电话:
+86 (0512) 65829739
传真:
+86 (010) 6788 5057
电子邮件:
orders@antibodies-online.cn

CEA 抗体

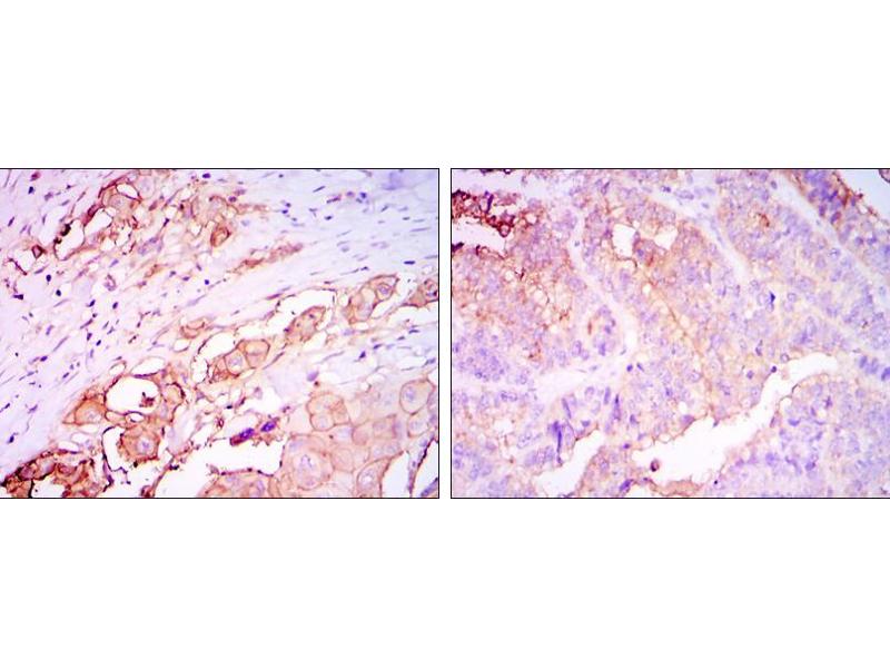
There are 2+ publications for this product available. The 小鼠 单克隆 anti-CEA antibody is suitable to detect CEA in samples from 人. It has been validated for IHC 和 ELISA.
产品编号 ABIN969047
发货至: 中国
Contact our Customer Service for availability and price in your country. Contact Info

Our Local Distributor

中国
北京 101111
No. 88 KeChuang 6th Street
Beijing Economic Technological Development Area
Room 801-803
4A Biotech Co.,Ltd.
Tel +86 (0512) 65829739 传真 +86 (010) 6788 5057

Quick Overview for CEA 抗体 (ABIN969047)

抗原

See all CEA 抗体
CEA (Carcinoembryonic Antigen Gene Family (CEA))

适用

  • 171
  • 11
  • 4
  • 3
  • 1

宿主

  • 106
  • 75
  • 2
  • 1
  • 1
  • 1
小鼠

克隆类型

  • 137
  • 44
  • 4
单克隆

标记

  • 70
  • 18
  • 9
  • 6
  • 5
  • 5
  • 5
  • 3
  • 3
  • 3
  • 3
  • 3
  • 3
  • 3
  • 3
  • 3
  • 3
  • 3
  • 3
  • 2
  • 2
  • 2
  • 2
  • 2
  • 2
  • 2
  • 2
  • 2
  • 2
  • 2
  • 2
  • 2
  • 1
  • 1
  • 1
  • 1
  • 1
  • 1
This CEA antibody is un-conjugated

应用范围

  • 84
  • 66
  • 41
  • 31
  • 30
  • 28
  • 27
  • 24
  • 23
  • 16
  • 13
  • 9
  • 5
  • 4
  • 3
  • 2
  • 2
  • 2
  • 2
  • 1
  • 1
  • 1
  • 1
  • 1
Immunohistochemistry (IHC), ELISA

克隆位点

1C7
  • 原理

    CEA Antibody

    纯化方法

    Ascitic fluid

    免疫原

    Purified recombinant fragment of human CEA expressed in E. Coli.

    亚型

    IgG1
  • 应用备注

    ELISA: 1/10000

    限制

    仅限研究用
  • 状态

    Liquid

    缓冲液

    Ascitic fluid containing 0.03 % sodium azide.

    储存液

    Sodium azide

    注意事项

    This product contains Sodium azide: a POISONOUS AND HAZARDOUS SUBSTANCE which should be handled by trained staff only.

    储存条件

    4 °C,-20 °C

    储存方法

    Store at 4°C short term. Aliquot and store at -20°C long term. Avoid freeze/thaw cycles.
  • Bjerner, Høgetveit, Wold Akselberg, Vangsnes, Paus, Bjøro, Børmer, Nustad: "Reference intervals for carcinoembryonic antigen (CEA), CA125, MUC1, Alfa-foeto-protein (AFP), neuron-specific enolase (NSE) and CA19.9 from the NORIP study." in: Scandinavian journal of clinical and laboratory investigation, Vol. 68, Issue 8, pp. 703-13, (2008) (PubMed).

    Huang, Wang, Yang, Yin, Geng, Li: "[Clinical value of combined determination of serum and pleural effusion level of CEA,CYFRA21-1, TPS in the diagnosis of lung cancer]." in: Xi bao yu fen zi mian yi xue za zhi = Chinese journal of cellular and molecular immunology, Vol. 24, Issue 4, pp. 370-2, (2008) (PubMed).

  • 抗原

    CEA (Carcinoembryonic Antigen Gene Family (CEA))

    别名

    CEA

    背景

    Carcino Embryonic Antigen (CEA) is synthesised during development in the fetal gut, and is re-expressed in increased amounts in intestinal carcinomas and several other tumors. Antibodies to CEA are useful in identifying the origin of various metastatic adenocarcinomas and in distinguishing pulmonary adenocarcinomas (60 to 70 % are CEA+) from pleural mesotheliomas (rarely or weakly CEA+).The carcinoembryonic antigen (CEA) is a member of a large family of glycoproteins and a useful tumor marker for adenocarcinoma.Tissue specificity: Found in adenocarcinomas of endodermally derived digestive system epithelium and fetal colon.

    分子量

    77 kDa

    UniProt

    P06731
You are here: