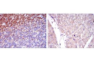
CD15 抗体
Our Local Distributor
北京 101111
Quick Overview for CD15 抗体 (ABIN969013)
抗原
See all CD15 (FUT4) 抗体适用
宿主
克隆类型
标记
应用范围
克隆位点
-
-
原理
- CD15 Antibody
-
纯化方法
- Ascitic fluid
-
免疫原
- Synthesized peptide of human CD15.
-
亚型
- IgG1
-
-
-
-
应用备注
-
ELISA: 1/10000
ICC: 1/200 - 1/1000
-
限制
- 仅限研究用
-
-
-
状态
- Liquid
-
缓冲液
- Ascitic fluid containing 0.03 % sodium azide.
-
储存液
- Sodium azide
-
注意事项
- This product contains Sodium azide: a POISONOUS AND HAZARDOUS SUBSTANCE which should be handled by trained staff only.
-
储存条件
- 4 °C,-20 °C
-
储存方法
- Store at 4°C short term. Aliquot and store at -20°C long term. Avoid freeze/thaw cycles.
-
-
-
: "[Prognostic Analysis of ERCC1, RRM1 and p53 Expressions in Postoperative Stage I-II Lung Cancer.]." in: Zhongguo fei ai za zhi = Chinese journal of lung cancer, Vol. 12, Issue 5, pp. 387-95, (2010) (PubMed).
: "Suppression of FUT1/FUT4 expression by siRNA inhibits tumor growth." in: Biochimica et biophysica acta, Vol. 1783, Issue 2, pp. 287-96, (2008) (PubMed).
-
-
- CD15 (FUT4) (Fucosyltransferase 4 (Alpha (1,3) Fucosyltransferase, Myeloid-Specific) (FUT4))
-
别名
- CD15
-
背景
- The product of this gene transfers fucose to N-acetyllactosamine polysaccharides to generate fucosylated carbohydrate structures. It catalyzes the synthesis of the non-sialylated antigen, Lewis x (CD15).
-
分子量
- 59 kDa
-
基因ID
- 2526
-
UniProt
- P22083
抗原
-