电话:
+86 (0512) 65829739
传真:
+86 (010) 6788 5057
电子邮件:
orders@antibodies-online.cn

FOXR2 抗体 (N-Term)

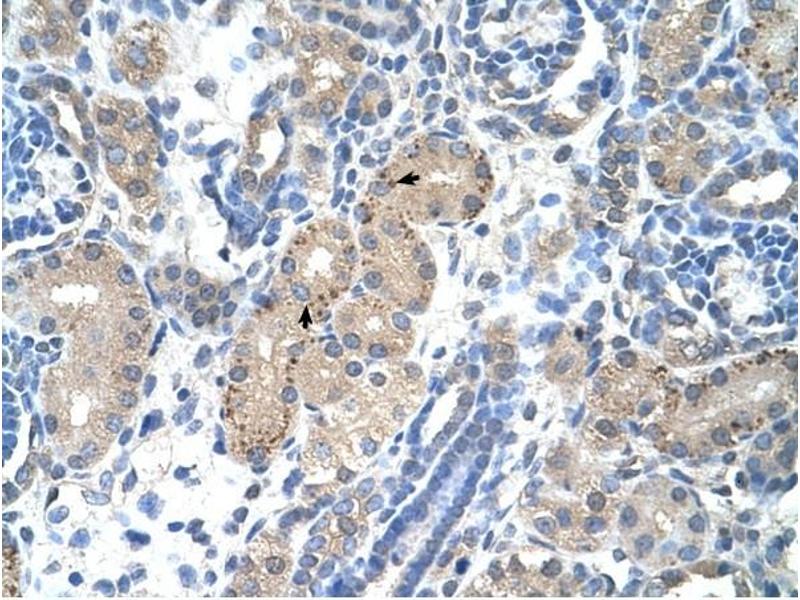
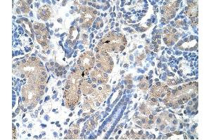
The 兔 多克隆 anti-FOXR2 antibody is suitable to detect FOXR2 in samples from 人. It has been validated for WB 和 IHC.
产品编号 ABIN925955
发货至: 中国
Contact our Customer Service for availability and price in your country. Contact Info

Our Local Distributor

中国
北京 101111
No. 88 KeChuang 6th Street
Beijing Economic Technological Development Area
Room 801-803
4A Biotech Co.,Ltd.
Tel +86 (0512) 65829739 传真 +86 (010) 6788 5057

Quick Overview for FOXR2 抗体 (N-Term) (ABIN925955)

抗原

FOXR2 (Forkhead Box R2 (FOXR2))

适用

  • 19
  • 2
  • 1
  • 1

宿主

  • 17
  • 2

克隆类型

  • 17
  • 2
多克隆

标记

  • 9
  • 2
  • 1
  • 1
  • 1
  • 1
  • 1
  • 1
  • 1
  • 1
This FOXR2 antibody is un-conjugated

应用范围

  • 9
  • 6
  • 5
  • 2
  • 2
Western Blotting (WB), Immunohistochemistry (IHC)
  • 抗原表位

    • 5
    • 1
    • 1
    • 1
    • 1
    • 1
    • 1
    N-Term

    免疫原

    FOXR2 antibody was raised in rabbit using the N terminal of FOXR2 as the immunogen
  • 应用备注

    WB: 1.25 µg/mL
    Optimal conditions should be determined by the investigator.

    说明

    FOXR2 Blocking Peptide, (ABIN5613639), is also available for use as a blocking control in assays to test for specificity of this FOXR2 antibody

    限制

    仅限研究用
  • 状态

    Lyophilized

    浓度

    Lot specific

    缓冲液

    Lyophilized powder. Add 100 µL of distilled water. Final antibody concentration is 1 mg/mL in PBS buffer.

    注意事项

    Avoid repeated freeze/thaw cycles.

    储存条件

    4 °C/-20 °C

    储存方法

    Store at 4 °C, following reconstitution, aliquot and store at -20 °C.
  • 抗原

    FOXR2 (Forkhead Box R2 (FOXR2))

    别名

    FOXR2

    背景

    Forkhead-box (FOX) transcription factors are implicated in carcinogenesis through gene amplification, retroviral integration, or chromosomal translocation. Human FOXN6 mRNA was expressed in breast cancer cell line and primary breast cancer. Synonyms: Polyclonal FOXR2 antibody, Anti-FOXR2 antibody, forkhead box R2 antibody, FOXN6 antibody, MGC21658 antibody.
You are here: