电话:
+86 (0512) 65829739
传真:
+86 (010) 6788 5057
电子邮件:
orders@antibodies-online.cn

AMACR 抗体

The 小鼠 单克隆 anti-AMACR antibody is suitable to detect AMACR in samples from 人, 小鼠 和 大鼠. It has been validated for WB, IF 和 IHC (p).
产品编号 ABIN7201086
发货至: 中国
Contact our Customer Service for availability and price in your country. Contact Info

Our Local Distributor

中国
北京 101111
No. 88 KeChuang 6th Street
Beijing Economic Technological Development Area
Room 801-803
4A Biotech Co.,Ltd.
Tel +86 (0512) 65829739 传真 +86 (010) 6788 5057

Quick Overview for AMACR 抗体 (ABIN7201086)

抗原

See all AMACR 抗体
AMACR (alpha-Methylacyl-CoA Racemase (AMACR))

适用

  • 147
  • 16
  • 14
  • 3
  • 3
  • 2
  • 1
  • 1
  • 1
人, 小鼠, 大鼠

宿主

  • 89
  • 58
  • 2
小鼠

克隆类型

  • 94
  • 55
单克隆

标记

  • 72
  • 11
  • 7
  • 6
  • 6
  • 6
  • 6
  • 6
  • 6
  • 6
  • 3
  • 3
  • 2
  • 1
  • 1
  • 1
  • 1
  • 1
  • 1
  • 1
  • 1
  • 1
This AMACR antibody is un-conjugated

应用范围

  • 105
  • 88
  • 37
  • 35
  • 34
  • 19
  • 17
  • 12
  • 11
  • 8
  • 6
  • 6
  • 5
  • 2
  • 1
  • 1
  • 1
  • 1
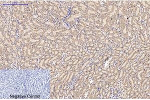
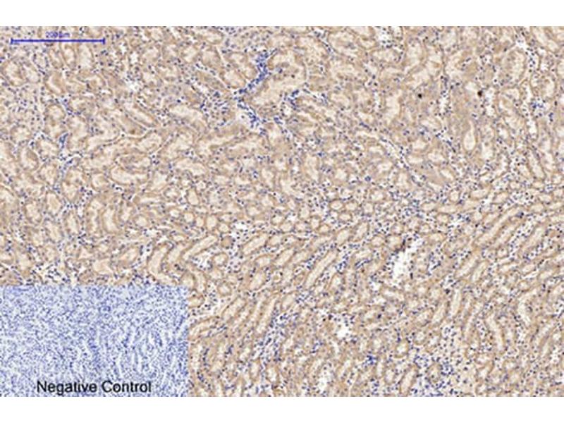
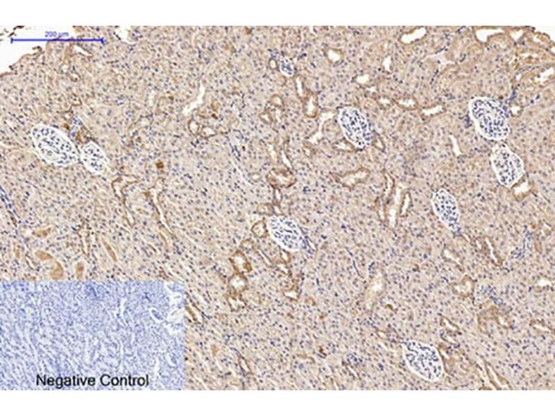
Western Blotting (WB), Immunofluorescence (IF), Immunohistochemistry (Paraffin-embedded Sections) (IHC (p))
  • 原理

    AMACR Monoclonal Antibody

    特异性

    The antibody detects endogenous AMCAR/P504S proteins.

    纯化方法

    The antibody was affinity-purified from mouse ascites by affinity-chromatography using specific immunogen

    免疫原

    Synthetic Peptide

    亚型

    IgG1
  • 应用备注

    Optimal working dilutions should be determined experimentally by the investigator. Suggested starting dilutions are as follows: WB (1:1000), IF (1:200), IHC-P (1:200).

    限制

    仅限研究用
  • 状态

    Liquid

    浓度

    1 mg/mL

    缓冲液

    PBS, pH 7.4, containing 0.02 % Sodium Azide as preservative and 50 % Glycerol.

    储存液

    Sodium azide

    注意事项

    This product contains Sodium azide: a POISONOUS AND HAZARDOUS SUBSTANCE which should be handled by trained staff only.

    储存条件

    -20 °C

    储存方法

    Stable for one year at -20°C from date of shipment. For maximum recovery of product, centrifuge the original vial after thawing and prior to removing the cap. Aliquot to avoid repeated freezing and thawing.
  • 抗原

    AMACR (alpha-Methylacyl-CoA Racemase (AMACR))

    别名

    AMACR

    背景

    Mouse Anti-AMACR Monoclonal Antibody,AMACR, Alpha-methylacyl-CoA racemase, 2-methylacyl-CoA racemase,AMACR encodes a racemase. Alpha-methylacyl-CoA racemase interconverts pristanoyl-CoA and C27-bile acylCoAs between their (R)- and (S)-stereoisomers. The conversion to the (S)-stereoisomers is necessary for degradation of these substrates by peroxisomal beta-oxidation. Alpha-methylacyl-CoA racemase from this locus localize to both mitochondria and peroxisomes. Mutations in AMACR may be associated with adult-onset sensorimotor neuropathy, pigmentary retinopathy, and adrenomyeloneuropathy due to defects in bile acid synthesis. Alternatively spliced transcript variants have been described. Read-through transcription also exists between AMACR and the upstream neighboring C1QTNF3 (C1q and tumor necrosis factor related protein 3) gene.,Alpha-methylacyl-CoA racemase

    基因ID

    23600

    UniProt

    Q9UHK6

    途径

    Monocarboxylic Acid Catabolic Process
You are here: