CD15 抗体
Our Local Distributor
北京 101111
Quick Overview for CD15 抗体 (ABIN6939471)
抗原
See all CD15 (FUT4) 抗体适用
宿主
克隆类型
标记
应用范围
克隆位点
-
-
原理
- CD15 / FUT4 (Reed-Sternberg Cell Marker) Antibody
-
特异性
- CD15 plays a role in mediating phagocytosis, bactericidal activity, and chemotaxis. It is present on s disease. CD15 is occasionally expressed in large cell lymphomas of both B and T phenotypes which otherwise have a quite distinct histological appearance.
-
纯化方法
- 200ug/ml of Ab Purified from Bioreactor Concentrate.
-
免疫原
- U937 histiocytic cell line
-
亚型
- IgM, kappa
-
-
-
-
应用备注
-
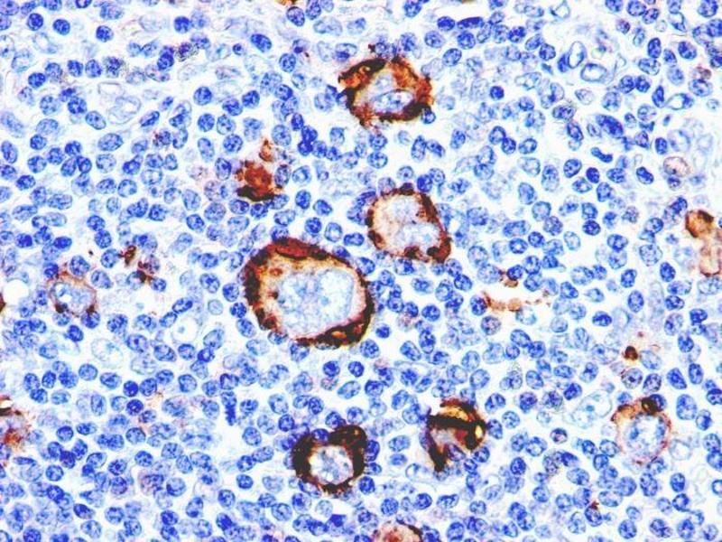
Positive Control: U937 cells, Reed-Sternberg's cells in Hodgkin's lymphoma.
Known Application: Flow Cytometry (0.5-1 μg/million cells), Immunofluorescence (0.5-1 μg/mL), Immunohistochemistry (Formalin-fixed) (0.5-1.0 μg/mL for 30 minutes at RT)(Staining of formalin-fixed tissues requires boiling tissue sections in 10 mM Tris with 1 mM EDTA, pH 9.0, for 10-20 min followed by cooling at RT for 20 minutes)Optimal dilution for a specific application should be determined.
-
限制
- 仅限研究用
-
-
-
浓度
- 200 μg/mL
-
缓冲液
- Prepared in 10 mM PBS with 0.05 % BSA & 0.05 % azide.
-
储存液
- Sodium azide
-
注意事项
- This product contains Sodium azide: a POISONOUS AND HAZARDOUS SUBSTANCE which should be handled by trained staff only.
-
储存条件
- 4 °C
-
储存方法
- Antibody with azide - store at 2 to 8°C. Antibody without azide - store at -20 to -80°C. Antibody is stable for 24 months. Non-hazardous. No MSDS required.
-
有效期
- 24 months
-
-
- CD15 (FUT4) (Fucosyltransferase 4 (Alpha (1,3) Fucosyltransferase, Myeloid-Specific) (FUT4))
-
别名
- FUT4
-
背景
-
3 Fucosyl N Acetyl Lactosamine; Alpha (1,3) Fucosyltransferase; Alpha 13 fucosyltransferase FucT; ELAM Ligand Fucosyltransferase; ELFT; FCT3A; Fuc-TIV; Fucosyltransferase 4 Alpha 1 3 Fucosyltransferase Myeloid Specific; Fucosyltransferase 4; Galactoside 3 L Fucosyltransferase; Lewis X; LeX; SSEA1; Stage Specific Embryonic Antigen 1
Reed-Sternberg's cells in Hodgkin's lymphoma., U937 cells
-
分子量
- 220kDa
-
基因ID
- 2526, 654379
-
UniProt
- P22083
抗原
-