电话:
+86 (0512) 65829739
传真:
+86 (010) 6788 5057
电子邮件:
orders@antibodies-online.cn

TPD52L1 抗体 (AA 1-131)

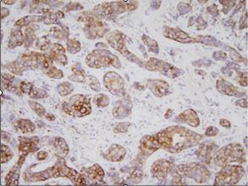
The 小鼠 单克隆 anti-TPD52L1 antibody (Clone d1D5) (ABIN165396) specifically detects TPD52L1 in ELISA, IHC 和 FACS. The antibody is reactive with 人 samples.
产品编号 ABIN165396
发货至: 中国
Contact our Customer Service for availability and price in your country. Contact Info

Our Local Distributor

中国
北京 101111
No. 88 KeChuang 6th Street
Beijing Economic Technological Development Area
Room 801-803
4A Biotech Co.,Ltd.
Tel +86 (0512) 65829739 传真 +86 (010) 6788 5057

Quick Overview for TPD52L1 抗体 (AA 1-131) (ABIN165396)

抗原

See all TPD52L1 抗体
TPD52L1 (Tumor Protein D52-Like 1 (TPD52L1))

适用

  • 23
  • 13
  • 2

宿主

  • 25
  • 3
  • 1
小鼠

克隆类型

  • 28
  • 1
单克隆

标记

  • 17
  • 2
  • 1
  • 1
  • 1
  • 1
  • 1
  • 1
  • 1
  • 1
  • 1
  • 1
This TPD52L1 antibody is un-conjugated

应用范围

  • 21
  • 14
  • 5
  • 1
  • 1
  • 1
  • 1
ELISA, Immunohistochemistry (IHC), Flow Cytometry (FACS)

克隆位点

D1D5
  • 抗原表位

    • 8
    • 2
    • 2
    • 2
    • 1
    • 1
    • 1
    • 1
    • 1
    AA 1-131

    原理

    Human TPD52L1 antibody

    纯化方法

    Purified

    免疫原

    Recombinant human TPD52L1 (1-131aa) purified from E. coli

    亚型

    IgG2b kappa
  • 应用备注

    Recommended dilution 1:1000(W.B), Recommended dilution 1:200(IF)

    限制

    仅限研究用
  • 状态

    Liquid

    浓度

    1 mg/mL

    缓冲液

    Phosphate-Buffered Saline ( pH 7.4) with 0.02 % Sodium Azide, 10 % glycerol

    储存液

    Sodium azide

    注意事项

    This product contains Sodium azide: a POISONOUS AND HAZARDOUS SUBSTANCE which should be handled by trained staff only.

    注意事项

    Avoid repeated freezing and thawing cycles

    储存条件

    4 °C,-20 °C,-80 °C

    储存方法

    Can be stored at +2C to +8C for 1 week. For long term storage, aliquot and store at -20C to -80C. Avoid repeated freezing and thawing cycles.
  • 抗原

    TPD52L1 (Tumor Protein D52-Like 1 (TPD52L1))

    别名

    TPD52L1

    背景

    D52-like (TPD52L1) protein is a member of D52 gene family and overexpressed in human breast carcinoma. This protein contains coiled-coil motif, which is responsible for homo- and heteromeric interaction, and may be regulators of cell proliferation and calcium-mediated signal transduction.

    NCBI登录号

    NP_001003397

    途径

    Positive Regulation of Endopeptidase Activity
You are here: