电话:
+86 (0512) 65829739
传真:
+86 (010) 6788 5057
电子邮件:
orders@antibodies-online.cn

Serotonin Receptor 1A 抗体

This 小鼠 单克隆 antibody specifically detects Serotonin Receptor 1A in WB, IHC 和 IHC (p). It exhibits reactivity toward 人 和 大鼠.
产品编号 ABIN790486
发货至: 中国
Contact our Customer Service for availability and price in your country. Contact Info

Our Local Distributor

中国
北京 101111
No. 88 KeChuang 6th Street
Beijing Economic Technological Development Area
Room 801-803
4A Biotech Co.,Ltd.
Tel +86 (0512) 65829739 传真 +86 (010) 6788 5057

Quick Overview for Serotonin Receptor 1A 抗体 (ABIN790486)

抗原

See all Serotonin Receptor 1A (HTR1A) 抗体
Serotonin Receptor 1A (HTR1A)

适用

  • 48
  • 31
  • 31
  • 1
  • 1
人, 大鼠

宿主

  • 43
  • 4
  • 2
小鼠

克隆类型

  • 46
  • 3
单克隆

标记

  • 23
  • 4
  • 3
  • 2
  • 1
  • 1
  • 1
  • 1
  • 1
  • 1
  • 1
  • 1
  • 1
  • 1
  • 1
  • 1
  • 1
  • 1
  • 1
  • 1
  • 1
This Serotonin Receptor 1A antibody is un-conjugated

应用范围

  • 34
  • 18
  • 13
  • 13
  • 13
  • 9
  • 4
  • 3
  • 3
  • 2
  • 1
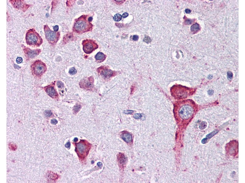
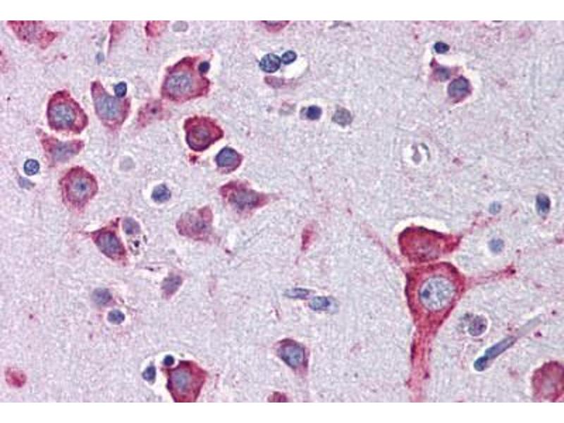
Western Blotting (WB), Immunohistochemistry (IHC), Immunohistochemistry (Paraffin-embedded Sections) (IHC (p))

克隆位点

19A9-2
  • 特异性

    Recognizes rat Serotonin receptor 1A. Species cross-reactivity: human.

    纯化方法

    Ion exchange chromatography

    免疫原

    Linear peptide corresponding to rat Serotonin receptor 1A (KLH).

    亚型

    IgM kappa
  • 应用备注

    Approved: IHC, IHC-P (10 μg/mL), WB (0.5 μg/mL)

    Usage: Suitable for use in Western Blot and Immunohistochemistry. Western Blot: 0.5 μg/mL detects Serotonin receptor 1A on 10 μg of rat brain tissue lysate. Immunohistochemistry: 1:400 detects Serotonin receptor 1A in normal human brain tissue.

    说明

    Target Species of Antibody: Rat

    限制

    仅限研究用
  • 状态

    Liquid

    浓度

    Lot specific

    缓冲液

    PBS, 0.05 % sodium azide

    储存液

    Sodium azide

    注意事项

    This product contains Sodium azide: a POISONOUS AND HAZARDOUS SUBSTANCE which should be handled by trained staff only.

    注意事项

    Aliquot to Avoid repeated freezing and thawing.

    储存条件

    4 °C,-20 °C

    储存方法

    May be stored at 4°C for short-term only. Aliquot to avoid freeze-thaw cycles. Store at -20°C. Aliquots are stable for at least 1 year.
  • 抗原

    Serotonin Receptor 1A (HTR1A)

    别名

    HTR1A / 5-HT1A Receptor

    背景

    Name/Gene ID: HTR1A
    Subfamily: Serotonin
    Family: GPCR

    Synonyms: HTR1A, 5-HT-1A, 5HT1a, 5-HT1a receptor, 5HT1ar, 5HT1A receptor, 5-HT1A, ADRBRL1, ADRB2RL1, PFMCD, Serotonin 5-HT-1a receptor, Serotonin type 1a receptor, Serotonergic type 1A receptor, G-21, Serotonin 1a receptor, Serotonin receptor 1A

    基因ID

    3350

    UniProt

    P08908

    途径

    JAK/STAT Signaling, Synaptic Membrane, Feeding Behaviour
You are here: