电话:
+86 (0512) 65829739
传真:
+86 (010) 6788 5057
电子邮件:
orders@antibodies-online.cn

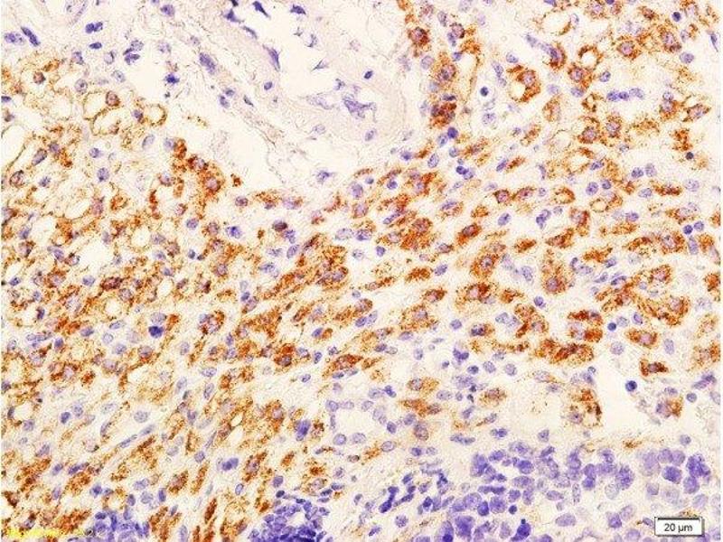
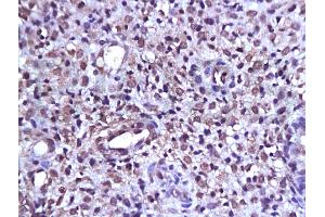
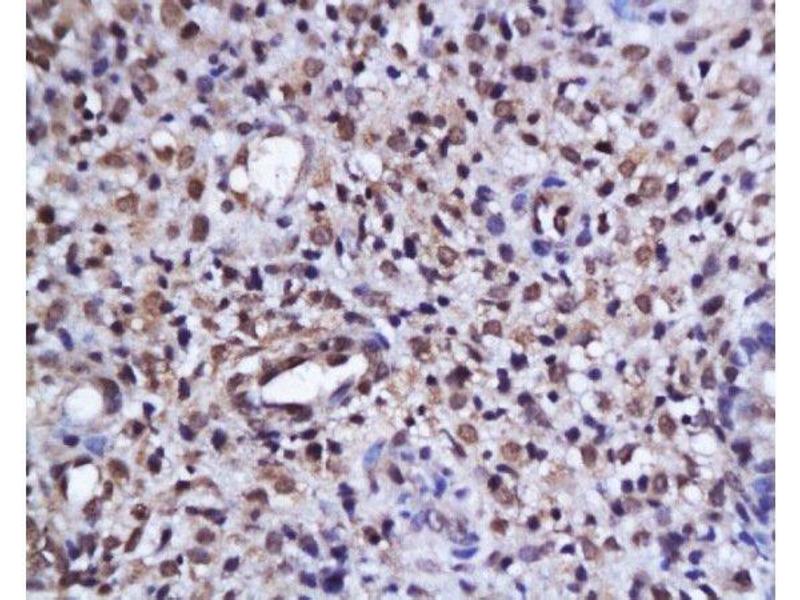
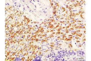
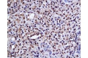
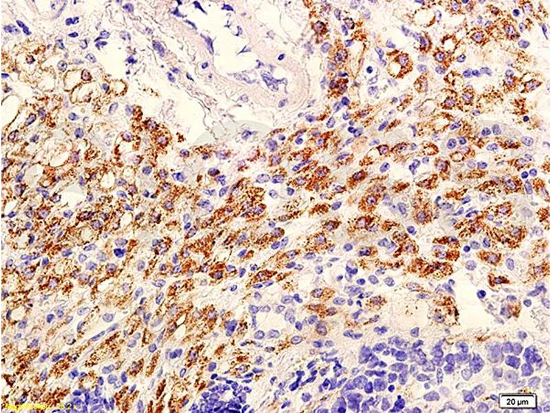
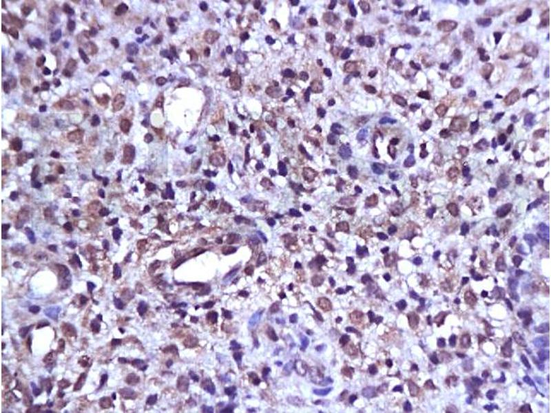
AKT 1/2/3 抗体 (pSer473)

This 兔 多克隆 antibody specifically detects AKT 1/2/3 in WB, IF (cc), IF (p), ELISA, IHC (p) 和 IHC (fro). It exhibits reactivity toward 人, 小鼠, 大鼠, Cow, 兔, 小鸡 和 鱼. It has been mentioned in 6+ publications
产品编号 ABIN729298
发货至: 中国
Contact our Customer Service for availability and price in your country. Contact Info

Our Local Distributor

中国
北京 101111
No. 88 KeChuang 6th Street
Beijing Economic Technological Development Area
Room 801-803
4A Biotech Co.,Ltd.
Tel +86 (0512) 65829739 传真 +86 (010) 6788 5057

Quick Overview for AKT 1/2/3 抗体 (pSer473) (ABIN729298)

抗原

AKT 1/2/3

适用

  • 176
  • 166
  • 151
  • 43
  • 32
  • 25
  • 23
  • 14
  • 7
  • 7
  • 4
  • 4
  • 1
人, 小鼠, 大鼠, Cow, 兔, 小鸡, 鱼

宿主

  • 176
  • 3

克隆类型

  • 140
  • 39
多克隆

标记

  • 47
  • 11
  • 7
  • 6
  • 6
  • 6
  • 6
  • 6
  • 6
  • 6
  • 6
  • 6
  • 6
  • 6
  • 6
  • 6
  • 4
  • 4
  • 4
  • 4
  • 4
  • 4
  • 2
  • 2
  • 2
  • 2
  • 2
  • 2
This AKT 1/2/3 antibody is un-conjugated

应用范围

  • 159
  • 105
  • 78
  • 77
  • 51
  • 35
  • 32
  • 29
  • 28
  • 26
  • 17
  • 3
Western Blotting (WB), Immunofluorescence (Cultured Cells) (IF (cc)), Immunofluorescence (Paraffin-embedded Sections) (IF (p)), ELISA, Immunohistochemistry (Paraffin-embedded Sections) (IHC (p)), Immunohistochemistry (Frozen Sections) (IHC (fro))
  • 抗原表位

    • 22
    • 21
    • 20
    • 20
    • 19
    • 19
    • 16
    • 16
    • 16
    • 16
    • 7
    • 2
    • 2
    • 2
    • 1
    • 1
    • 1
    • 1
    • 1
    • 1
    • 1
    • 1
    • 1
    • 1
    • 1
    • 1
    • 1
    • 1
    • 1
    • 1
    pSer473

    交叉反应

    小鸡, Cow, 鱼, 人, 小鼠, 兔, 大鼠

    预测反应

    Dog,Cow,Sheep

    纯化方法

    Purified by Protein A.

    免疫原

    KLH conjugated synthetic phosphopeptide derived from human AKT1 around the phosphorylation site of Ser473

    亚型

    IgG
  • 应用备注

    WB 1:300-5000
    ELISA 1:500-1000
    IHC-P 1:200-400
    IHC-F 1:100-500
    IF(IHC-P) 1:50-200
    IF(IHC-F) 1:50-200
    IF(ICC) 1:50-200

    限制

    仅限研究用
  • 状态

    Liquid

    浓度

    1 μg/μL

    缓冲液

    0.01M TBS( pH 7.4) with 1 % BSA, 0.02 % Proclin300 and 50 % Glycerol.

    储存液

    ProClin

    注意事项

    This product contains ProClin: a POISONOUS AND HAZARDOUS SUBSTANCE, which should be handled by trained staff only.

    储存条件

    4 °C,-20 °C

    储存方法

    Shipped at 4°C. Store at -20°C for one year. Avoid repeated freeze/thaw cycles.

    有效期

    12 months
  • Li, Jia, Ji, Gong, Wang, Zhang, Wang, Zang: "The neutrophil elastase inhibitor, sivelestat, attenuates sepsis-related kidney injury in rats." in: International journal of molecular medicine, Vol. 38, Issue 3, pp. 767-75, (2016) (PubMed).

    Xu, Xu, Luan, Jiang, Tian, Zhang: "Cardioprotection against experimental myocardial ischemic injury using cornin." in: Brazilian journal of medical and biological research = Revista brasileira de pesquisas medicas e biologicas, Vol. 49, Issue 2, pp. e5039, (2016) (PubMed).

    Santos, Mesquita, Barros-Silva, Jerónimo, Henrique, Morais, Paulo, Teixeira: "Uncovering potential downstream targets of oncogenic GRPR overexpression in prostate carcinomas harboring ETS rearrangements." in: Oncoscience, Vol. 2, Issue 5, pp. 497-507, (2015) (PubMed).

    Liang, Zeng, Wang, Shen, Li, Ma, Ci, Yu, Jia, Sun, Liu, Liu, Li, Yu, Chen, Jia: "Histone demethylase RBP2 induced by Helicobactor Pylori CagA participates in the malignant transformation of gastric epithelial cells." in: Oncotarget, Vol. 5, Issue 14, pp. 5798-807, (2015) (PubMed).

    Tang, Liu, Dong, Li, Li, Lin, Zheng, Hou, Li: "The cardioprotective effects of citric Acid and L-malic Acid on myocardial ischemia/reperfusion injury." in: Evidence-based complementary and alternative medicine : eCAM, Vol. 2013, pp. 820695, (2013) (PubMed).

  • 抗原

    AKT 1/2/3

    别名

    AKT1/2/3

    背景

    Synonyms: Akt, RAC-alpha serine/threonine-protein kinase, Protein kinase B, PKB, Protein kinase B alpha, PKB alpha, RAC-PK-alpha, Akt1

    Background: AKT1-specific substrates have been recently identified, including palladin (PALLD), which phosphorylation modulates cytoskeletal organization and cell motility, prohibitin (PHB), playing an important role in cell metabolism and proliferation, and CDKN1A, for which phosphorylation at 'Thr-145' induces its release from CDK2 and cytoplasmic relocalization. These recent findings indicate that the AKT1 isoform has a more specific role in cell motility and proliferation. Phosphorylates CLK2 thereby controlling cell survival to ionizing radiation.

    基因ID

    24185

    UniProt

    P47196
You are here: