电话:
+86 (0512) 65829739
传真:
+86 (010) 6788 5057
电子邮件:
orders@antibodies-online.cn

YBX1 抗体

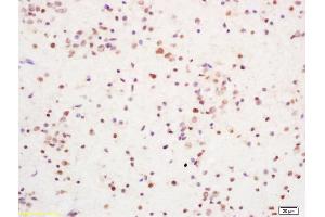
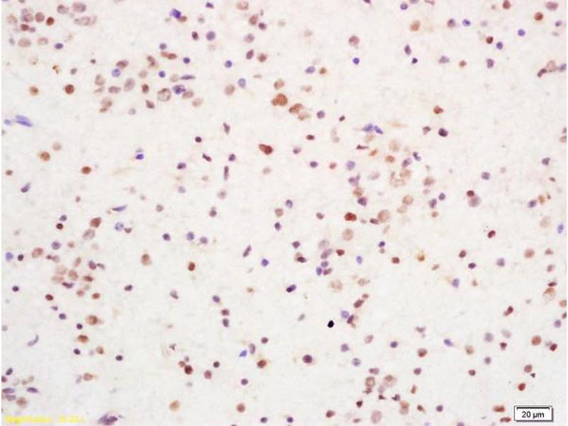
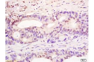
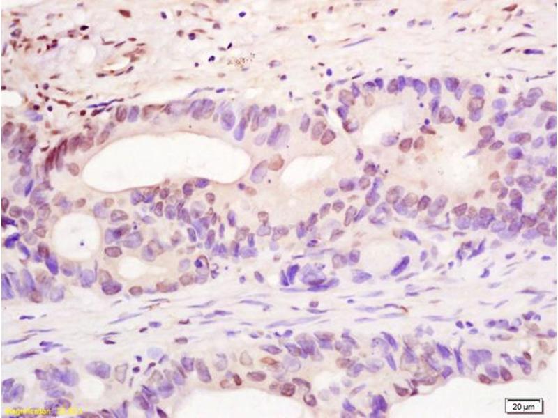
The 兔 多克隆 anti-YBX1 antibody is suitable to detect YBX1 in samples from 人, 大鼠, 小鼠, Cow, 犬, 小鸡 和 Pig. It has been validated for WB, FACS 和 IHC (p).
产品编号 ABIN759851
发货至: 中国
Contact our Customer Service for availability and price in your country. Contact Info

Our Local Distributor

中国
北京 101111
No. 88 KeChuang 6th Street
Beijing Economic Technological Development Area
Room 801-803
4A Biotech Co.,Ltd.
Tel +86 (0512) 65829739 传真 +86 (010) 6788 5057

Quick Overview for YBX1 抗体 (ABIN759851)

抗原

See all YBX1 抗体
YBX1 (Y Box Binding Protein 1 (YBX1))

适用

  • 140
  • 81
  • 69
  • 21
  • 18
  • 18
  • 15
  • 7
  • 7
  • 6
  • 5
  • 4
  • 4
  • 2
  • 1
  • 1
  • 1
人, 大鼠, 小鼠, Cow, 犬, 小鸡, Pig

宿主

  • 109
  • 34

克隆类型

  • 82
  • 61
多克隆

标记

  • 61
  • 9
  • 4
  • 4
  • 4
  • 4
  • 4
  • 4
  • 4
  • 3
  • 2
  • 2
  • 2
  • 2
  • 2
  • 2
  • 2
  • 2
  • 2
  • 2
  • 2
  • 2
  • 2
  • 2
  • 2
  • 2
  • 2
  • 2
  • 2
  • 2
  • 1
  • 1
This YBX1 antibody is un-conjugated

应用范围

  • 103
  • 58
  • 27
  • 26
  • 25
  • 22
  • 17
  • 13
  • 13
  • 13
  • 13
  • 5
  • 2
  • 2
  • 2
  • 1
  • 1
Western Blotting (WB), Flow Cytometry (FACS), Immunohistochemistry (Paraffin-embedded Sections) (IHC (p))
  • 交叉反应

    小鸡, Cow, 犬, 人, 小鼠, Pig, 大鼠

    纯化方法

    Purified by Protein A.

    免疫原

    KLH conjugated synthetic peptide derived from human YBX-1/YB1

    亚型

    IgG
  • 应用备注

    WB(1:100-500)
    Optimal working dilution should be determined by the investigator.

    限制

    仅限研究用
  • 状态

    Liquid

    浓度

    1 μg/μL

    缓冲液

    Aqueous buffered solution containing 1 % BSA, 50 % glycerol and 0.09 % sodium azide.

    储存液

    Sodium azide

    注意事项

    This product contains sodium azide: a POISONOUS AND HAZARDOUS SUBSTANCE which should be handled by trained staff only.

    储存条件

    -20 °C

    储存方法

    Store at -20°C for 12 months.

    有效期

    12 months
  • 抗原

    YBX1 (Y Box Binding Protein 1 (YBX1))

    别名

    YBX-1

    背景

    Synonyms: BP 8, CBF-A, YB1, CCAAT binding transcription factor I subunit A, YBX1, CCAAT-binding transcription factor I subunit A, CSDA2, CSDB, DBPB, DNA binding protein B, DNA-binding protein B, EFI-A, Enhancer factor I subunit A, MDR NF1, NSEP 1, NSEP1, Nuclease sensitive element binding protein 1, Nuclease-sensitive element-binding protein 1, p50, Q15905, Y-box binding protein 1, Y-box transcription factor, Y-box-binding protein 1, YB 1. YB-1, YBOX1_HUMAN, YBX 1, YBX1.

    Background: The Y-box binding protein 1 (YB1) is a pluripotent DNA/RNA-binding factor which regulates gene expression through transcription and translation. YB1 has been shown to be a marker of tumour aggressiveness and belongs to the cold-shock domain family.

    分子量

    50kDa

    基因ID

    4904

    途径

    Regulation of Muscle Cell Differentiation
You are here: