电话:
+86 (0512) 65829739
传真:
+86 (010) 6788 5057
电子邮件:
orders@antibodies-online.cn

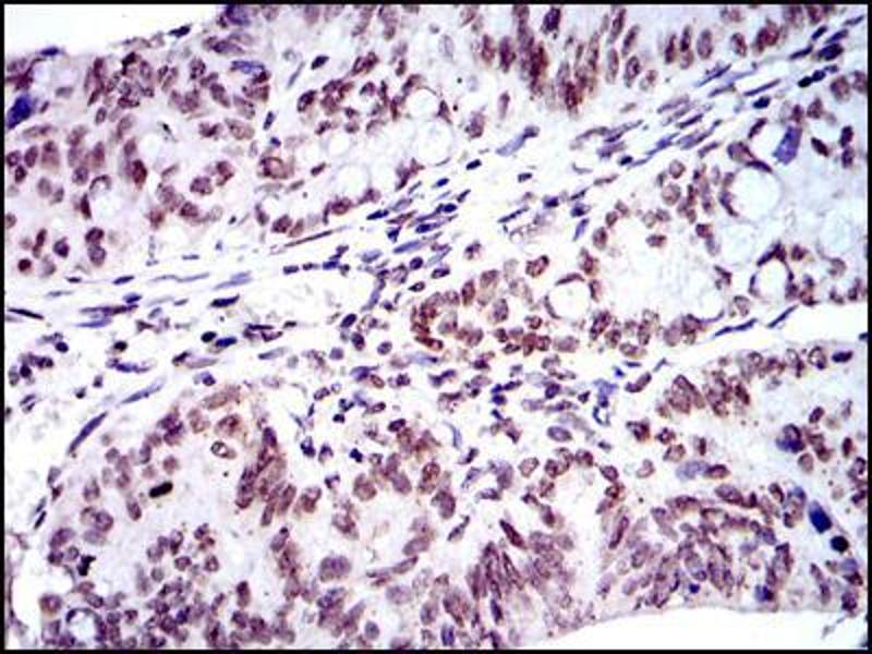
BMI1 抗体

Cited in 2+ publications. The 小鼠 单克隆 anti-BMI1 antibody (Clone 3E3) (ABIN968985) specifically detects BMI1 in IHC, ELISA, ICC 和 FACS. The antibody is reactive with 人 samples.
产品编号 ABIN968985
发货至: 中国
Contact our Customer Service for availability and price in your country. Contact Info

Our Local Distributor

中国
北京 101111
No. 88 KeChuang 6th Street
Beijing Economic Technological Development Area
Room 801-803
4A Biotech Co.,Ltd.
Tel +86 (0512) 65829739 传真 +86 (010) 6788 5057

Quick Overview for BMI1 抗体 (ABIN968985)

抗原

See all BMI1 抗体
BMI1 (BMI1 Polycomb Ring Finger Oncogene (BMI1))

适用

  • 143
  • 53
  • 37
  • 10
  • 8
  • 7
  • 7
  • 6
  • 5
  • 3
  • 3
  • 3
  • 2
  • 1
  • 1
  • 1
  • 1
  • 1

宿主

  • 87
  • 54
  • 5
小鼠

克隆类型

  • 75
  • 71
单克隆

标记

  • 83
  • 10
  • 8
  • 4
  • 3
  • 3
  • 3
  • 3
  • 3
  • 3
  • 3
  • 3
  • 3
  • 2
  • 2
  • 2
  • 2
  • 2
  • 2
  • 1
  • 1
This BMI1 antibody is un-conjugated

应用范围

  • 115
  • 74
  • 39
  • 38
  • 29
  • 22
  • 12
  • 11
  • 4
  • 4
  • 3
  • 3
  • 2
  • 2
  • 2
  • 2
  • 1
  • 1
  • 1
  • 1
  • 1
Immunohistochemistry (IHC), ELISA, Immunocytochemistry (ICC), Flow Cytometry (FACS)

克隆位点

3E3
  • 原理

    BMI1 Antibody

    纯化方法

    Ascitic fluid

    免疫原

    Purified recombinant fragment of human BMI1 expressed in E. Coli.

    亚型

    IgG1
  • 应用备注

    ELISA: 1/10000

    FCM: 1/200 - 1/400

    ICC: 1/200 - 1/1000

    限制

    仅限研究用
  • 状态

    Liquid

    缓冲液

    Ascitic fluid containing 0.03 % sodium azide.

    储存液

    Sodium azide

    注意事项

    This product contains Sodium azide: a POISONOUS AND HAZARDOUS SUBSTANCE which should be handled by trained staff only.

    储存条件

    4 °C,-20 °C

    储存方法

    Store at 4°C short term. Aliquot and store at -20°C long term. Avoid freeze/thaw cycles.
  • Edwards, Witherspoon, Wang, Afrasiabi, Pham, Birnbaumer, Lipkin: "Epigenetic repression of DNA mismatch repair by inflammation and hypoxia in inflammatory bowel disease-associated colorectal cancer." in: Cancer research, Vol. 69, Issue 16, pp. 6423-9, (2009) (PubMed).

    Bhattacharya, Nicoloso, Arvizo, Wang, Cortez, Rossi, Calin, Mukherjee: "MiR-15a and MiR-16 control Bmi-1 expression in ovarian cancer." in: Cancer research, Vol. 69, Issue 23, pp. 9090-5, (2009) (PubMed).

  • 抗原

    BMI1 (BMI1 Polycomb Ring Finger Oncogene (BMI1))

    别名

    BMI1

    背景

    Component of the Polycomb group (PcG) multiprotein PRC1 complex, a complex required to maintain the transcriptionally repressive state of many genes, including Hox genes, throughout development. PcG PRC1 complex acts via chromatin remodeling and modification of histones, it mediates monoubiquitination of histone H2A 'Lys-119', rendering chromatin heritably changed in its expressibility. In the PRC1 complex, it is required to stimulate the E3 ubiquitin-protein ligase activity of RNF2/RING2.

    分子量

    37 kDa

    基因ID

    648

    UniProt

    P35226

    途径

    Cell Division Cycle, Autophagy
You are here: