电话:
+86 (0512) 65829739
传真:
+86 (010) 6788 5057
电子邮件:
orders@antibodies-online.cn

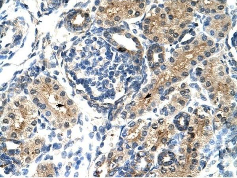
TIMELESS 抗体 (N-Term)

The 兔 多克隆 anti-TIMELESS antibody (ABIN927477) specifically detects TIMELESS in WB 和 IHC. The antibody is reactive with 人, 小鼠, 大鼠, 犬 和 Cow samples.
产品编号 ABIN927477
发货至: 中国
Contact our Customer Service for availability and price in your country. Contact Info

Our Local Distributor

中国
北京 101111
No. 88 KeChuang 6th Street
Beijing Economic Technological Development Area
Room 801-803
4A Biotech Co.,Ltd.
Tel +86 (0512) 65829739 传真 +86 (010) 6788 5057

Quick Overview for TIMELESS 抗体 (N-Term) (ABIN927477)

抗原

See all TIMELESS 抗体
TIMELESS (Timeless Homolog (TIMELESS))

适用

  • 44
  • 15
  • 12
  • 8
  • 6
  • 6
  • 5
  • 5
  • 4
  • 4
  • 2
  • 1
  • 1
  • 1
  • 1
  • 1
人, 小鼠, 大鼠, 犬, Cow

宿主

  • 44
  • 3
  • 1

克隆类型

  • 34
  • 14
多克隆

标记

  • 32
  • 4
  • 3
  • 1
  • 1
  • 1
  • 1
  • 1
  • 1
  • 1
  • 1
  • 1
This TIMELESS antibody is un-conjugated

应用范围

  • 40
  • 18
  • 16
  • 15
  • 12
  • 9
  • 4
  • 2
  • 1
  • 1
Western Blotting (WB), Immunohistochemistry (IHC)
  • 抗原表位

    • 7
    • 6
    • 5
    • 4
    • 2
    • 2
    • 1
    • 1
    • 1
    N-Term

    交叉反应

    小鼠, 大鼠, 牛, 犬

    纯化方法

    Purified

    免疫原

    TIMELESS antibody was raised in rabbit using the N terminal of TIMELESS as the immunogen
  • 应用备注

    WB: 0.2-1 µg/mL
    Optimal conditions should be determined by the investigator.

    说明

    TIMELESS Blocking Peptide, (ABIN939355), is also available for use as a blocking control in assays to test for specificity of this TIMELESS antibody

    限制

    仅限研究用
  • 状态

    Lyophilized

    浓度

    Lot specific

    缓冲液

    Lyophilized powder. Add 50 µL of distilled water. Final antibody concentration is 1 mg/mL in PBS buffer.

    注意事项

    Avoid repeated freeze/thaw cycles.

    储存条件

    4 °C/-20 °C

    储存方法

    Store at 4 °C, following reconstitution, aliquot and store at -20 °C.
  • 抗原

    TIMELESS (Timeless Homolog (TIMELESS))

    别名

    TIMELESS

    背景

    The human Timeless protein interacts with both the circadian clock protein cryptochrome 2 and with the cell cycle checkpoint proteins Chk1 and the ATR-ATRIP complex and plays an important role in the DNA damage checkpoint response. Down-regulation of Timeless in human cells seriously compromises replication and intra-S checkpoints, indicating an intimate connection between the circadian cycle and the DNA damage checkpoints that is in part mediated by the Timeless protein. Synonyms: Polyclonal TIMELESS antibody, Anti-TIMELESS antibody, timeless homolog, Drosophila antibody.

    途径

    Protein targeting to Nucleus, Photoperiodism
You are here: