电话:
+86 (0512) 65829739
传真:
+86 (010) 6788 5057
电子邮件:
orders@antibodies-online.cn

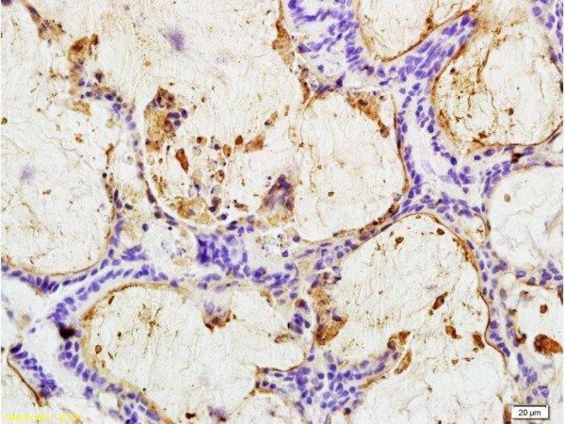
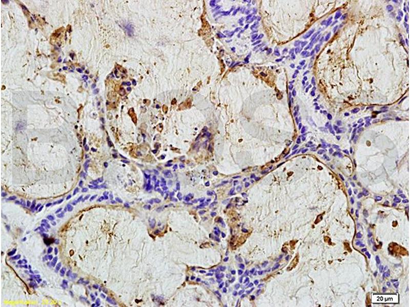
CEA 抗体

Cited in 8+ publications. The 小鼠 单克隆 anti-CEA antibody (Clone B5) (ABIN722946) specifically detects CEA in WB, ELISA, IHC (p) 和 IF (p). The antibody is reactive with 人 samples.
产品编号 ABIN722946
发货至: 中国
Contact our Customer Service for availability and price in your country. Contact Info

Our Local Distributor

中国
北京 101111
No. 88 KeChuang 6th Street
Beijing Economic Technological Development Area
Room 801-803
4A Biotech Co.,Ltd.
Tel +86 (0512) 65829739 传真 +86 (010) 6788 5057

Quick Overview for CEA 抗体 (ABIN722946)

抗原

See all CEA 抗体
CEA (Carcinoembryonic Antigen Gene Family (CEA))

适用

  • 176
  • 11
  • 4
  • 3
  • 1

宿主

  • 110
  • 76
  • 2
  • 1
  • 1
  • 1
小鼠

克隆类型

  • 142
  • 44
  • 4
单克隆

标记

  • 75
  • 18
  • 9
  • 6
  • 5
  • 5
  • 5
  • 3
  • 3
  • 3
  • 3
  • 3
  • 3
  • 3
  • 3
  • 3
  • 3
  • 3
  • 3
  • 2
  • 2
  • 2
  • 2
  • 2
  • 2
  • 2
  • 2
  • 2
  • 2
  • 2
  • 2
  • 2
  • 1
  • 1
  • 1
  • 1
  • 1
  • 1
This CEA antibody is un-conjugated

应用范围

  • 88
  • 67
  • 43
  • 31
  • 30
  • 28
  • 26
  • 23
  • 23
  • 16
  • 13
  • 9
  • 5
  • 4
  • 4
  • 3
  • 2
  • 2
  • 2
  • 1
  • 1
  • 1
  • 1
  • 1
Western Blotting (WB), ELISA, Immunohistochemistry (Paraffin-embedded Sections) (IHC (p)), Immunofluorescence (Paraffin-embedded Sections) (IF (p))

克隆位点

B5
  • 交叉反应

    纯化方法

    Purified by Protein G.

    免疫原

    Human Carcinoembryonic Antigen

    亚型

    IgG
  • 应用备注

    WB 1:300-5000
    ELISA 1:500-1000
    IHC-P 1:200-400
    IF(IHC-P) 1:50-200

    限制

    仅限研究用
  • 状态

    Liquid

    浓度

    1 μg/μL

    缓冲液

    0.01M TBS( pH 7.4) with 1 % BSA, 0.02 % Proclin300

    储存液

    ProClin

    注意事项

    This product contains ProClin: a POISONOUS AND HAZARDOUS SUBSTANCE, which should be handled by trained staff only.

    储存条件

    -20 °C

    储存方法

    Store at -20°C for 12 months.

    有效期

    12 months
  • Wang, Wang, Wu, Song, Zhao, Ge, Meng: "Fabrication of highly catalytic silver nanoclusters/graphene oxide nanocomposite as nanotag for sensitive electrochemical immunoassay." in: Analytica chimica acta, Vol. 906, pp. 80-8, (2016) (PubMed).

    Song, Wang, Wang, Zhao, Zhao, Wu, Gao, Yuan, Meng: "Using silver nanocluster/graphene nanocomposite to enhance photoelectrochemical activity of CdS:Mn/TiO2 for highly sensitive signal-on immunoassay." in: Biosensors & bioelectronics, Vol. 80, pp. 614-20, (2016) (PubMed).

    Ren, Wu, Ju, Yan: "Target-Driven Triple-Binder Assembly of MNAzyme for Amplified Electrochemical Immunosensing of Protein Biomarker." in: Analytical chemistry, Vol. 87, Issue 3, pp. 1694-700, (2015) (PubMed).

    Li, Feng, Chen, Bai, Guo, Wu, Zhou: "Sensitive detection of carcinoembryonic antigen using surface plasmon resonance biosensor with gold nanoparticles signal amplification." in: Talanta, Vol. 140, pp. 143-9, (2015) (PubMed).

    Liu, Zhang, Lu, Li: "3-D microarray and its microfabrication-free fluidic immunoassay device." in: Analytica chimica acta, Vol. 889, pp. 187-93, (2015) (PubMed).

    Yu, Li, Wu, Ju: "Motor-based autonomous microsensor for motion and counting immunoassay of cancer biomarker." in: Analytical chemistry, Vol. 86, Issue 9, pp. 4501-7, (2014) (PubMed).

    Yu, Zhan, Liu, Lv, Duan: "Plasma-enhanced antibody immobilization for the development of a capillary-based carcinoembryonic antigen immunosensor using laser-induced fluorescence spectroscopy." in: Analytical chemistry, Vol. 85, Issue 9, pp. 4578-85, (2013) (PubMed).

    Zong, Wu, Wang, Ju, Yan: "Chemiluminescence imaging immunoassay of multiple tumor markers for cancer screening." in: Analytical chemistry, Vol. 84, Issue 5, pp. 2410-5, (2012) (PubMed).

  • 抗原

    CEA (Carcinoembryonic Antigen Gene Family (CEA))

    别名

    CEA

    背景

    Synonyms: CEA, CD66e, Carcinoembryonic antigen-related cell adhesion molecule 5, Carcinoembryonic antigen, Meconium antigen 1, CEACAM5

    Background: Cell surface glycoprotein that plays a role in cell adhesion and in intracellular signaling. Receptor for E.coli Dr adhesins.

    分子量

    150-200kDa

    基因ID

    1048

    UniProt

    P06731
You are here: