电话:
+86 (0512) 65829739
传真:
+86 (010) 6788 5057
电子邮件:
orders@antibodies-online.cn

CIB1 抗体

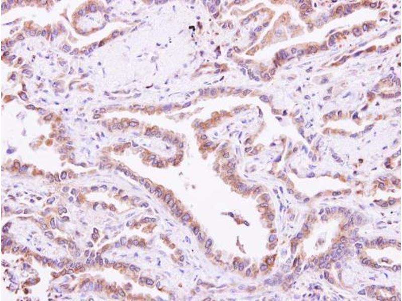
The 兔 多克隆 anti-CIB1 antibody is suitable to detect CIB1 in samples from 人. It has been validated for WB 和 IHC (p).
产品编号 ABIN2854877
发货至: 中国
Contact our Customer Service for availability and price in your country. Contact Info

Our Local Distributor

中国
北京 101111
No. 88 KeChuang 6th Street
Beijing Economic Technological Development Area
Room 801-803
4A Biotech Co.,Ltd.
Tel +86 (0512) 65829739 传真 +86 (010) 6788 5057

Quick Overview for CIB1 抗体 (ABIN2854877)

抗原

See all CIB1 抗体
CIB1 (Calcium and Integrin-Binding Protein 1 (CIB1))

适用

  • 59
  • 16
  • 15
  • 1
  • 1
  • 1
  • 1
  • 1
  • 1

宿主

  • 48
  • 9
  • 3

克隆类型

  • 53
  • 7
多克隆

标记

  • 29
  • 4
  • 3
  • 2
  • 2
  • 2
  • 1
  • 1
  • 1
  • 1
  • 1
  • 1
  • 1
  • 1
  • 1
  • 1
  • 1
  • 1
  • 1
  • 1
  • 1
  • 1
  • 1
  • 1
This CIB1 antibody is un-conjugated

应用范围

  • 30
  • 20
  • 13
  • 13
  • 12
  • 6
  • 6
  • 5
  • 4
  • 3
  • 3
  • 3
  • 2
Western Blotting (WB), Immunohistochemistry (Paraffin-embedded Sections) (IHC (p))
  • 交叉反应

    产品特性

    Rabbit Polyclonal antibody to CIB1 (calcium and integrin binding 1 (calmyrin))
    CIB1 antibody

    纯化方法

    Purified by antigen-affinity chromatography.

    免疫原

    Recombinant protein encompassing a sequence within the center region of human CIB1. The exact sequence is proprietary.

    亚型

    IgG
  • 应用备注

    WB: 1:500-1:3000. IHC-P: 1:100-1:1000. Optimal dilutions/concentrations should be determined by the researcher. Not tested in other applications.

    说明

    Positive Control: A431

    限制

    仅限研究用
  • 状态

    Liquid

    浓度

    1 mg/mL

    缓冲液

    1XPBS ( pH 7), 20 % Glycerol, 0.01 % Thimerosal

    储存液

    Thimerosal (Merthiolate)

    注意事项

    This product contains Thimerosal (Merthiolate): a POISONOUS AND HAZARDOUS SUBSTANCE which should be handled by trained staff only.

    储存条件

    4 °C,-20 °C

    储存方法

    Store as concentrated solution. Centrifuge briefly prior to opening vial. For short-term storage (1-2 weeks), store at 4°C. For long-term storage, aliquot and store at -20°C or below. Avoid multiple freeze-thaw cycles.
  • 抗原

    CIB1 (Calcium and Integrin-Binding Protein 1 (CIB1))

    别名

    calcium and integrin binding 1

    背景

    The protein encoded by this gene is a member of the calcium-binding protein family. The specific function of this protein has not yet been determined, however this protein is known to interact with DNA-dependent protein kinase and may play a role in kinase-phosphatase regulation of DNA end joining. This protein also interacts with integrin alpha(IIb)beta(3), which may implicate this protein as a regulatory molecule for alpha(IIb)beta(3).

    Cellular Localization: Membrane

    分子量

    22 kDa

    基因ID

    10519

    UniProt

    Q99828
You are here: