电话:
+86 (0512) 65829739
传真:
+86 (010) 6788 5057
电子邮件:
orders@antibodies-online.cn

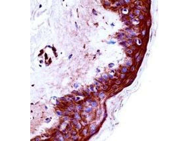
Kallikrein 9 抗体 (Middle Region)

The 兔 多克隆 anti-Kallikrein 9 antibody (ABIN953103) specifically detects Kallikrein 9 in WB, IHC (p) 和 EIA. The antibody is reactive with 人 samples.
产品编号 ABIN953103
发货至: 中国
Contact our Customer Service for availability and price in your country. Contact Info

Our Local Distributor

中国
北京 101111
No. 88 KeChuang 6th Street
Beijing Economic Technological Development Area
Room 801-803
4A Biotech Co.,Ltd.
Tel +86 (0512) 65829739 传真 +86 (010) 6788 5057

Quick Overview for Kallikrein 9 抗体 (Middle Region) (ABIN953103)

抗原

See all Kallikrein 9 (KLK9) 抗体
Kallikrein 9 (KLK9)

适用

  • 30
  • 18
  • 7

宿主

  • 48
  • 5

克隆类型

  • 49
  • 4
多克隆

标记

  • 25
  • 4
  • 3
  • 2
  • 1
  • 1
  • 1
  • 1
  • 1
  • 1
  • 1
  • 1
  • 1
  • 1
  • 1
  • 1
  • 1
  • 1
  • 1
  • 1
  • 1
  • 1
  • 1
This Kallikrein 9 antibody is un-conjugated

应用范围

  • 30
  • 18
  • 17
  • 13
  • 13
  • 11
  • 7
  • 5
  • 4
  • 2
  • 1
  • 1
Western Blotting (WB), Immunohistochemistry (Paraffin-embedded Sections) (IHC (p)), Enzyme Immunoassay (EIA)
  • 抗原表位

    • 15
    • 7
    • 4
    • 2
    • 2
    • 2
    • 2
    • 2
    • 1
    • 1
    • 1
    • 1
    • 1
    • 1
    AA 81-111, Middle Region

    特异性

    This antibody recognizes Human KLK19 / Kallikrein-19 (Center).

    纯化方法

    Protein A column, followed by peptide affinity purification

    免疫原

    KLH conjugated synthetic peptide between 81-111 amino acids from the Central region of Human KLK9 / Kallikrein-9

    亚型

    Ig Fraction
  • 应用备注

    Optimal working dilution should be determined by the investigator.

    限制

    仅限研究用
  • 状态

    Liquid

    浓度

    0.5 mg/mL

    缓冲液

    PBS containing 0.09 % (W/V) Sodium Azide as preservative

    储存液

    Sodium azide

    注意事项

    This product contains sodium azide: a POISONOUS AND HAZARDOUS SUBSTANCE which should be handled by trained staff only.

    注意事项

    Avoid repeated freezing and thawing.

    储存条件

    4 °C/-20 °C

    储存方法

    Store undiluted at 2-8 °C for one month or (in aliquots) at -20 °C for longer.
  • 抗原

    Kallikrein 9 (KLK9)

    别名

    KLK9 / Kallikrein-9

    背景

    The protein encoded by this gene is a kallikrein-related serine protease. This gene is activated by steroid hormones in a human breast cancer cell line, making it a good marker for cancer detection. The encoded protein is found primarily in the cytoplasm.Synonyms: KLK-L3, KLKL3, Kallikrein-like protein 3

    分子量

    27513 Da

    基因ID

    284366

    NCBI登录号

    NP_036447

    途径

    Complement System
You are here: