电话:
+86 (0512) 65829739
传真:
+86 (010) 6788 5057
电子邮件:
orders@antibodies-online.cn

Smooth Muscle Actin 抗体

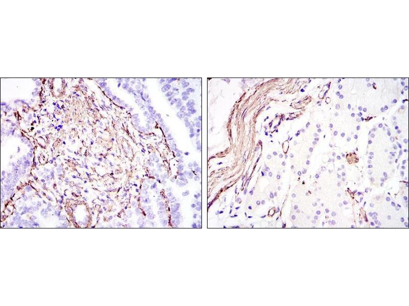
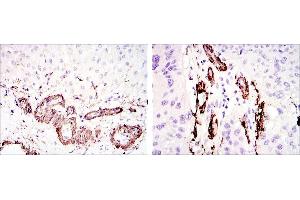
Cited in 2+ publications. The 小鼠 单克隆 anti-Smooth Muscle Actin antibody (Clone 4F4) (ABIN968946) specifically detects Smooth Muscle Actin in WB, IHC 和 ELISA. The antibody is reactive with 人 和 猴 samples.
产品编号 ABIN968946
发货至: 中国
Contact our Customer Service for availability and price in your country. Contact Info

Our Local Distributor

中国
北京 101111
No. 88 KeChuang 6th Street
Beijing Economic Technological Development Area
Room 801-803
4A Biotech Co.,Ltd.
Tel +86 (0512) 65829739 传真 +86 (010) 6788 5057

Quick Overview for Smooth Muscle Actin 抗体 (ABIN968946)

抗原

See all Smooth Muscle Actin (ACTA2) 抗体
Smooth Muscle Actin (ACTA2) (Actin, alpha 2, Smooth Muscle, Aorta (ACTA2))

适用

  • 173
  • 122
  • 119
  • 33
  • 30
  • 25
  • 25
  • 17
  • 16
  • 16
  • 15
  • 15
  • 14
  • 14
  • 9
  • 7
  • 3
  • 1
人, 猴

宿主

  • 93
  • 82
  • 1
  • 1
小鼠

克隆类型

  • 130
  • 47
单克隆

标记

  • 88
  • 10
  • 6
  • 6
  • 6
  • 6
  • 6
  • 6
  • 4
  • 3
  • 3
  • 3
  • 2
  • 2
  • 2
  • 2
  • 2
  • 2
  • 2
  • 2
  • 1
  • 1
  • 1
  • 1
  • 1
  • 1
  • 1
  • 1
  • 1
  • 1
  • 1
  • 1
  • 1
  • 1
This Smooth Muscle Actin antibody is un-conjugated

应用范围

  • 112
  • 83
  • 81
  • 66
  • 40
  • 30
  • 25
  • 23
  • 18
  • 17
  • 6
  • 3
  • 2
  • 2
  • 2
  • 1
  • 1
  • 1
Western Blotting (WB), Immunohistochemistry (IHC), ELISA

克隆位点

4F4
  • 原理

    ACTA2 Antibody

    纯化方法

    Ascitic fluid

    免疫原

    Purified recombinant fragment of human ACTA2 expressed in E. Coli.

    亚型

    IgG1
  • 应用备注

    ELISA: 1/10000

    限制

    仅限研究用
  • 状态

    Liquid

    缓冲液

    Ascitic fluid containing 0.03 % sodium azide.

    储存液

    Sodium azide

    注意事项

    This product contains Sodium azide: a POISONOUS AND HAZARDOUS SUBSTANCE which should be handled by trained staff only.

    储存条件

    4 °C,-20 °C

    储存方法

    Store at 4°C short term. Aliquot and store at -20°C long term. Avoid freeze/thaw cycles.
  • Guo, Pannu, Tran-Fadulu, Papke, Yu, Avidan, Bourgeois, Estrera, Safi, Sparks, Amor, Ades, McConnell, Willoughby, Abuelo, Willing, Lewis, Kim, Scherer, Tung, Ahn, Buja, Raman, Shete, Milewicz: "Mutations in smooth muscle alpha-actin (ACTA2) lead to thoracic aortic aneurysms and dissections." in: Nature genetics, Vol. 39, Issue 12, pp. 1488-93, (2007) (PubMed).

    Salas, Bartoli, Deville, Gaudart, Fina, Calisti, Bollini, Curvale, Gentet, Duffaud, Figarella-Branger, Bouvier: "Ezrin and alpha-smooth muscle actin are immunohistochemical prognostic markers in conventional osteosarcomas." in: Virchows Archiv : an international journal of pathology, Vol. 451, Issue 6, pp. 999-1007, (2007) (PubMed).

  • 抗原

    Smooth Muscle Actin (ACTA2) (Actin, alpha 2, Smooth Muscle, Aorta (ACTA2))

    别名

    ACTA2

    背景

    Actin, alpha 2, smooth muscle, aorta, major constituent of thin filaments.

    分子量

    42 kDa

    基因ID

    59

    UniProt

    P62736

    途径

    Myometrial Relaxation and Contraction, Skeletal Muscle Fiber Development
You are here: