电话:
+86 (0512) 65829739
传真:
+86 (010) 6788 5057
电子邮件:
orders@antibodies-online.cn

DNMT3B 抗体 (N-Term)

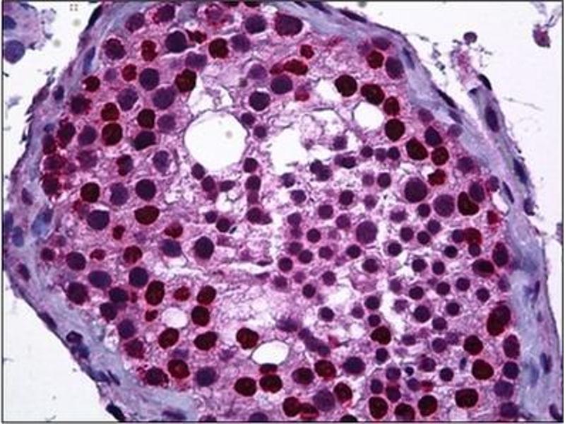
This 兔 多克隆 antibody specifically detects DNMT3B in WB, IF, IHC (p) 和 EIA. It exhibits reactivity toward 人.
产品编号 ABIN784222
发货至: 中国
Contact our Customer Service for availability and price in your country. Contact Info

Our Local Distributor

中国
北京 101111
No. 88 KeChuang 6th Street
Beijing Economic Technological Development Area
Room 801-803
4A Biotech Co.,Ltd.
Tel +86 (0512) 65829739 传真 +86 (010) 6788 5057

Quick Overview for DNMT3B 抗体 (N-Term) (ABIN784222)

抗原

See all DNMT3B 抗体
DNMT3B (DNA (Cytosine-5-)-Methyltransferase 3 beta (DNMT3B))

适用

  • 103
  • 70
  • 49
  • 6
  • 3
  • 2
  • 2
  • 2
  • 2
  • 2
  • 2
  • 1
  • 1

宿主

  • 100
  • 6
  • 2
  • 1

克隆类型

  • 83
  • 26
多克隆

标记

  • 45
  • 6
  • 5
  • 4
  • 3
  • 3
  • 3
  • 3
  • 3
  • 3
  • 3
  • 2
  • 2
  • 2
  • 2
  • 2
  • 2
  • 2
  • 2
  • 2
  • 2
  • 2
  • 1
  • 1
  • 1
  • 1
  • 1
  • 1
This DNMT3B antibody is un-conjugated

应用范围

  • 89
  • 40
  • 29
  • 24
  • 21
  • 19
  • 13
  • 10
  • 4
  • 2
  • 1
  • 1
  • 1
Western Blotting (WB), Immunofluorescence (IF), Immunohistochemistry (Paraffin-embedded Sections) (IHC (p)), Enzyme Immunoassay (EIA)
  • 抗原表位

    • 17
    • 16
    • 8
    • 5
    • 5
    • 3
    • 2
    • 2
    • 1
    • 1
    • 1
    • 1
    • 1
    • 1
    • 1
    • 1
    • 1
    • 1
    • 1
    • 1
    • 1
    • 1
    N-Term

    特异性

    This antibody detects endogenous levels of total DNMT3B protein.

    交叉反应 (详细)

    Species reactivity (tested):Human.

    纯化方法

    Immunoaffinity Chromatography.

    免疫原

    Synthetic peptide - KLH conjugated Remarks: Antigen Modification: N-Terminus

    亚型

    IgG
  • 应用备注

    Optimal working dilution should be determined by the investigator.

    限制

    仅限研究用
  • 浓度

    1.0 mg/mL

    缓冲液

    PBS (without Mg2+, Ca2+), pH 7.4 containing 150 mM Sodium Chloride, 0.02 % Sodium Azide and 50 % Glycerol.

    储存液

    Sodium azide

    注意事项

    This product contains sodium azide: a POISONOUS AND HAZARDOUS SUBSTANCE which should be handled by trained staff only.

    注意事项

    Avoid repeated freezing and thawing.

    储存条件

    4 °C/-20 °C

    储存方法

    Store the antibody undiluted at 2-8 °C for one month or (in aliquots) at -20 °C for longer.
  • 抗原

    DNMT3B (DNA (Cytosine-5-)-Methyltransferase 3 beta (DNMT3B))

    别名

    DNMT3B

    背景

    Methylation at the 5'-position of cytosine is the only known naturally occurring covalent modification of the mammalian genome. DNA methylation requires the enzymatic activity of DNA 5-cytosine methyltransferase (Dnmt) proteins, which catalyze the transfer of a methyl group from S-adenosyl methionine to the 5'-position of cytosines residing in the dinucleotide CpG motif, and this methylation results in transcriptional repression of the target gene. The Dnmt enzymes are encoded by independent genes. Dnmt1 is the most abundant, and it preferentially methylates hemimethylated DNA and coordinates gene expression during development. Additional mammalian Dnmt proteins include Dnmt2 and Dnmt3. Dnmt2 lacks the large N-terminal regulator domain of Dnmt1, is expressed at substantially lower levels in adult tissues, and is likely involved in methylating newly integrated retroviral DNA. Dnmt3a and Dnmt3b are encoded by two distinct genes, but both are abundantly expressed in embryonic stem cells, where they also methylate CpG motifs on DNA.Synonyms: DNA (cytosine-5)-methyltransferase 3B, DNA MTase HsaIIIB, DNA methyltransferase HsaIIIB, M.HsaIIIB

    基因ID

    1789

    NCBI登录号

    NP_008823
You are here: