电话:
+86 (0512) 65829739
传真:
+86 (010) 6788 5057
电子邮件:
orders@antibodies-online.cn

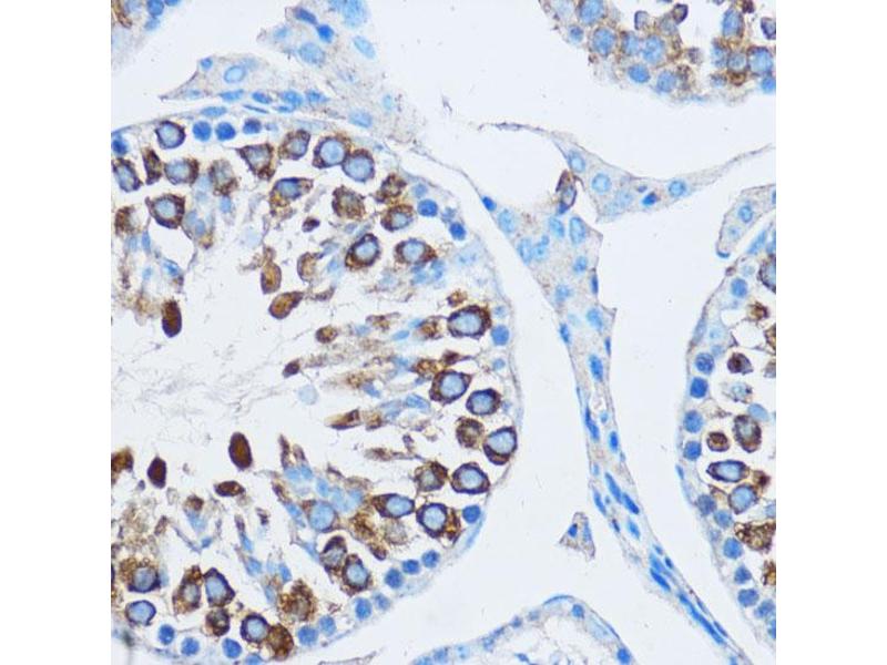
YBX1 抗体 (AA 100-200)

This 兔 多克隆 antibody specifically detects YBX1 in WB, IHC 和 IF. It exhibits reactivity toward 人.
产品编号 ABIN6150328
发货至: 中国
Contact our Customer Service for availability and price in your country. Contact Info

Our Local Distributor

中国
北京 101111
No. 88 KeChuang 6th Street
Beijing Economic Technological Development Area
Room 801-803
4A Biotech Co.,Ltd.
Tel +86 (0512) 65829739 传真 +86 (010) 6788 5057

Quick Overview for YBX1 抗体 (AA 100-200) (ABIN6150328)

抗原

See all YBX1 抗体
YBX1 (Y Box Binding Protein 1 (YBX1))

适用

  • 140
  • 82
  • 70
  • 22
  • 19
  • 19
  • 16
  • 7
  • 7
  • 6
  • 5
  • 4
  • 4
  • 2
  • 1
  • 1
  • 1

宿主

  • 109
  • 34

克隆类型

  • 82
  • 61
多克隆

标记

  • 61
  • 9
  • 4
  • 4
  • 4
  • 4
  • 4
  • 4
  • 4
  • 3
  • 2
  • 2
  • 2
  • 2
  • 2
  • 2
  • 2
  • 2
  • 2
  • 2
  • 2
  • 2
  • 2
  • 2
  • 2
  • 2
  • 2
  • 2
  • 2
  • 2
  • 1
  • 1
This YBX1 antibody is un-conjugated

应用范围

  • 103
  • 57
  • 26
  • 26
  • 26
  • 22
  • 17
  • 14
  • 13
  • 13
  • 13
  • 5
  • 2
  • 2
  • 2
  • 1
  • 1
Western Blotting (WB), Immunohistochemistry (IHC), Immunofluorescence (IF)
  • 抗原表位

    • 26
    • 7
    • 7
    • 6
    • 4
    • 3
    • 2
    • 2
    • 2
    • 2
    • 2
    • 2
    • 1
    • 1
    • 1
    • 1
    • 1
    • 1
    • 1
    • 1
    • 1
    • 1
    AA 100-200

    序列

    LRSVGDGETV EFDVVEGEKG AEAANVTGPG GVPVQGSKYA ADRNHYRRYP RRRGPPRNYQ QNYQNSESGE KNEGSESAPE GQAQQRRPYR RRRFPPYYMR R

    交叉反应

    人, 小鼠, 大鼠

    产品特性

    Polyclonal Antibodies

    免疫原

    A synthetic peptide corresponding to a sequence within amino acids 100-200 of human YB-1/YB-1/YBX1 (NP_004550.2).

    亚型

    IgG
  • 应用备注

    WB,1:500 - 1:2000,IHC,1:100 - 1:200,IF,1:50 - 1:200

    说明

    HIGH QUALITY

    限制

    仅限研究用
  • 状态

    Liquid

    缓冲液

    PBS with 0.02 % sodium azide,50 % glycerol, pH 7.3.

    储存液

    Sodium azide

    注意事项

    This product contains Sodium azide: a POISONOUS AND HAZARDOUS SUBSTANCE which should be handled by trained staff only.

    储存条件

    -20 °C

    储存方法

    Store at -20°C. Avoid freeze / thaw cycles.
  • 抗原

    YBX1 (Y Box Binding Protein 1 (YBX1))

    别名

    YBX1

    背景

    This gene encodes a highly conserved cold shock domain protein that has broad nucleic acid binding properties. The encoded protein functions as both a DNA and RNA binding protein and has been implicated in numerous cellular processes including regulation of transcription and translation, pre-mRNA splicing, DNA reparation and mRNA packaging. This protein is also a component of messenger ribonucleoprotein (mRNP) complexes and may have a role in microRNA processing. This protein can be secreted through non-classical pathways and functions as an extracellular mitogen. Aberrant expression of the gene is associated with cancer proliferation in numerous tissues. This gene may be a prognostic marker for poor outcome and drug resistance in certain cancers. Alternate splicing results in multiple transcript variants. Pseudogenes of this gene are found on multiple chromosomes.,YBX1,BP-8,CBF-A,CSDA2,CSDB,DBPB,EFI-A,MDR-NF1,NSEP-1,NSEP1,YB-1,YB1,Epigenetics & Nuclear Signaling,Transcription Factors,RNA Binding,Cell Biology & Developmental Biology,Stem Cells,Embryonic Stem Cells,YBX1

    分子量

    35 kDa

    基因ID

    4904

    UniProt

    P67809

    途径

    Regulation of Muscle Cell Differentiation
You are here: