电话:
+86 (0512) 65829739
传真:
+86 (010) 6788 5057
电子邮件:
orders@antibodies-online.cn

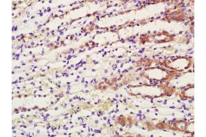
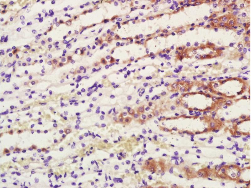
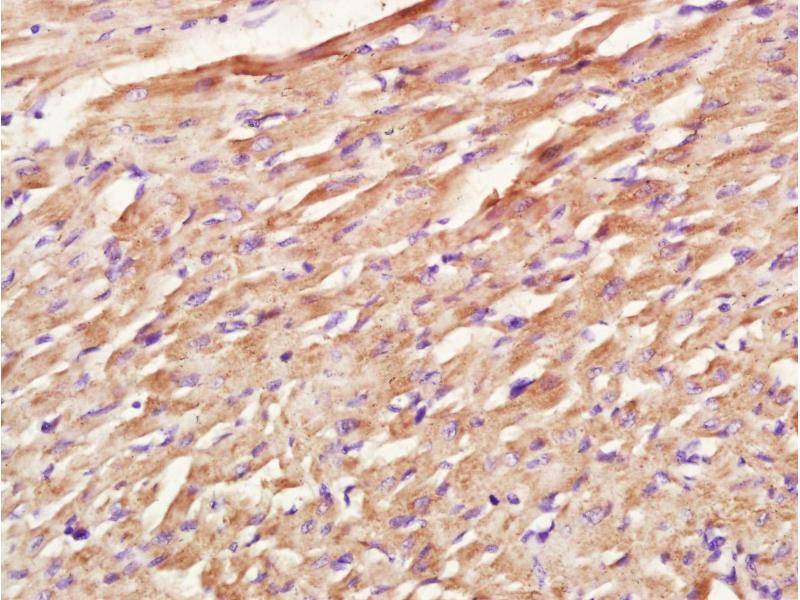
COX1 抗体 (AA 401-500)

This 兔 多克隆 antibody specifically detects COX1 in WB, ELISA, ICC, IF (cc), IF (p), IHC (p) 和 IHC (fro). It exhibits reactivity toward 小鼠 和 大鼠.It has been mentioned in 1 publication
产品编号 ABIN751648
发货至: 中国
Contact our Customer Service for availability and price in your country. Contact Info

Our Local Distributor

中国
北京 101111
No. 88 KeChuang 6th Street
Beijing Economic Technological Development Area
Room 801-803
4A Biotech Co.,Ltd.
Tel +86 (0512) 65829739 传真 +86 (010) 6788 5057

Quick Overview for COX1 抗体 (AA 401-500) (ABIN751648)

抗原

See all COX1 抗体
COX1 (Cytochrome C Oxidase Subunit I (COX1))

适用

  • 52
  • 40
  • 29
  • 4
  • 1
  • 1
  • 1
小鼠, 大鼠

宿主

  • 69
  • 4
  • 2

克隆类型

  • 62
  • 13
多克隆

标记

  • 27
  • 4
  • 4
  • 3
  • 3
  • 3
  • 3
  • 3
  • 3
  • 3
  • 2
  • 2
  • 1
  • 1
  • 1
  • 1
  • 1
  • 1
  • 1
  • 1
  • 1
  • 1
  • 1
  • 1
  • 1
  • 1
  • 1
This COX1 antibody is un-conjugated

应用范围

  • 52
  • 23
  • 22
  • 20
  • 17
  • 13
  • 12
  • 12
  • 9
  • 5
  • 2
  • 2
Western Blotting (WB), ELISA, Immunocytochemistry (ICC), Immunofluorescence (Cultured Cells) (IF (cc)), Immunofluorescence (Paraffin-embedded Sections) (IF (p)), Immunohistochemistry (Paraffin-embedded Sections) (IHC (p)), Immunohistochemistry (Frozen Sections) (IHC (fro))
  • 抗原表位

    • 14
    • 8
    • 5
    • 5
    • 5
    • 2
    • 2
    • 2
    • 1
    • 1
    • 1
    • 1
    • 1
    • 1
    • 1
    • 1
    AA 401-500

    交叉反应

    小鼠, 大鼠

    预测反应

    Human,Dog,Cow,Pig,Horse,Chicken,Rabbit

    纯化方法

    Purified by Protein A.

    免疫原

    KLH conjugated synthetic peptide derived from human COX1

    亚型

    IgG
  • 应用备注

    WB 1:300-5000
    ELISA 1:500-1000
    IHC-P 1:200-400
    IHC-F 1:100-500
    IF(IHC-P) 1:50-200
    IF(IHC-F) 1:50-200
    IF(ICC) 1:50-200
    ICC 1:100-500

    限制

    仅限研究用
  • 状态

    Liquid

    浓度

    1 μg/μL

    缓冲液

    0.01M TBS( pH 7.4) with 1 % BSA, 0.02 % Proclin300 and 50 % Glycerol.

    储存液

    ProClin

    注意事项

    This product contains ProClin: a POISONOUS AND HAZARDOUS SUBSTANCE, which should be handled by trained staff only.

    储存条件

    4 °C,-20 °C

    储存方法

    Shipped at 4°C. Store at -20°C for one year. Avoid repeated freeze/thaw cycles.

    有效期

    12 months
  • Hui, Lu, Han, Zhou, Liu, Li, Jin: "Resveratrol improves mitochondrial function in the remnant kidney from 5/6 nephrectomized rats." in: Acta histochemica, Vol. 119, Issue 4, pp. 392-399, (2017) (PubMed).

  • 抗原

    COX1 (Cytochrome C Oxidase Subunit I (COX1))

    别名

    COX1/MTCO1

    背景

    Synonyms: COI, COX I, COXI, Cytochrome c oxidase polypeptide I, Cytochrome C Oxidase subunit I, Mitochondrially encoded cytochrome c oxidase I, MT CO1, MTCO 1, MTCO1, MT-CO1, MTCO1, Cytochrome c oxidase subunit 1, COX1_HUMAN.

    Background: Cytochrome c oxidase is the component of the respiratory chain that catalyzes the reduction of oxygen to water. Subunits 1-3 form the functional core of the enzyme complex. CO I is the catalytic subunit of the enzyme. Electrons originating in cytochrome c are transferred via the copper A center of subunit 2 and heme A of subunit 1 to the bimetallic center formed by heme A3 and copper B. This protein is involved in the pathway oxidative phosphorylation, which is part of Energy metabolism.

    基因ID

    4512

    UniProt

    P00395

    途径

    Proton Transport
You are here: