电话:
+86 (0512) 65829739
传真:
+86 (010) 6788 5057
电子邮件:
orders@antibodies-online.cn

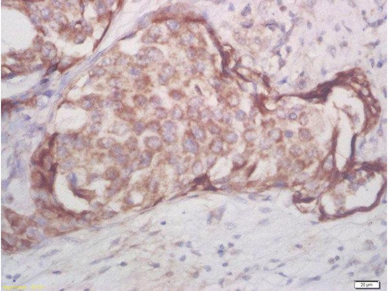
AKT 1/2/3 抗体 (pThr305, pThr308, pThr309)

This 兔 多克隆 antibody specifically detects AKT 1/2/3 in WB, FACS, IF (cc), IF (p), ELISA, IHC (p) 和 IHC (fro). It exhibits reactivity toward 人, 小鼠 和 大鼠.
产品编号 ABIN756052
发货至: 中国
Contact our Customer Service for availability and price in your country. Contact Info

Our Local Distributor

中国
北京 101111
No. 88 KeChuang 6th Street
Beijing Economic Technological Development Area
Room 801-803
4A Biotech Co.,Ltd.
Tel +86 (0512) 65829739 传真 +86 (010) 6788 5057

Quick Overview for AKT 1/2/3 抗体 (pThr305, pThr308, pThr309) (ABIN756052)

抗原

AKT 1/2/3

适用

  • 176
  • 166
  • 151
  • 44
  • 33
  • 26
  • 23
  • 15
  • 7
  • 7
  • 4
  • 4
  • 1
人, 小鼠, 大鼠

宿主

  • 176
  • 3

克隆类型

  • 140
  • 39
多克隆

标记

  • 47
  • 11
  • 7
  • 6
  • 6
  • 6
  • 6
  • 6
  • 6
  • 6
  • 6
  • 6
  • 6
  • 6
  • 6
  • 6
  • 4
  • 4
  • 4
  • 4
  • 4
  • 4
  • 2
  • 2
  • 2
  • 2
  • 2
  • 2
This AKT 1/2/3 antibody is un-conjugated

应用范围

  • 159
  • 104
  • 78
  • 77
  • 51
  • 35
  • 32
  • 29
  • 28
  • 26
  • 17
  • 3
Western Blotting (WB), Flow Cytometry (FACS), Immunofluorescence (Cultured Cells) (IF (cc)), Immunofluorescence (Paraffin-embedded Sections) (IF (p)), ELISA, Immunohistochemistry (Paraffin-embedded Sections) (IHC (p)), Immunohistochemistry (Frozen Sections) (IHC (fro))
  • 抗原表位

    • 22
    • 20
    • 20
    • 20
    • 18
    • 18
    • 17
    • 16
    • 16
    • 16
    • 7
    • 2
    • 2
    • 2
    • 1
    • 1
    • 1
    • 1
    • 1
    • 1
    • 1
    • 1
    • 1
    • 1
    • 1
    • 1
    • 1
    • 1
    • 1
    • 1
    pThr305, pThr308, pThr309

    特异性

    The antibody recognizes phosphorylation at Thr308 of AKT1 and because of sequence similarity, it will also detect phosphorylation of Thr309 of AKT2 and phosphorylation at Thr305 of AKT3.

    交叉反应

    人, 小鼠, 大鼠

    预测反应

    Dog,Cow,Sheep,Pig,Chicken,Rabbit

    纯化方法

    Purified by Protein A.

    免疫原

    KLH conjugated synthetic phosphopeptide derived from human AKT1 around the phosphorylation site of Thr308

    亚型

    IgG
  • 应用备注

    WB 1:300-5000
    ELISA 1:500-1000
    FCM 1:20-100
    IHC-P 1:200-400
    IHC-F 1:100-500
    IF(IHC-P) 1:50-200
    IF(IHC-F) 1:50-200
    IF(ICC) 1:50-200

    限制

    仅限研究用
  • 状态

    Liquid

    浓度

    1 μg/μL

    缓冲液

    0.01M TBS( pH 7.4) with 1 % BSA, 0.02 % Proclin300 and 50 % Glycerol.

    储存液

    ProClin

    注意事项

    This product contains ProClin: a POISONOUS AND HAZARDOUS SUBSTANCE, which should be handled by trained staff only.

    储存条件

    4 °C,-20 °C

    储存方法

    Shipped at 4°C. Store at -20°C for one year. Avoid repeated freeze/thaw cycles.

    有效期

    12 months
  • 抗原

    AKT 1/2/3

    别名

    AKT1/2/3

    背景

    Synonyms: AKT1 phospho T308, AKT2 phospho T309, AKT3 phospho T305,p-AKT1 phospho T308, p-AKT2 phospho T309, p-AKT3 phospho T305, AKT 1, AKT, AKT1, AKT-1, AKT1_HUMAN, AKT 2, AKT2, AKT-2, AKT2_HUMAN, AKT 3, AKT3, AKT-3, AKT3_HUMAN, C AKT, cAKT, MGC9965, MGC99656, Oncogene AKT1, PKB, PKB alpha, PKB-ALPHA, PKB beta, PKB gamma, PRKBA, Protein Kinase B Alpha, Protein kinase B, Proto-oncogene c-Akt, RAC Alpha, RAC alpha serine/threonine protein kinase, RAC, RAC PK Alpha, Rac protein kinase alpha, RAC Serine/Threonine Protein Kinase, RAC-alpha serine/threonine-protein kinase, RAC-PK-alpha, v akt murine thymoma viral oncogene homolog 1, vAKT Murine Thymoma Viral Oncogene Homolog 1.

    Background: AKT, also known as protein kinase B (PKB), is a 57 kDa serine/threonine protein kinase. There are three mammalian isoforms of Akt: AKT1 (PKB alpha), AKT2 (PKB beta) and AKT3 (PKB gamma) with AKT2 and AKT3 being approximately 82 % identical with the AKT1 isoform. Each isoform has a pleckstrin homology (PH)domain, a kinase domain and a carboxy terminal regulatory domain. AKT was originally cloned from the retrovirus AKT8, and is a key regulator of many signal transduction pathways. Its tight control over cell proliferation and cell viability are manifold, overexpression or inappropriate activation of AKT has been seen in many types of cancer. AKT mediates many of the downstream events of phosphatidylinositol 3 kinase (a lipid kinase activated by growth factors, cytokines and insulin). PI3 kinase recruits AKT to the membrane, where it is activated by PDK1 phosphorylation. Once phosphorylated, AKT dissociates from the membrane and phosphorylates targets in the cytoplasm and the cell nucleus.

    基因ID

    207

    UniProt

    Q9Y243
You are here: