电话:
+86 (0512) 65829739
传真:
+86 (010) 6788 5057
电子邮件:
orders@antibodies-online.cn

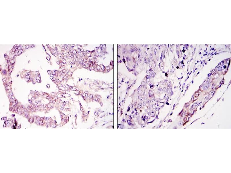
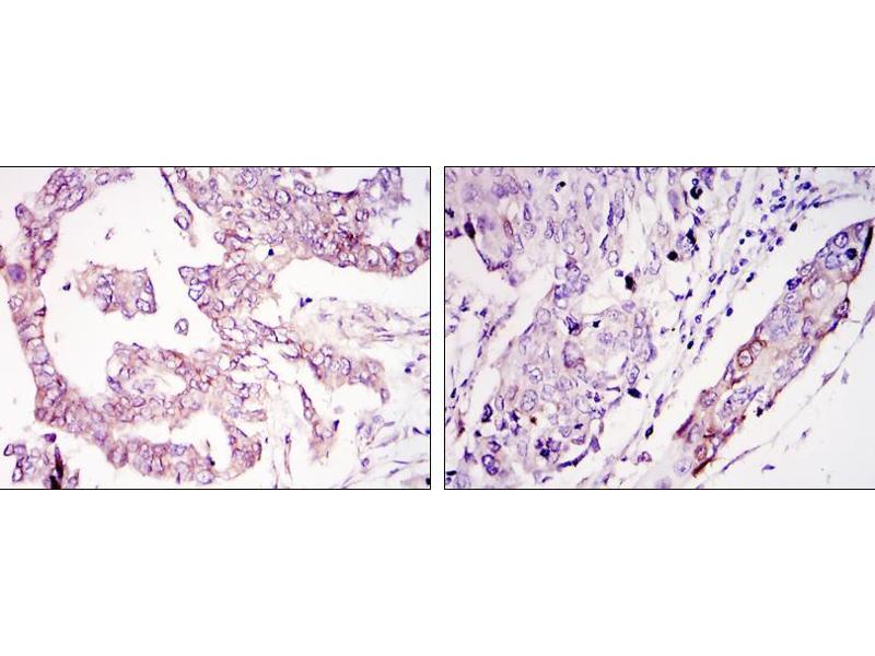
WIF1 抗体

This 小鼠 单克隆 antibody specifically detects WIF1 in WB, IHC, ELISA 和 ICC. It exhibits reactivity toward 人. It has been mentioned in 2+ publications
产品编号 ABIN969457
发货至: 中国
Contact our Customer Service for availability and price in your country. Contact Info

Our Local Distributor

中国
北京 101111
No. 88 KeChuang 6th Street
Beijing Economic Technological Development Area
Room 801-803
4A Biotech Co.,Ltd.
Tel +86 (0512) 65829739 传真 +86 (010) 6788 5057

Quick Overview for WIF1 抗体 (ABIN969457)

抗原

See all WIF1 抗体
WIF1 (WNT Inhibitory Factor 1 (WIF1))

适用

  • 70
  • 36
  • 30
  • 2
  • 2
  • 2
  • 2
  • 2
  • 1
  • 1

宿主

  • 82
  • 5
  • 1
小鼠

克隆类型

  • 74
  • 14
单克隆

标记

  • 33
  • 7
  • 6
  • 5
  • 3
  • 3
  • 3
  • 3
  • 3
  • 3
  • 3
  • 3
  • 1
  • 1
  • 1
  • 1
  • 1
  • 1
  • 1
  • 1
  • 1
  • 1
  • 1
  • 1
  • 1
This WIF1 antibody is un-conjugated

应用范围

  • 70
  • 31
  • 22
  • 13
  • 13
  • 13
  • 8
  • 4
  • 3
  • 3
  • 2
Western Blotting (WB), Immunohistochemistry (IHC), ELISA, Immunocytochemistry (ICC)

克隆位点

1G5
  • 原理

    WIF1 Antibody

    纯化方法

    Ascitic fluid

    免疫原

    Purified recombinant fragment of human WIF1 expressed in E. Coli.

    亚型

    IgG1
  • 应用备注

    ELISA: 1/10000

    ICC: 1/200 - 1/1000

    限制

    仅限研究用
  • 状态

    Liquid

    缓冲液

    Ascitic fluid containing 0.03 % sodium azide.

    储存液

    Sodium azide

    注意事项

    This product contains Sodium azide: a POISONOUS AND HAZARDOUS SUBSTANCE which should be handled by trained staff only.

    储存条件

    4 °C,-20 °C

    储存方法

    Store at 4°C short term. Aliquot and store at -20°C long term. Avoid freeze/thaw cycles.
  • Kawakami, Hirata, Yamamura, Kikuno, Saini, Majid, Tanaka, Kawamoto, Enokida, Nakagawa, Dahiya: "Functional significance of Wnt inhibitory factor-1 gene in kidney cancer." in: Cancer research, Vol. 69, Issue 22, pp. 8603-10, (2009) (PubMed).

    Veeck, Wild, Fuchs, Schüffler, Hartmann, Knüchel, Dahl: "Prognostic relevance of Wnt-inhibitory factor-1 (WIF1) and Dickkopf-3 (DKK3) promoter methylation in human breast cancer." in: BMC cancer, Vol. 9, pp. 217, (2009) (PubMed).

  • 抗原

    WIF1 (WNT Inhibitory Factor 1 (WIF1))

    别名

    WIF1

    背景

    The protein encoded by this gene functions to inhibit WNT proteins, which are extracellular signaling molecules that play a role in embryonic development. This protein contains a WNT inhibitory factor (WIF) domain and five epidermal growth factor (EGF)-like domains, and is thought to be involved in mesoderm segmentation. This gene functions as a tumor suppressor gene, and has been found to be epigenetically silenced in various cancers.

    分子量

    42 kDa

    基因ID

    11197

    UniProt

    Q9Y5W5

    途径

    WNT signaling, Positive Regulation of fat Cell Differentiation
You are here: