电话:
+86 (0512) 65829739
传真:
+86 (010) 6788 5057
电子邮件:
orders@antibodies-online.cn

Fibulin 5 抗体

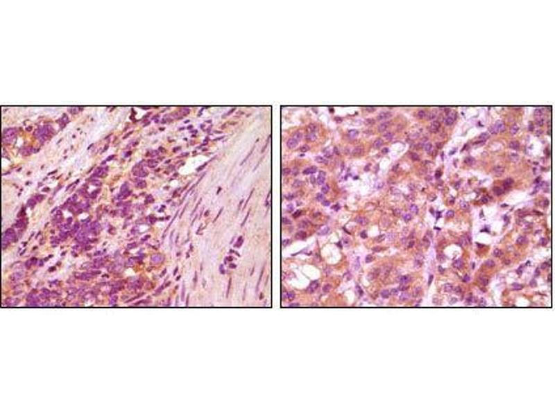
Cited in 4+ publications. The 小鼠 单克隆 anti-Fibulin 5 antibody (Clone 3F10A5) (ABIN969144) specifically detects Fibulin 5 in IHC 和 ELISA. The antibody is reactive with 人 samples.
产品编号 ABIN969144
发货至: 中国
Contact our Customer Service for availability and price in your country. Contact Info

Our Local Distributor

中国
北京 101111
No. 88 KeChuang 6th Street
Beijing Economic Technological Development Area
Room 801-803
4A Biotech Co.,Ltd.
Tel +86 (0512) 65829739 传真 +86 (010) 6788 5057

Quick Overview for Fibulin 5 抗体 (ABIN969144)

抗原

See all Fibulin 5 (FBLN5) 抗体
Fibulin 5 (FBLN5)

适用

  • 66
  • 37
  • 28
  • 1

宿主

  • 64
  • 8
  • 1
小鼠

克隆类型

  • 61
  • 14
单克隆

标记

  • 35
  • 7
  • 5
  • 3
  • 2
  • 2
  • 2
  • 2
  • 2
  • 2
  • 1
  • 1
  • 1
  • 1
  • 1
  • 1
  • 1
  • 1
  • 1
  • 1
  • 1
  • 1
  • 1
This Fibulin 5 antibody is un-conjugated

应用范围

  • 56
  • 27
  • 15
  • 7
  • 5
  • 4
  • 4
  • 1
  • 1
Immunohistochemistry (IHC), ELISA

克隆位点

3F10A5
  • 原理

    Fibulin 5 Antibody

    纯化方法

    Ascitic fluid

    免疫原

    Purified recombinant fragment of Fibulin 5 expressed in E. Coli.

    亚型

    IgG1
  • 应用备注

    ELISA: 1/10000

    限制

    仅限研究用
  • 状态

    Liquid

    缓冲液

    Ascitic fluid containing 0.03 % sodium azide.

    储存液

    Sodium azide

    注意事项

    This product contains Sodium azide: a POISONOUS AND HAZARDOUS SUBSTANCE which should be handled by trained staff only.

    储存条件

    4 °C,-20 °C

    储存方法

    Store at 4°C short term. Aliquot and store at -20°C long term. Avoid freeze/thaw cycles.
  • Wen, Hochholdinger, Sauer, Bruce, Schnable: "The roothairless1 gene of maize encodes a homolog of sec3, which is involved in polar exocytosis." in: Plant physiology, Vol. 138, Issue 3, pp. 1637-43, (2005) (PubMed).

    Kadoya, Sasaki, Kostka, Timpl, Matsuzaki, Kumagai, Sakai, Nishiyama, Amano: "Fibulin-5 deposition in human skin: decrease with ageing and ultraviolet B exposure and increase in solar elastosis." in: The British journal of dermatology, Vol. 153, Issue 3, pp. 607-12, (2005) (PubMed).

    Wang, LeMaire, Chen, Carter, Shen, Gan, Bartsch, Wilks, Utama, Ou, Thompson, Coselli, Wang: "Decreased expression of fibulin-5 correlates with reduced elastin in thoracic aortic dissection." in: Surgery, Vol. 138, Issue 2, pp. 352-9, (2005) (PubMed).

    Lee, Roy, Mogford, Schiemann, Mustoe: "Fibulin-5 promotes wound healing in vivo." in: Journal of the American College of Surgeons, Vol. 199, Issue 3, pp. 403-10, (2004) (PubMed).

  • 抗原

    Fibulin 5 (FBLN5)

    别名

    Fibulin 5

    背景

    Fibulin 5(FBLN5), with 448-amino acid protein (about 50 kDa), is a recently discovered multifunctional extracellular matrix protein that mediates endothelial cell adhesion through integrin ligation, regulates cell growth and motility in a context-specific manner, and prevents elastinopathy in vivo. Fibulin-5 is abundantly expressed in great vessels and cardiac valves during embryogenesis, and in many adult tissues including the aorta, lung, uterus and skin, all of which contain abundant elastic fibres. Decreased fibulin-5 may contribute to the pathogenesis of aortic dissection by impairing elastic fiber assembly. Fibulin-5 is also a good marker of skin ageing and that the earlier loss of fibulin-5 may involve age-dependent changes in other elastic fibre components.

    UniProt

    Q9UBX5

    途径

    SARS-CoV-2 Protein Interactome
You are here: