电话:
+86 (0512) 65829739
传真:
+86 (010) 6788 5057
电子邮件:
orders@antibodies-online.cn

CRTC3 抗体

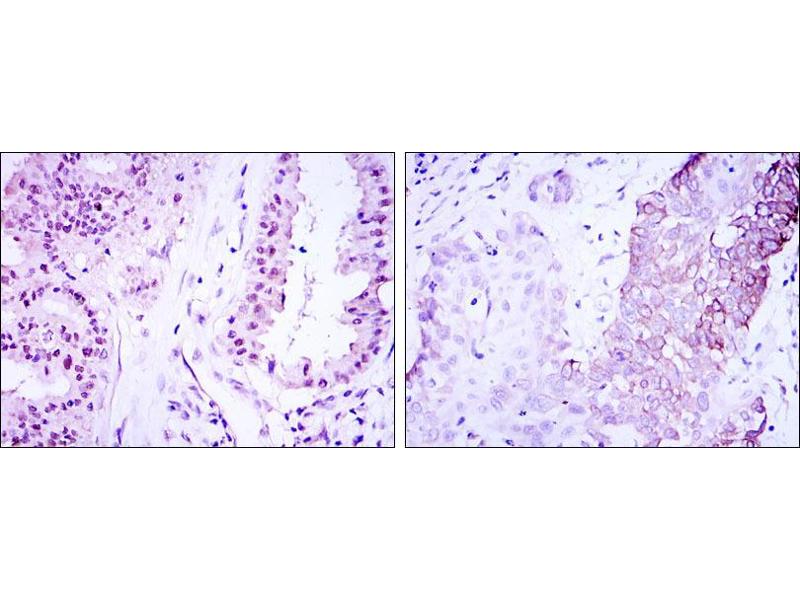
There are 2+ publications for this product available. The 小鼠 单克隆 anti-CRTC3 antibody is suitable to detect CRTC3 in samples from 人 和 猴. It has been validated for WB, IHC, ICC 和 ELISA.
产品编号 ABIN969068
发货至: 中国
Contact our Customer Service for availability and price in your country. Contact Info

Our Local Distributor

中国
北京 101111
No. 88 KeChuang 6th Street
Beijing Economic Technological Development Area
Room 801-803
4A Biotech Co.,Ltd.
Tel +86 (0512) 65829739 传真 +86 (010) 6788 5057

Quick Overview for CRTC3 抗体 (ABIN969068)

抗原

See all CRTC3 抗体
CRTC3 (CREB Regulated Transcription Coactivator 3 (CRTC3))

适用

  • 46
  • 16
  • 14
  • 2
  • 1
  • 1
  • 1
  • 1
人, 猴

宿主

  • 44
  • 2
小鼠

克隆类型

  • 29
  • 17
单克隆

标记

  • 20
  • 3
  • 2
  • 2
  • 1
  • 1
  • 1
  • 1
  • 1
  • 1
  • 1
  • 1
  • 1
  • 1
  • 1
  • 1
  • 1
  • 1
  • 1
  • 1
  • 1
  • 1
  • 1
This CRTC3 antibody is un-conjugated

应用范围

  • 38
  • 21
  • 16
  • 15
  • 13
  • 13
  • 13
  • 6
  • 4
  • 3
  • 2
  • 1
Western Blotting (WB), Immunohistochemistry (IHC), Immunocytochemistry (ICC), ELISA

克隆位点

5G9
  • 原理

    CRTC3 Antibody

    纯化方法

    Ascitic fluid

    免疫原

    Purified recombinant fragment of human CRTC3 expressed in E. Coli.

    亚型

    IgG1
  • 应用备注

    ELISA: 1/10000

    ICC: 1/200 - 1/1000

    限制

    仅限研究用
  • 状态

    Liquid

    缓冲液

    Ascitic fluid containing 0.03 % sodium azide.

    储存液

    Sodium azide

    注意事项

    This product contains Sodium azide: a POISONOUS AND HAZARDOUS SUBSTANCE which should be handled by trained staff only.

    储存条件

    4 °C,-20 °C

    储存方法

    Store at 4°C short term. Aliquot and store at -20°C long term. Avoid freeze/thaw cycles.
  • Nakayama, Miyabe, Okabe, Sakuma, Ijichi, Hasegawa, Nagatsuka, Shimozato, Inagaki: "Clinicopathological significance of the CRTC3-MAML2 fusion transcript in mucoepidermoid carcinoma." in: Modern pathology : an official journal of the United States and Canadian Academy of Pathology, Inc, Vol. 22, Issue 12, pp. 1575-81, (2009) (PubMed).

    Fehr, Röser, Heidorn, Hallas, Löning, Bullerdiek: "A new type of MAML2 fusion in mucoepidermoid carcinoma." in: Genes, chromosomes & cancer, Vol. 47, Issue 3, pp. 203-6, (2008) (PubMed).

  • 抗原

    CRTC3 (CREB Regulated Transcription Coactivator 3 (CRTC3))

    别名

    CRTC3

    背景

    Transcriptional coactivator for CREB1 which activates transcription through both consensus and variant cAMP response element (CRE) sites. Acts as a coactivator, in the SIK/TORC signaling pathway, being active when dephosphorylated and acts independently of CREB1 'Ser-133' phosphorylation. Enhances the interaction of CREB1 with TAF4. Regulates the expression of specific CREB-activated genes such as the steroidogenic gene, StAR. Potent coactivator of PPARGC1A and inducer of mitochondrial biogenesis in muscle cells. Also coactivator for TAX activation of the human T-cell leukemia virus type 1 (HTLV-1) long terminal repeats (LTR) .Tissue specificity: Predominantly expressed in B and T lymphocytes. Highest levels in lung. Also expressed in brain, colon, heart, kidney, ovary, and prostate. Weak expression in liver, pancreas, muscle, small intestine, spleen and stomach.

    分子量

    68 kDa

    基因ID

    64784

    UniProt

    Q6UUV7

    途径

    SARS-CoV-2 Protein Interactome, The Global Phosphorylation Landscape of SARS-CoV-2 Infection
You are here: