GRK2 抗体
Our Local Distributor
北京 101111
Quick Overview for GRK2 抗体 (ABIN969178)
抗原
See all GRK2 (ADRBK1) 抗体适用
宿主
克隆类型
标记
应用范围
克隆位点
-
-
原理
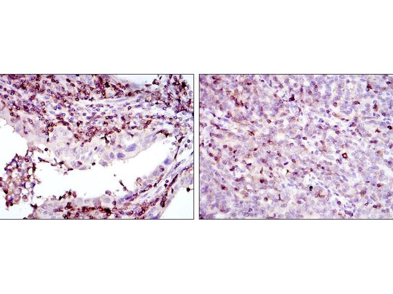
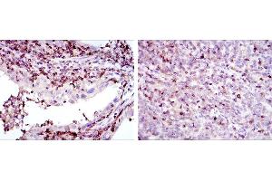
- GRK2 Antibody
-
纯化方法
- Ascitic fluid
-
免疫原
- Purified recombinant fragment of human GRK2 expressed in E. Coli.
-
亚型
- IgG1
-
-
-
-
应用备注
-
ELISA: 1/10000
ICC: 1/200 - 1/1000
-
限制
- 仅限研究用
-
-
-
状态
- Liquid
-
缓冲液
- Ascitic fluid containing 0.03 % sodium azide.
-
储存液
- Sodium azide
-
注意事项
- This product contains Sodium azide: a POISONOUS AND HAZARDOUS SUBSTANCE which should be handled by trained staff only.
-
储存条件
- 4 °C,-20 °C
-
储存方法
- Store at 4°C short term. Aliquot and store at -20°C long term. Avoid freeze/thaw cycles.
-
-
-
: "GRK2 activation by receptors: role of the kinase large lobe and carboxyl-terminal tail." in: Biochemistry, Vol. 48, Issue 20, pp. 4285-93, (2009) (PubMed).
: "EGF transregulates opioid receptors through EGFR-mediated GRK2 phosphorylation and activation." in: Molecular biology of the cell, Vol. 19, Issue 7, pp. 2973-83, (2008) (PubMed).
-
-
- GRK2 (ADRBK1) (Adrenergic, Beta, Receptor Kinase 1 (ADRBK1))
-
别名
- GRK2
-
背景
- The product of this gene phosphorylates the beta-2-adrenergic receptor and appears to mediate agonist-specific desensitization observed at high agonist concentrations. This protein is an ubiquitous cytosolic enzyme that specifically phosphorylates the activated form of the beta-adrenergic and related G-protein-coupled receptors. Abnormal coupling of beta-adrenergic receptor to G protein is involved in the pathogenesis of the failing heart. (provided by RefSeq)Tissue specificity: Expressed in peripheral blood leukocytes
-
分子量
- 80 kDa
-
基因ID
- 156
-
UniProt
- P25098
-
途径
- EGFR Signaling Pathway, Neurotrophin Signaling Pathway, Regulation of G-Protein Coupled Receptor Protein Signaling, CXCR4-mediated Signaling Events, G-protein mediated Events, Interaction of EGFR with phospholipase C-gamma, Thromboxane A2 Receptor Signaling
抗原
-