电话:
+86 (0512) 65829739
传真:
+86 (010) 6788 5057
电子邮件:
orders@antibodies-online.cn

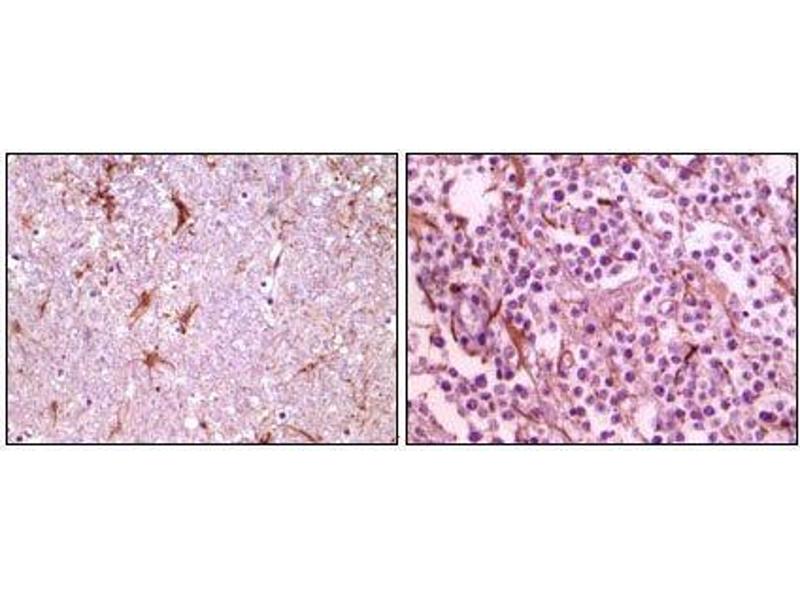
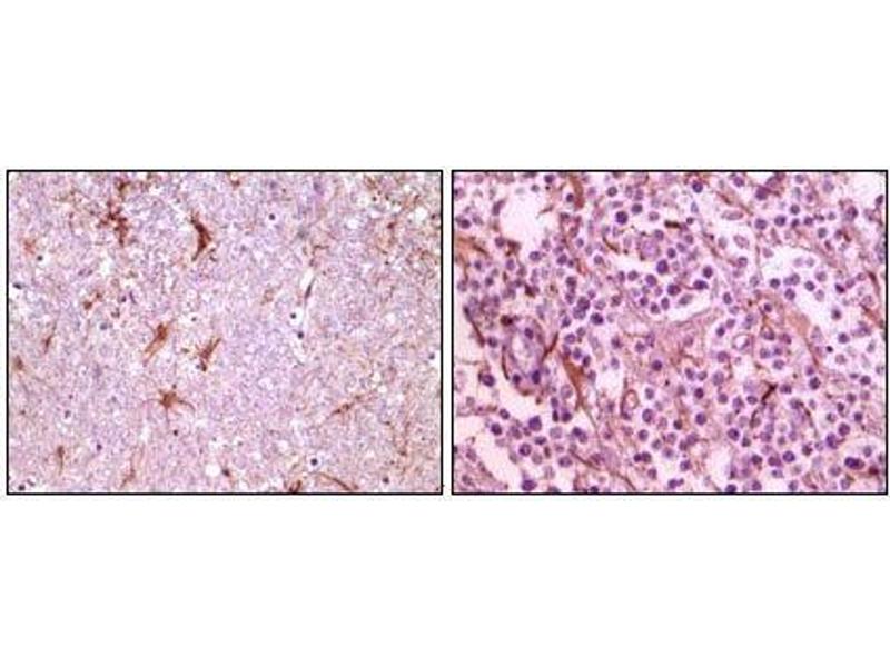
CIB1 抗体

Cited in 2+ publications. The 小鼠 单克隆 anti-CIB1 antibody (Clone 5A1F5E12) (ABIN969057) specifically detects CIB1 in WB, ELISA 和 IHC. The antibody is reactive with 人 samples.
产品编号 ABIN969057
发货至: 中国
Contact our Customer Service for availability and price in your country. Contact Info

Our Local Distributor

中国
北京 101111
No. 88 KeChuang 6th Street
Beijing Economic Technological Development Area
Room 801-803
4A Biotech Co.,Ltd.
Tel +86 (0512) 65829739 传真 +86 (010) 6788 5057

Quick Overview for CIB1 抗体 (ABIN969057)

抗原

See all CIB1 抗体
CIB1 (Calcium and Integrin-Binding Protein 1 (CIB1))

适用

  • 59
  • 16
  • 15
  • 1
  • 1
  • 1
  • 1
  • 1
  • 1

宿主

  • 49
  • 8
  • 3
小鼠

克隆类型

  • 54
  • 6
单克隆

标记

  • 29
  • 4
  • 3
  • 2
  • 2
  • 2
  • 1
  • 1
  • 1
  • 1
  • 1
  • 1
  • 1
  • 1
  • 1
  • 1
  • 1
  • 1
  • 1
  • 1
  • 1
  • 1
  • 1
  • 1
This CIB1 antibody is un-conjugated

应用范围

  • 30
  • 19
  • 13
  • 13
  • 11
  • 6
  • 6
  • 6
  • 4
  • 3
  • 3
  • 3
  • 2
Western Blotting (WB), ELISA, Immunohistochemistry (IHC)

克隆位点

5A1F5E12
  • 原理

    CIB1 Antibody

    纯化方法

    Ascitic fluid

    免疫原

    Purified recombinant fragment of CIB1 expressed in E. Coli.

    亚型

    IgG1
  • 应用备注

    ELISA: 1/10000

    限制

    仅限研究用
  • 状态

    Liquid

    缓冲液

    Ascitic fluid containing 0.03 % sodium azide.

    储存液

    Sodium azide

    注意事项

    This product contains Sodium azide: a POISONOUS AND HAZARDOUS SUBSTANCE which should be handled by trained staff only.

    储存条件

    4 °C,-20 °C

    储存方法

    Store at 4°C short term. Aliquot and store at -20°C long term. Avoid freeze/thaw cycles.
  • White, Yang, Monteiro, Foskett: "CIB1, a ubiquitously expressed Ca2+-binding protein ligand of the InsP3 receptor Ca2+ release channel." in: The Journal of biological chemistry, Vol. 281, Issue 30, pp. 20825-33, (2006) (PubMed).

    Gentry, Singer, Betts, Yang, Ferrara, Sondek, Parise: "Structural and biochemical characterization of CIB1 delineates a new family of EF-hand-containing proteins." in: The Journal of biological chemistry, Vol. 280, Issue 9, pp. 8407-15, (2005) (PubMed).

  • 抗原

    CIB1 (Calcium and Integrin-Binding Protein 1 (CIB1))

    别名

    CIB1

    背景

    CIB1(also designated calcium and integrin binding 1 or calmyrin),with 191-amino acid protein(about 21 kDa), belongs to the calcium-binding protein family.CIB1 is known to interact with DNA-dependent protein kinase and may play a role in kinase-phosphatase regulation of DNA end joining.CIB1 is an EF-hand-containing protein that binds multiple effector proteins, including the platelet alpha(IIb)beta(3) integrin and several serine/threonine kinases and potentially modulates their function.CIB1 regulates platelet aggregation in hemostasis through a specific interaction with the alpha(IIb) cytoplasmic domain of platelet integrin alpha(IIb)beta(3). CIB1 is also ubiquitously expressed activating and inhibiting protein ligand of the InsP3R.

    UniProt

    Q99828
You are here: