TXNDC11 抗体 (AA 113-126)
Our Local Distributor
北京 101111
Quick Overview for TXNDC11 抗体 (AA 113-126) (ABIN768661)
抗原
See all TXNDC11 抗体适用
宿主
克隆类型
标记
应用范围
质量等级
-
-
抗原表位
- AA 113-126
-
原理
- TXNDC11 (aa113-126)
-
序列
- QLDYAEYVRR DSE
-
交叉反应
- 人
-
纯化方法
- Purified from goat serum by ammonium sulphate precipitation followed by antigen affinity chromatography using the immunizing peptide.
-
免疫原
- Peptide with sequence C-QLDYAEYVRRDSE, from the internal region of the protein sequence according to NP_056998.4.
-
亚型
- IgG
-
-
-
-
应用备注
-
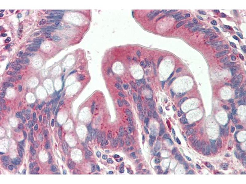
Immunohistochemistry: Paraffin embedded Human Small Intestine. Recommended concentration: 5 μg/mL.
Western Blot: Approx 100 kDa band observed in Human Spleen and Thymus lysates (calculated MW of 108 kDa according to NP_056998.4). Recommended concentration: 1-3 μg/mL. Primary incubation was 1 hour.
Peptide ELISA: antibody detection limit dilution 1:16000.
-
限制
- 仅限研究用
-
-
-
状态
- Liquid
-
浓度
- 0.5 mg/mL
-
缓冲液
- Supplied at 0.5 mg/mL in Tris saline, 0.02 % sodium azide, pH 7.3 with 0.5 % bovine serum albumin.
-
储存液
- Sodium azide
-
注意事项
- This product contains Sodium azide: a POISONOUS AND HAZARDOUS SUBSTANCE which should be handled by trained staff only.
-
注意事项
- Minimize freezing and thawing.
-
储存条件
- -20 °C
-
储存方法
- Aliquot and store at -20°C, with minimal freeze/thawing. A working aliquot may be refrigerated at 4°C for a few weeks and still remain viable.
-
-
- TXNDC11 (Thioredoxin Domain Containing 11 (TXNDC11))
-
别名
- TXNDC11
-
背景
- TXNDC11, thioredoxin domain containing 11, EFP1, EF-hand binding protein 1, EF-hand-binding protein 1, thioredoxin domain-containing protein 11
-
分子量
- 108kDa according to NP_056998.4
-
基因ID
- 51061
-
NCBI登录号
- NP_056998
-
途径
- Cell RedoxHomeostasis
抗原
-