电话:
+86 (0512) 65829739
传真:
+86 (010) 6788 5057
电子邮件:
orders@antibodies-online.cn

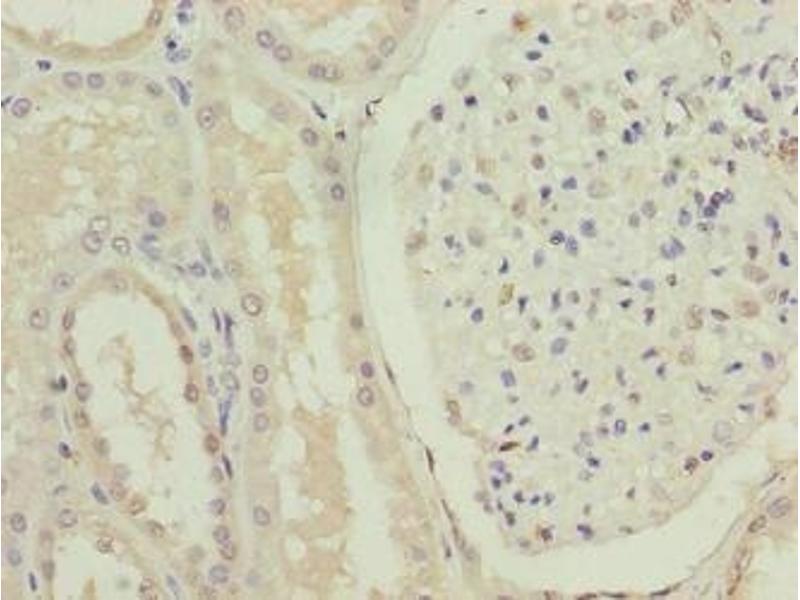
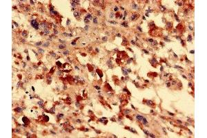
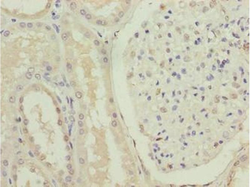
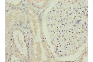
FOXR2 抗体 (AA 1-300)

The 兔 多克隆 anti-FOXR2 antibody (ABIN7153105) specifically detects FOXR2 in ELISA, WB 和 IHC. The antibody is reactive with 人 samples.
产品编号 ABIN7153105
发货至: 中国
Contact our Customer Service for availability and price in your country. Contact Info

Our Local Distributor

中国
北京 101111
No. 88 KeChuang 6th Street
Beijing Economic Technological Development Area
Room 801-803
4A Biotech Co.,Ltd.
Tel +86 (0512) 65829739 传真 +86 (010) 6788 5057

Quick Overview for FOXR2 抗体 (AA 1-300) (ABIN7153105)

抗原

FOXR2 (Forkhead Box R2 (FOXR2))

适用

  • 19
  • 2
  • 1
  • 1

宿主

  • 17
  • 2

克隆类型

  • 17
  • 2
多克隆

标记

  • 9
  • 2
  • 1
  • 1
  • 1
  • 1
  • 1
  • 1
  • 1
  • 1
This FOXR2 antibody is un-conjugated

应用范围

  • 9
  • 5
  • 5
  • 2
  • 2
ELISA, Western Blotting (WB), Immunohistochemistry (IHC)
  • 抗原表位

    • 4
    • 2
    • 1
    • 1
    • 1
    • 1
    • 1
    AA 1-300

    原理

    FOXR2 Antibody

    纯化方法

    Protein G purified

    纯度

    >95 %

    免疫原

    Recombinant Human Forkhead box protein R2 protein (1-300AA)

    亚型

    IgG
  • 应用备注

    Optimal working dilution should be determined by the investigator.

    限制

    仅限研究用
  • 状态

    Liquid

    缓冲液

    Preservative: 0.03 % Proclin 300
    Constituents: 50 % Glycerol, 0.01M PBS, PH 7.4

    储存液

    ProClin

    注意事项

    This product contains ProClin: a POISONOUS AND HAZARDOUS SUBSTANCE which should be handled by trained staff only.

    储存条件

    -20 °C,-80 °C

    储存方法

    Upon receipt, store at -20°C or -80°C. Avoid repeated freeze.
  • 抗原

    FOXR2 (Forkhead Box R2 (FOXR2))

    别名

    FOXR2

    背景

    Background: nucleus, RNA polymerase II transcription factor activity, sequence-specific DNA binding, anatomical structure morphogenesis, cell differentiation, regulation of transcription from RNA polymerase II promoter

    Aliases: Forkhead box protein N6 antibody, Forkhead box protein R2 antibody, FOXN6 antibody, Foxr2 antibody, FOXR2_HUMAN antibody

    UniProt

    Q6PJQ5
You are here: