电话:
+86 (0512) 65829739
传真:
+86 (010) 6788 5057
电子邮件:
orders@antibodies-online.cn

AMACR 抗体

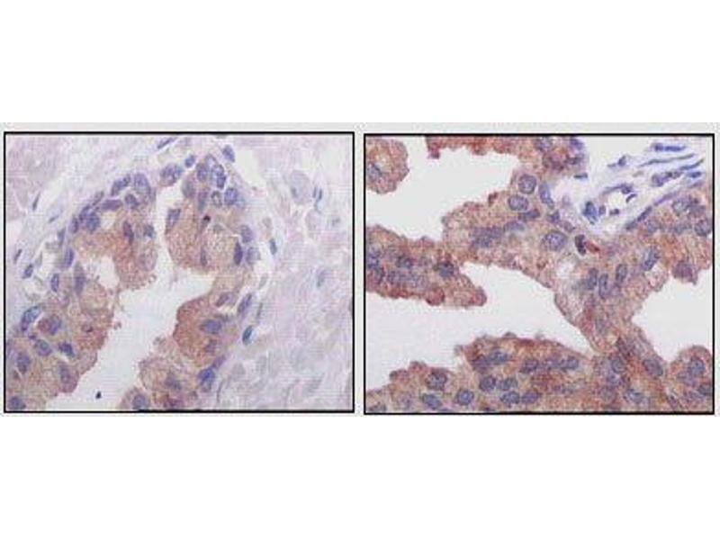
There are 2+ publications for this product available. The 小鼠 单克隆 anti-AMACR antibody is suitable to detect AMACR in samples from 人 和 小鼠. It has been validated for WB, IHC, ELISA 和 ICC.
产品编号 ABIN968957
发货至: 中国
Contact our Customer Service for availability and price in your country. Contact Info

Our Local Distributor

中国
北京 101111
No. 88 KeChuang 6th Street
Beijing Economic Technological Development Area
Room 801-803
4A Biotech Co.,Ltd.
Tel +86 (0512) 65829739 传真 +86 (010) 6788 5057

Quick Overview for AMACR 抗体 (ABIN968957)

抗原

See all AMACR 抗体
AMACR (alpha-Methylacyl-CoA Racemase (AMACR))

适用

  • 156
  • 23
  • 22
  • 10
  • 6
  • 3
  • 3
  • 1
  • 1
  • 1
人, 小鼠

宿主

  • 94
  • 62
  • 2
小鼠

克隆类型

  • 103
  • 55
单克隆

标记

  • 81
  • 11
  • 7
  • 6
  • 6
  • 6
  • 6
  • 6
  • 6
  • 6
  • 3
  • 3
  • 2
  • 1
  • 1
  • 1
  • 1
  • 1
  • 1
  • 1
  • 1
  • 1
This AMACR antibody is un-conjugated

应用范围

  • 115
  • 106
  • 36
  • 36
  • 34
  • 18
  • 12
  • 11
  • 8
  • 8
  • 6
  • 6
  • 3
  • 2
  • 1
  • 1
  • 1
  • 1
Western Blotting (WB), Immunohistochemistry (IHC), ELISA, Immunocytochemistry (ICC)

克隆位点

2A10F3
  • 原理

    AMACR Antibody

    纯化方法

    Ascitic fluid

    免疫原

    Purified recombinant fragment of human AMACR expressed in E. Coli.

    亚型

    IgG2b
  • 应用备注

    ELISA: 1/10000

    ICC: 1/200 - 1/1000

    限制

    仅限研究用
  • 状态

    Liquid

    缓冲液

    Ascitic fluid containing 0.03 % sodium azide.

    储存液

    Sodium azide

    注意事项

    This product contains Sodium azide: a POISONOUS AND HAZARDOUS SUBSTANCE which should be handled by trained staff only.

    储存条件

    4 °C,-20 °C

    储存方法

    Store at 4°C short term. Aliquot and store at -20°C long term. Avoid freeze/thaw cycles.
  • Chen, Watson, Marengo, Decker, Coleman, Nelson, Sikes: "Gene expression in the LNCaP human prostate cancer progression model: progression associated expression in vitro corresponds to expression changes associated with prostate cancer progression in vivo." in: Cancer letters, Vol. 244, Issue 2, pp. 274-88, (2006) (PubMed).

    Epstein, Herawi: "Prostate needle biopsies containing prostatic intraepithelial neoplasia or atypical foci suspicious for carcinoma: implications for patient care." in: The Journal of urology, Vol. 175, Issue 3 Pt 1, pp. 820-34, (2006) (PubMed).

  • 抗原

    AMACR (alpha-Methylacyl-CoA Racemase (AMACR))

    别名

    AMACR

    背景

    AMACR (alpha-methylacyl-CoA racemase) has been recently described as prostate cancer-specific gene that encodes a protein involved in the beta-oxidation of branched chain fatty acids. Expression of AMACR protein is found in prostatic adenocarcinoma but not in benign prostatic tissue. It stains premalignant lesions of prostate: high-grade prostatic intraepithelial neoplasia (PIN) and atypical adenomatous hyperplasia. AMACR can be used as a positive marker for PIN. Defects in AMACR are the cause of congenital bile acid synthesis defect type 4 (CBAS4), also known as cholestasis, intrahepatic, with defective conversion of trihydroxycoprostanic acid to cholic acid or trihydroxycoprostanic acid in bile. Clinical features include neonatal jaundice, intrahepatic cholestasis, bile duct deficiency and absence of cholic acid from bile.

    分子量

    42 kDa

    UniProt

    Q9UHK6

    途径

    Monocarboxylic Acid Catabolic Process
You are here: