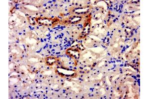
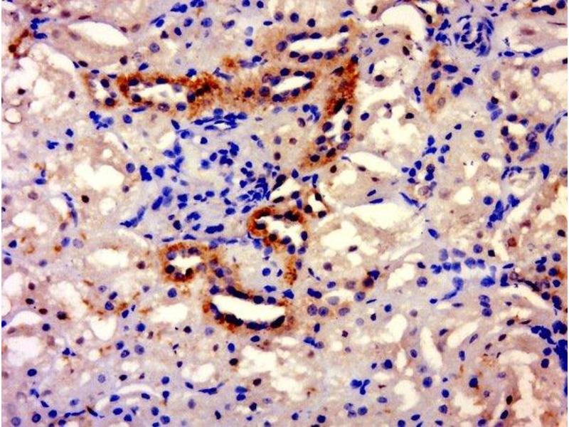
TXNDC11 抗体 (AA 601-700)
Our Local Distributor
北京 101111
Quick Overview for TXNDC11 抗体 (AA 601-700) (ABIN1385867)
抗原
See all TXNDC11 抗体适用
宿主
克隆类型
标记
应用范围
-
-
抗原表位
- AA 601-700
-
预测反应
- Human,Mouse,Rat,Dog,Cow,Sheep,Horse
-
纯化方法
- Purified by Protein A.
-
免疫原
- KLH conjugated synthetic peptide derived from human TXNDC11
-
亚型
- IgG
-
-
-
-
应用备注
-
ELISA 1:500-1000
IHC-P 1:200-400
IHC-F 1:100-500
IF(IHC-P) 1:50-200
IF(IHC-F) 1:50-200
IF(ICC) 1:50-200
ICC 1:100-500 -
限制
- 仅限研究用
-
-
-
状态
- Liquid
-
浓度
- 1 μg/μL
-
缓冲液
- 0.01M TBS( pH 7.4) with 1 % BSA, 0.02 % Proclin300 and 50 % Glycerol.
-
储存液
- ProClin
-
注意事项
- This product contains ProClin: a POISONOUS AND HAZARDOUS SUBSTANCE, which should be handled by trained staff only.
-
储存条件
- 4 °C,-20 °C
-
储存方法
- Shipped at 4°C. Store at -20°C for one year. Avoid repeated freeze/thaw cycles.
-
有效期
- 12 months
-
-
- TXNDC11 (Thioredoxin Domain Containing 11 (TXNDC11))
-
别名
- TXNDC11
-
背景
-
Synonyms: EF-hand-binding protein 1, EFP1, RGD1307538, Thioredoxin domain-containing protein 11, TXD11_HUMAN, TXNDC11, 2810408E11Rik, AI427833.
Background: May act as a redox regulator involved in DUOX proteins folding. The interaction with DUOX1 and DUOX2 suggest that it belongs to a multiprotein complex constituting the thyroid H(2)O(2) generating system. It is however not sufficient to assist DUOX1 and DUOX2 in H(2)O(2) generation.
-
途径
- Cell RedoxHomeostasis
抗原
-