电话:
+86 (0512) 65829739
传真:
+86 (010) 6788 5057
电子邮件:
orders@antibodies-online.cn

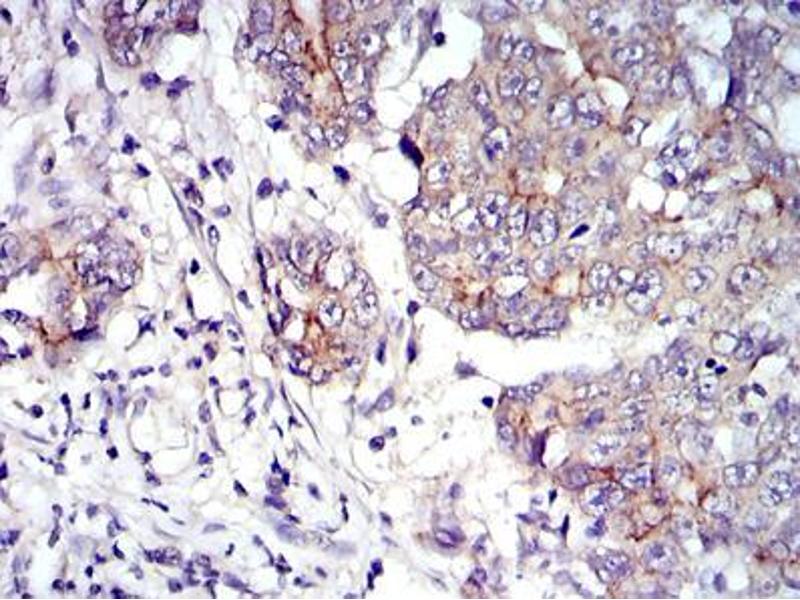
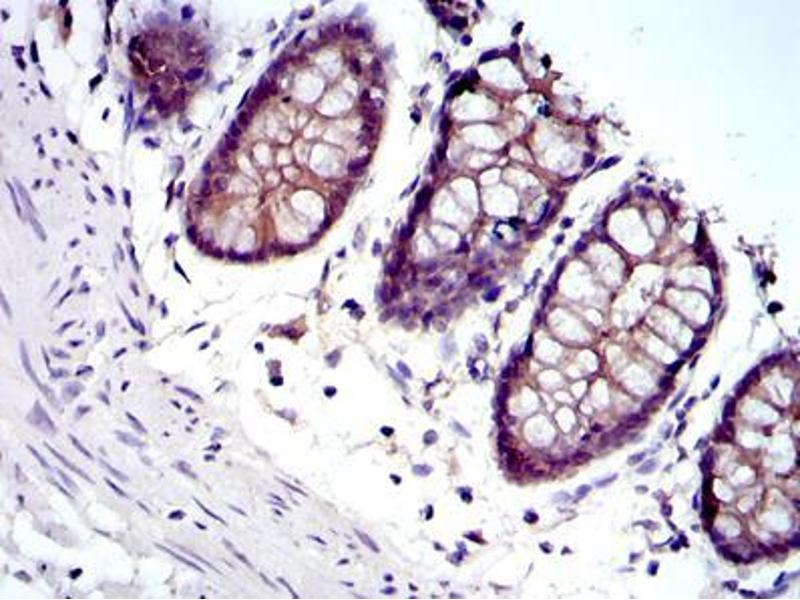
JUP 抗体

Cited in 1 publication. The 小鼠 单克隆 anti-JUP antibody (Clone 4C12) (ABIN969225) specifically detects JUP in WB, IHC, ELISA 和 ICC. The antibody is reactive with 人 samples.
产品编号 ABIN969225
发货至: 中国
Contact our Customer Service for availability and price in your country. Contact Info

Our Local Distributor

中国
北京 101111
No. 88 KeChuang 6th Street
Beijing Economic Technological Development Area
Room 801-803
4A Biotech Co.,Ltd.
Tel +86 (0512) 65829739 传真 +86 (010) 6788 5057

Quick Overview for JUP 抗体 (ABIN969225)

抗原

See all JUP 抗体
JUP (Junction Plakoglobin (JUP))

适用

  • 179
  • 82
  • 73
  • 34
  • 33
  • 26
  • 23
  • 4
  • 2
  • 1
  • 1
  • 1

宿主

  • 110
  • 69
  • 2
  • 1
小鼠

克隆类型

  • 100
  • 82
单克隆

标记

  • 74
  • 13
  • 6
  • 5
  • 5
  • 5
  • 5
  • 5
  • 5
  • 5
  • 4
  • 3
  • 3
  • 3
  • 3
  • 3
  • 3
  • 3
  • 3
  • 2
  • 2
  • 2
  • 2
  • 2
  • 2
  • 2
  • 2
  • 2
  • 2
  • 2
  • 1
  • 1
  • 1
  • 1
This JUP antibody is un-conjugated

应用范围

  • 122
  • 80
  • 60
  • 45
  • 32
  • 26
  • 26
  • 23
  • 23
  • 19
  • 10
  • 4
  • 2
  • 2
  • 1
  • 1
  • 1
Western Blotting (WB), Immunohistochemistry (IHC), ELISA, Immunocytochemistry (ICC)

克隆位点

4C12
  • 原理

    JUP Antibody

    纯化方法

    Ascitic fluid

    免疫原

    Purified recombinant fragment of human JUP expressed in E. Coli.

    亚型

    IgG1
  • 应用备注

    ELISA: 1/10000

    ICC: 1/200 - 1/1000

    限制

    仅限研究用
  • 状态

    Liquid

    缓冲液

    Ascitic fluid containing 0.03 % sodium azide.

    储存液

    Sodium azide

    注意事项

    This product contains Sodium azide: a POISONOUS AND HAZARDOUS SUBSTANCE which should be handled by trained staff only.

    储存条件

    4 °C,-20 °C

    储存方法

    Store at 4°C short term. Aliquot and store at -20°C long term. Avoid freeze/thaw cycles.
  • Shair, Schnegg, Raab-Traub: "Epstein-Barr virus latent membrane protein-1 effects on junctional plakoglobin and induction of a cadherin switch." in: Cancer research, Vol. 69, Issue 14, pp. 5734-42, (2009) (PubMed).

  • 抗原

    JUP (Junction Plakoglobin (JUP))

    别名

    JUP

    背景

    This gene encodes a major cytoplasmic protein which is the only known constituent common to submembranous plaques of both desmosomes and intermediate junctions. This protein forms distinct complexes with cadherins and desmosomal cadherins and is a member of the catenin family since it contains a distinct repeating amino acid motif called the armadillo repeat. Mutation in this gene has been associated with Naxos disease. Alternative splicing occurs in this gene, however, not all transcripts have been fully described.

    分子量

    82 kDa

    基因ID

    3728

    UniProt

    P14923

    途径

    Cell-Cell Junction Organization, Maintenance of Protein Location
You are here: