电话:
+86 (0512) 65829739
传真:
+86 (010) 6788 5057
电子邮件:
orders@antibodies-online.cn

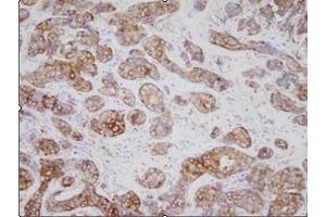
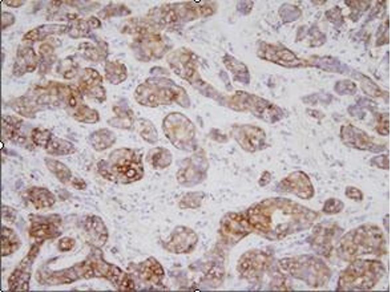
TPD52L1 抗体 (AA 1-131)

The 小鼠 单克隆 anti-TPD52L1 antibody is suitable to detect TPD52L1 in samples from 人. It has been validated for WB, ELISA 和 IHC.
产品编号 ABIN934013
发货至: 中国
Contact our Customer Service for availability and price in your country. Contact Info

Our Local Distributor

中国
北京 101111
No. 88 KeChuang 6th Street
Beijing Economic Technological Development Area
Room 801-803
4A Biotech Co.,Ltd.
Tel +86 (0512) 65829739 传真 +86 (010) 6788 5057

Quick Overview for TPD52L1 抗体 (AA 1-131) (ABIN934013)

抗原

See all TPD52L1 抗体
TPD52L1 (Tumor Protein D52-Like 1 (TPD52L1))

适用

  • 23
  • 13
  • 2

宿主

  • 25
  • 3
  • 1
小鼠

克隆类型

  • 28
  • 1
单克隆

标记

  • 17
  • 2
  • 1
  • 1
  • 1
  • 1
  • 1
  • 1
  • 1
  • 1
  • 1
  • 1
This TPD52L1 antibody is un-conjugated

应用范围

  • 20
  • 14
  • 5
  • 1
  • 1
  • 1
  • 1
  • 1
Western Blotting (WB), ELISA, Immunohistochemistry (IHC)

克隆位点

D1D5
You are here: