +86 (0512) 65829739 传真 +86 (010) 6788 5057

Quick Overview for EPH Receptor B6 抗体 (ABIN969479)

抗原

See all EPH Receptor B6 (EPHB6) 抗体
EPH Receptor B6 (EPHB6)

适用

  • 81
  • 45
  • 20
  • 4
  • 3
  • 2
  • 1
  • 1
  • 1
  • 1

宿主

  • 75
  • 5
  • 1
  • 1
  • 1
小鼠

克隆类型

  • 76
  • 7
单克隆

标记

  • 39
  • 6
  • 6
  • 5
  • 4
  • 3
  • 1
  • 1
  • 1
  • 1
  • 1
  • 1
  • 1
  • 1
  • 1
  • 1
  • 1
  • 1
  • 1
  • 1
  • 1
  • 1
  • 1
  • 1
  • 1
  • 1
This EPH Receptor B6 antibody is un-conjugated

应用范围

  • 50
  • 38
  • 28
  • 15
  • 13
  • 12
  • 11
  • 8
  • 3
  • 2
  • 2
  • 1
  • 1
Western Blotting (WB), ELISA, Immunohistochemistry (IHC)

克隆位点

8E7H12
  • 原理

    EphB6 Antibody

    纯化方法

    Purified antibody

    免疫原

    Purified recombinant fragment of EphB6 expressed in E. Coli.

    亚型

    IgG1
  • 应用备注

    ELISA: 1/10000

    限制

    仅限研究用
  • 状态

    Liquid

    缓冲液

    Purified antibody in PBS containing 0.03 % sodium azide.

    储存液

    Sodium azide

    注意事项

    This product contains Sodium azide: a POISONOUS AND HAZARDOUS SUBSTANCE which should be handled by trained staff only.

    储存条件

    4 °C,-20 °C

    储存方法

    Store at 4°C short term. Aliquot and store at -20°C long term. Avoid freeze/thaw cycles.
  • Ogawa, Wada, Okada, Harada, Nakajima, Pasquale, Tsuyama: "EphB2 and ephrin-B1 expressed in the adult kidney regulate the cytoarchitecture of medullary tubule cells through Rho family GTPases." in: Journal of cell science, Vol. 119, Issue Pt 3, pp. 559-70, (2006) (PubMed).

    Matsuoka, Obama, Kelly, Matsui, Nakamoto: "Biphasic functions of the kinase-defective Ephb6 receptor in cell adhesion and migration." in: The Journal of biological chemistry, Vol. 280, Issue 32, pp. 29355-63, (2005) (PubMed).

  • 抗原

    EPH Receptor B6 (EPHB6)

    别名

    EphB6

    背景

    EPH receptor B6 (EphB6), with 1006-amino acid protein(~ 110 kDa), belongs to the ephrin receptor subfamily of the protein-tyrosine kinase family. Eph receptors and ephrin ligands are membrane-bound cell-cell communication molecules with well-defined functions in development. EphB6 is expressed both in a variety of embryonic and adult tissues. EphB6 is a unique member in the Eph family of receptor tyrosine kinases in that its kinase domain contains several alterations in conserved amino acids and is catalytically inactive. EphB6 can both positively and negatively regulate cell adhesion and migration and tyrosine phosphorylation of the receptor by an Src family kinase acts as the molecular switch for the functional transition.

    UniProt

    O15197

    途径

    RTK signaling, Hormone Transport
You are here: