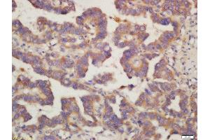
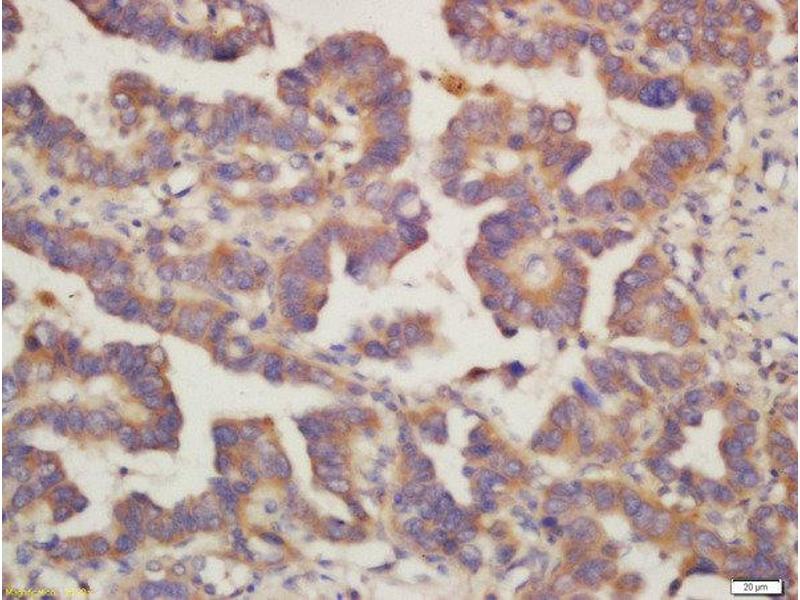
MRPL41 抗体 (AA 151-250)
Our Local Distributor
北京 101111
Quick Overview for MRPL41 抗体 (AA 151-250) (ABIN763046)
抗原
See all MRPL41 抗体适用
宿主
克隆类型
标记
应用范围
-
-
抗原表位
- AA 151-250
-
预测反应
- Human
-
纯化方法
- Purified by Protein A.
-
免疫原
- KLH conjugated synthetic peptide derived from human PIG3/TP53I3
-
亚型
- IgG
-
-
-
-
应用备注
-
WB 1:300-5000
ELISA 1:500-1000
IHC-P 1:200-400
IHC-F 1:100-500
IF(IHC-P) 1:50-200
IF(IHC-F) 1:50-200
IF(ICC) 1:50-200 -
限制
- 仅限研究用
-
-
-
状态
- Liquid
-
浓度
- 1 μg/μL
-
缓冲液
- 0.01M TBS( pH 7.4) with 1 % BSA, 0.02 % Proclin300 and 50 % Glycerol.
-
储存液
- ProClin
-
注意事项
- This product contains ProClin: a POISONOUS AND HAZARDOUS SUBSTANCE, which should be handled by trained staff only.
-
储存条件
- 4 °C,-20 °C
-
储存方法
- Shipped at 4°C. Store at -20°C for one year. Avoid repeated freeze/thaw cycles.
-
有效期
- 12 months
-
-
- MRPL41 (Mitochondrial Ribosomal Protein L41 (MRPL41))
-
别名
- Pig3
-
背景
-
Synonyms: PIG3, Quinone oxidoreductase PIG3, Tumor protein p53-inducible protein 3, p53-induced gene 3 protein, TP53I3
Background: May be involved in the generation of reactive oxygen species (ROS). Has low NADPH-dependent beta-naphthoquinone reductase activity, with a preference for 1,2-beta-naphthoquinone over 1,4-beta-naphthoquinone. Has low NADPH-dependent diamine reductase activity (in vitro).
-
基因ID
- 9540
-
UniProt
- Q53FA7
-
途径
- p53 Pathway
抗原
-